川南在线 发布时间:2024-08-08
2024年8月1日,西南医科大学附属医院呼吸与危重症医学科、介入医学部、麻醉科、内镜医学部组成的专家团队,成功完成了四川省首例“红袖刀”手术,为一位74岁高龄且心肺功能较差的高危肺结节患者——钟婆婆,带来了安全舒适的全新治疗方式和体验。

钟婆婆来自宜宾,长期患有心脏病,近年来身体状况每况愈下。半年前,她开始出现咳嗽、咳痰,并发现痰中带血,但由于经济原因一直未能及时就医。直到症状加剧,咯血量增加,她才在孙女的劝说下到当地医院就诊。检查结果显示,钟婆婆的肺部出现了一个结节,且肺癌标志物明显升高,纵隔淋巴结也已肿大,情况十分危急。
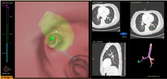
这样一位高龄且伴有多种基础疾病的患者,专家建议不宜手术。西南医科大学附属医院呼吸与危重症医学科主任李玉英立即组织专家团队进行病情讨论,并制定了精准的诊疗方案:采用气管镜导航定位肺结节,通过超声微探头确认病灶并进行活检,最后在CBCT的引导和定位下,使用“红袖刀”对肺结节进行精准消融。
李玉英介绍,大家可能对“红袖刀”比较陌生,“红袖刀”是一项近年来发展起来的气道微创介入手术新技术,它采用特制的软针经气管镜进入肺的中、外带对结节进行冷冻消融。与传统经皮消融相比,该治疗方法更具有安全性,实现了更小的损伤,效果确切且无明显毒副作用,尤其适宜于老年人群及心肺功能受限、无法接受手术治疗的患者。因其质地柔软伸展灵活,被命名为“红袖刀”。今年5月份重庆医科大学郭述良教授团队成功开展了“红袖刀”上市后国内首例手术,我院近期完成的“红袖刀”手术为四川省填补了这个空白,同时也为泸州市的肺结节患者带来了崭新的医疗服务。


手术过程顺利,钟婆婆在麻醉清醒后表示感觉良好,未出现任何不适症状。她对手术效果非常满意,并感慨道:“我相信社会的进步和医疗的发展,所以愿意做第一个尝试新技术的人。”
李玉英表示,“红袖刀”手术的成功实施,不仅标志着四川省在这一领域的技术突破,也为泸州市乃至更广泛地区的肺结节患者带来了全新的医疗服务选择。这一技术的推广和应用,有望为更多像钟婆婆这样的高危肺结节患者带来生命的延续和生活质量的提升。
医生简介

李玉英
主任医师、教授、留美博士后、博士/博士后研究生导师,呼吸与危重症医学科主任/支部书记
第三军医大学全军呼吸内科研究所博士毕业,美国国立健康研究院(NIH)博士后出站。在第三军医大学附属新桥医院从事临床、教学、科研工作10余年,后被引进人才至解放军总医院(301)第六医学中心从事临床、教学、科研工作。2020年人才引进至西南医科大学附属医院并聘任为呼吸与危重症医学科主任。从事呼吸系统疾病的诊断治疗及研究20余年,擅长呼吸系统常见病、多发病的诊断和治疗,尤其擅长呼吸衰竭、肺癌、慢性阻塞性肺疾病、肺血管疾病等方面的诊治。对各种高难度肺部介入治疗有着丰富经验。
主持国家自然科学基金面上项目及省部级课题多项。先后发表论文40余篇,专利及专著多部。获得省部级科技进步二等奖、军队三等功、嘉奖、第三军医大学优秀教师、为兵服务先进个人、重庆市优秀博士、军队优秀基层干部、医德医风先进个人等多项荣誉。担任多项学术任职,如中华医学会肺栓塞与血管病分会委员、中国医师协会肺栓塞与肺血管病分会委员、中国肺癌联盟重庆市分联盟委员、中国中西医药信息研究会青年分会常务理事、北美华人生物科学家学会终身会员、美国癌症学会会员、四川省医师协会副会长等。

王传辉
副教授
西南介入联盟盟员、四川省医学会呼吸介入专委会委员、高原呼吸介入医学会委员、成都高新医学会西部间质性肺病专业委员会委员
从事医疗、教学和科研工作10余年,曾于广州医科大学附属第一医院、重庆医科大学附属第一医院进修学习气道及血管介入,擅长超声支气管镜、胸腔镜、氩气刀、球囊扩张、冷冻及微波消融等气道及血管介入技术,发表学术论文多篇。
(来源:西南医科大学附属医院 文/鄢洁 戴曦 乔莎 图/科室提供)
编辑:李永鑫
关注川南在线网微信公众号
长按或扫描二维码 ,获取更多最新资讯
其他