川南在线 发布时间:2018-08-01
香港有一部老电影叫《长短脚之恋》,剧中,王祖贤饰演的女主角阿美因车祸的后遗症而导致她的腿一长一短,因而变得沉默和自卑,在历经波折后仍然收获了爱情。
在现实生活中,也有一些双腿长短不等的人。今天,我们就来说说云南昭通的萌萌(化名)——一个10岁的小女孩,近日,萌萌终于在西南医科大学附属中医医院骨伤科(矫形·儿骨·手外组)告别了和她生活了两年多的钢铁支架。
发生:
遭遇不幸 被货车碾断右小腿
2015年12月,当时8岁的萌萌在放学回家途中被快速行驶的货车撞伤,导致右小腿完全离断,血流不止,一度昏迷。
家人闻讯后,立即将萌萌送到当地医院进行治疗。由于医疗条件有限,当地医院给萌萌进行了伤口包扎、输血治疗后,建议萌萌的家人送她到大医院继续治疗。

经过多方打听,萌萌由120紧急转入西南医科大学附属中医医院骨伤科(矫形·儿骨·手外组)。“记得小女孩来的时候是凌晨2点多,距离她被撞伤已经9个多小时了,来的时候她面色苍白,血流不止,我们立即组织科室医生进行急诊手术。”骨伤科(矫形·儿骨·手外组)主任邹永根教授说。
治疗:
断肢再植 肢体延长增高15厘米
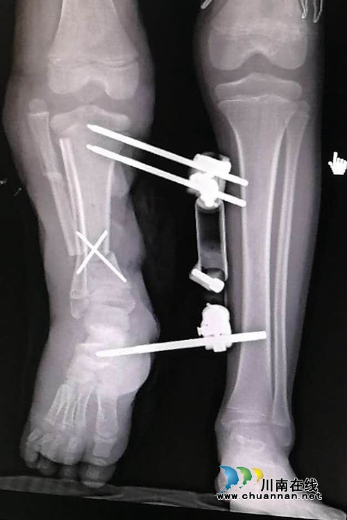
2015年12月,邹永根教授带领的团队为萌萌实施了右小腿毁损性离断伤短缩断肢体再植+右小腿碾压切开减压VSD治疗术,手术很成功,萌萌的右腿保住了。但新的问题又来了:由于碾压伤过重,手术后的萌萌右腿比左腿短了足足15厘米!这对萌萌来说,无疑又是一个打击。
2016年4月,家人带着萌萌再次来到骨伤科(矫形·儿骨·手外组),邹永根教授建议给萌萌用Ilizarov支架做肢体延长手术治疗。手术后,随着时间的推移,经历7个月缓慢延长萌萌的右腿,最终延长了15厘米,但延长肢体的骨骼需要1-2年的矿化塑形时间。期盼回到学校的萌萌手术后不到一年,就带着钢铁支架上学去了。
2018年7月,两年多过去了,这一次家人带着萌萌是来彻底和钢铁支架告别的。再次见到萌萌时,她的脸上露出了久违的笑容,走路和常人也无异。
那么,是不是能通过这种手术增高呢?邹永根教授说:“当然不行!肢体延长术是通过打断原有好的骨骼,通过外固定支架缓慢牵拉,慢慢拉长肢体,对人体有一定的伤害,存在相当严重的手术危险。只适用于外伤或者肿瘤导致的长段骨缺损,肢体短缩,不适合增高手术。”(汪建英 张小玉)
医师简介:
邹永根:教授,主任医师,医学博士,骨伤科(矫形·儿骨·手外组)主任,硕士生导师。擅长断肢再植、儿童骨骼肌肉系统创伤,四肢骨折脱位和运动损伤、髋关节疾患、足踝部畸形、脊柱畸形、肢体不等长和成角畸形、脑性瘫痪和儿麻后遗症、脊柱四肢肿瘤等疾病的临床诊断和治疗。
城北门诊时间:星期一上午
咨询电话:0830-2523351
(完)
编辑:成欣
关注川南在线网微信公众号
长按或扫描二维码 ,获取更多最新资讯
其他