川南在线 发布时间:2021-04-25
继泸州市人民医院完成首例胸腹主动脉夹层血管腔内修复术后,4月15日上午,泸州市人民医院再次独立成功完成首例腹主动脉瘤血管腔内隔绝术。

手术中
患者为78岁女性,因腹痛入院。行腹部CTA检查提示:腹主动脉中下段及双侧髂总动脉动脉瘤,腹主动脉及双侧髂动脉壁钙化。
入院后,在院长钟武博士主持下,肝胆胰脾·血管外科团队协同外周介入团队认真查看患者、分析病情、充分讨论,制定了详细周密的治疗方案。
考虑到患者年龄大,采用传统开放手术有一定危险性,在与患者家属进行充分术前沟通后,确定采用损伤小、效果好、恢复快的微创手术(血管腔内介入手术)进行治疗。

4月15日上午,钟武院长亲自主持手术。经过手术室·麻醉科团队的共同努力,气管插管全麻成功后,在肝胆胰脾·血管外科、介入导管室组成的治疗团队配合下,进行了腹主动脉及双侧髂总动脉瘤血管腔内修复术+左侧髂内动脉栓塞术。

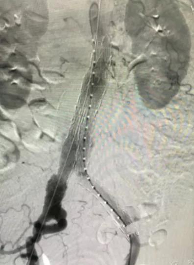
支架置入前

支架置入后
该手术通过腹股沟处的股动脉运用导丝导管技术,在穿刺孔将封装压闭的人工血管支架输送到瘤体位置,然后进行释放锚定,血流将通过人工血管走行。在紧张有序的氛围下,手术取得了圆满成功。
术后,患者平安返回病房,第一日恢复正常饮食,第三日可下床活动,第五日顺利出院。

钟武院长率领的泸州市人民医院医疗团队多次成功独立完成大血管病变血管腔内支架置入手术,填补了医院对于大血管病变治疗的空白。近年来,泸州市人民医院始终坚持“以病人为中心”,以多学科诊疗模式(MDT),保障患者能够得到最规范化的诊疗方案,为泸州市民提供更加优质的医疗服务。
科普一下
腹主动脉瘤是指腹主动脉呈瘤样扩张,通常直径增大50%以上定义为动脉瘤。腹主动脉瘤好发于老年男性,男女之比为10:3,尤其为吸烟者,吸烟可显著增加动脉瘤破裂风险。绝大多数的腹主动脉瘤为肾动脉水平以下的病变。文献报道的破裂性腹主动脉瘤的发病率为(1-21)人/10万人年。对于50岁以上人群,破裂性腹主动脉瘤的发病率明显增加。动脉瘤破裂相关总体死亡率为78%,这些死亡病例有3/4发生在医院外。
病因:动脉粥样硬化为常见病因。
常见致病危险因素:吸烟,高血压,高龄,男性等。
临床表现:多数患者无症状,常因其他原因查体而偶然发现。半数患者伴有血管杂音,少数患者有压迫症状,以上腹部饱胀不适为常见。瘤内偶可形成急性血栓,血栓脱落可造成下肢动脉栓塞。十二指肠受压可发生肠梗阻,下腔静脉受压阻塞可引起周围水肿。
0830-2395567(肝胆胰脾·血管外科咨询电话)
(来源:泸州市人民医院)
编辑:李永鑫
关注川南在线网微信公众号
长按或扫描二维码 ,获取更多最新资讯
其他