川南在线 发布时间:2021-12-31
“谢谢你们,这几双鞋垫是妈妈自己做的,希望你们收下……”近日,已经康复出院的吴阿姨委托儿媳给泸州市中医医院骨伤科医生们送来“礼物”表达感谢。


因为信任,阿姨决定接受手术
家住龙马潭区的吴阿姨5年前因膝关节退行性病变在泸州市中医医院做了关节置换手术,术后逐步恢复正常行走及日常生活。
勤劳的吴阿姨还要种地。“这几年一直行动自如,还常和老朋友们去散步。”吴阿姨说。

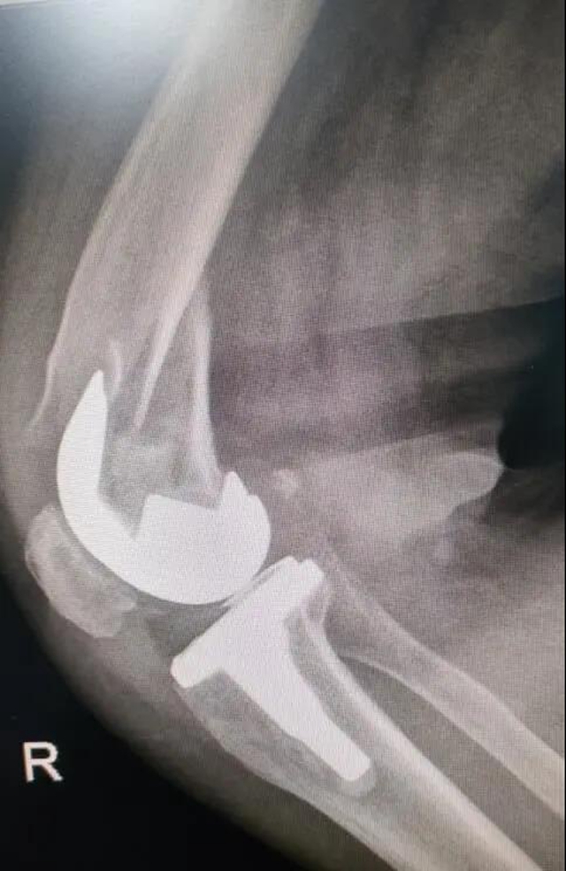
术前


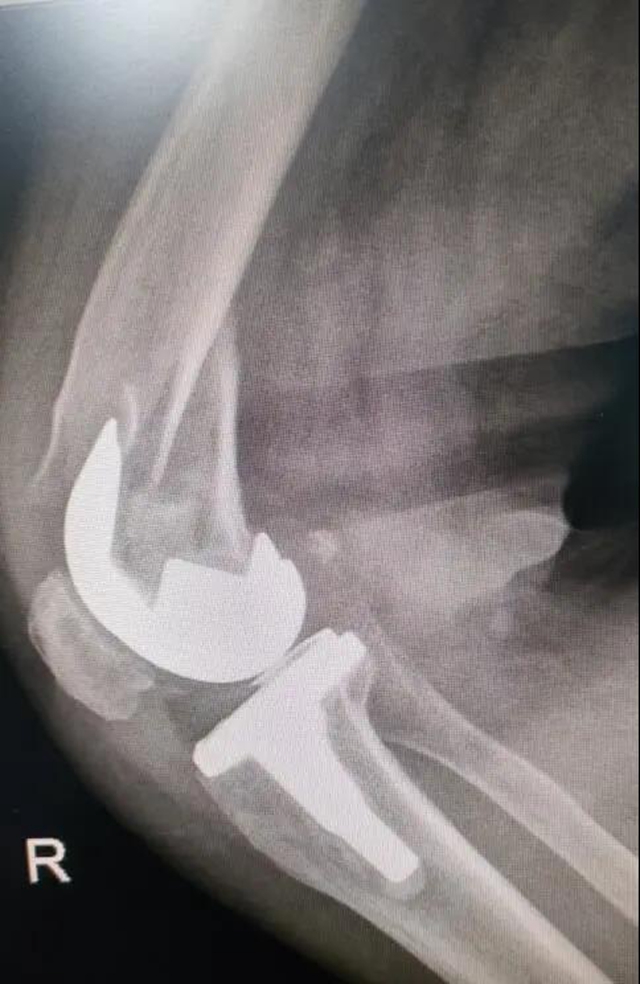
术后
天有不测风云。前不久,吴阿姨做农活时不慎摔倒,“摔了后,腿很痛,根本起不了床。”吴阿姨立即选择到泸州市中医医院就诊,入院当天就决定接受手术治疗,“相信他们能让我再次站起来。”
骨折部位在假体周围,患者还患有严重的内风湿、骨质疏松、高血压……能否耐受这台复杂而高难度的关节翻修与骨折手术?这对医院骨伤三科医护团队来说,是一个不小的挑战。
在医院骨伤科李彬主任的带领下,医护团队为吴阿姨做了详细的术前检查及准备。对手术方案及风险做了详细规划及评估,对可能的突发情况做了预案准备,让复杂的手术做到快、准、稳。
手术顺利,阿姨再次站起来
“关节假体需要进行‘翻修’固定,要保证骨折部位修复后假体的稳定性,还要考虑患者年龄大,曾接受过多次手术,患有多种基础疾病,手术技术难度高,对医生和患者都是一次挑战。”作为手术团队成员和吴阿姨主管医生的王旌晶觉得一定要对得起患者及家属这份沉甸甸的信任。

12月7日,在医护团队的默契合作下,历时1个多小时,吴阿姨的手术顺利完成。经过两周的后续治疗,吴阿姨已经可以站起来,借助拐杖行走。“医生们这次又让我站起来了。”吴阿姨开心地说。
吴阿姨康复出院后,又特地叮嘱儿媳将自己亲手做的鞋垫给医生送来表达谢意,“他们每天站着做那么多手术,希望能给他们垫垫脚,舒服一点儿。”
“随着骨科关节置换技术的飞速发展,老年髋关节假体和膝关节假体周围骨折的患者数量不断增加,这类患者往往合并有多种基础疾病,手术难度更高,各种要求也更高。” 王旌晶说,医院骨伤三科在李彬主任的带领下,经过多年对老年人骨折处理的经验总结,对于这类患者还是有相当丰富的手术经验和技巧,“假体周围骨折手术”开展后大大降低了老年人此类骨折后并发症的发生,明显改善患者的生活质量,“解放了”患者家属。
骨伤三科简介(关节镜、髋 膝骨关节专科)
骨伤三科重点专业技术:髋、膝骨关节外科、运动医学关节镜技术等关节伤病的治疗。以收治髋膝关节疾病和运动医学(关节镜)损伤治疗为主的特色科室。


(来源:泸州市中医医院 视频|文 林正宇 刘墨)
编辑:李永鑫
关注川南在线网微信公众号
长按或扫描二维码 ,获取更多最新资讯
其他