川南在线 发布时间:2019-02-03
在刚刚过去的2018年,中国学者在国际顶级医学期刊《柳叶刀》(Lancet)上发表了15篇文章,这其中就有西南医科大学附属医院发表的一篇题为“Concentric circles in left atrium”的文章。
这是西南医科大学附属医院首次在《柳叶刀》上“亮相”,同时也是在西南医科大学附属医院“一流学科、一流医院”的奋斗目标下,医教研同步发展的产物。

首次“亮相”国际顶级医学期刊
《柳叶刀》创刊近200年,是国际顶级的医学界权威学术刊物。面对全球的投稿者,这本医学期刊拒稿率高达90%以上,想得到专业评审们的认可发表文章殊为不易,即便是国内顶尖的大医院、高校及科研单位,成功“亮相”该杂志,也屈指可数。
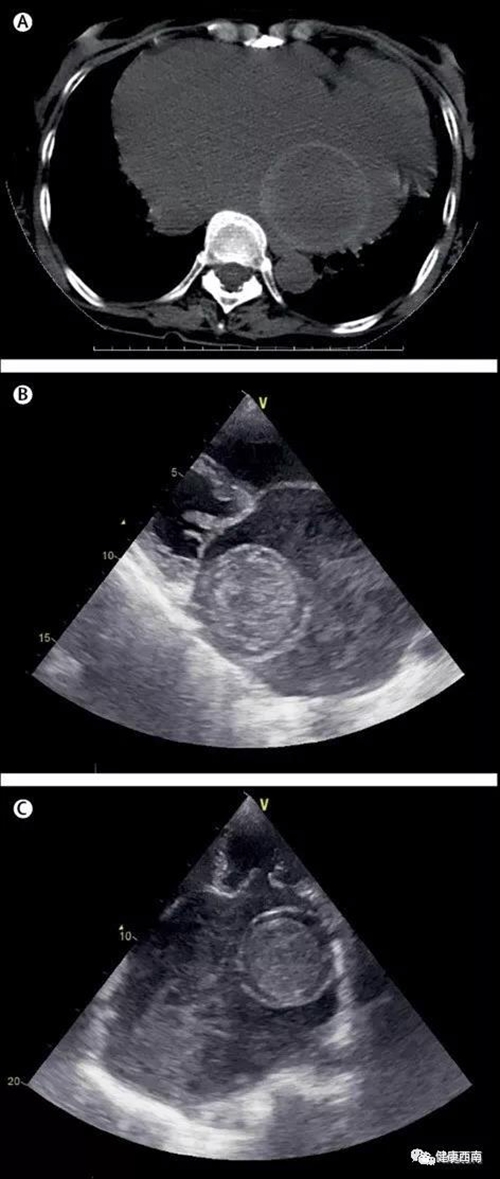
西南医科大学附属医院首次在《柳叶刀》上发表的文章,是围绕一例患有风湿性心脏病病史妇女的的病例:其CT扫描和经胸超声心动图可见其左心房有一个“同心圆”,并就此开展诊断与治疗。作者为西南医科大学附属医院的医生夫妻:36岁的心脏大血管外科医师谢小均和31岁的影像科医师白娇。
2018年1月,一位51岁的妇女因意识下降和偏瘫住进西南医科大学附属医院心脏大血管外科。患者有风湿性心脏病的病史,经初步神经检查符合右侧偏瘫。她的头部CT扫描证实了左侧基底节和左室旁脑区的脑梗死。胸部CT扫描显示左心房有直径为6cm,呈边缘高密度的同心圆形。进一步的经胸超声心动图检查显示,左心房肿块亦有“同心圆”。随后的病理检查证实这是一个巨大的血栓,外壳光滑,表面以下有多个出血区。这可能是CT扫描和经胸超声心动图所见“同心圆”的原因。左房球血栓几乎总是形成于二尖瓣疾病的背景下,并与高栓塞率有关。及时手术切除是推荐和适当的治疗措施。

将所见向全世界同行分享
第一次收到《柳叶刀》的回复邮件时,谢小均夫妻俩惊喜不已。谢小均坦言,作为一名普通的主治医生,敢于尝试向国际顶级医学杂志投稿,得益于医院为医生们提供的有利环境和医教研同步发展的思维引导。
“医院鼓励大家积极开展临床科研工作,并提供各种学习交流平台,在这样的氛围影响下,我们才敢于尝试,‘触碰’《柳叶刀》这样的国际顶级医学期刊。”
文章凝聚了团队的智慧,也为同行们带来一些启示,“将我们所见的病例向全世界的同行进行分享,便于临床中再遇类似情况时进行准确的诊断和治疗。”谢小均说。

共同努力更好地造福患者
谢小均和白娇的这篇文章,凭借病例的完整性与临床意义虽然打动了专业评审,却也经历了曲折的修改过程。
在校样阶段,编辑非常严谨,仅在校样阶段就邮件互动了10余次。文章内容虽短,但背后要做很多的工作,可以说是每个单词、每句话都是经过反复推敲并修改后才有了现在发表出来的最终版本。
作为临床医生,在繁忙的工作之余,还要撰写医学论文,对于谢小均与白娇夫妻俩来说,已成为习惯,“我们经常就自己临床工作中的所见所思进行讨论,将病例或想法写下来形成文章。这样不仅能磨练意志还可以加深自己工作的认知,以更好的状态投入到日常工作中去。而且在工作中对一些疾病有新的想法时,将其形成医学论文展示出来,通过这个载体,探讨出新的解决方案,能更好地造福患者。”(来源:健康西南微信公众号)
编辑:温华谯
关注川南在线网微信公众号
长按或扫描二维码 ,获取更多最新资讯
其他