川南在线 发布时间:2022-03-03
近日,西南医科大学附属医院骨与关节外科团队借助膝关节置换手术辅助系统,完成全膝关节置换手术。
本次手术是西南医大附院首次成功完成的国产机器人辅助全膝关节置换(TKA)手术,也是我国骨科硬组织机器人的一次重要临床应用。

首次亮相医院,辅助完成精确截骨
全膝关节置换术是一种在国内外广泛开展的治疗终末期膝关节骨关节炎的经典手术,其主要目的是缓解疼痛、改善功能、提高生活质量。
2月25日,骨与关节外科主任李忠教授带领团队为膝关节骨关节炎患成功实施了机器人辅助全膝关节置换手术。这也是膝关节置换手术机器人在西南医科大学附属医院的首次亮相。


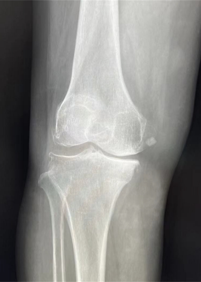
患者术前影像资料


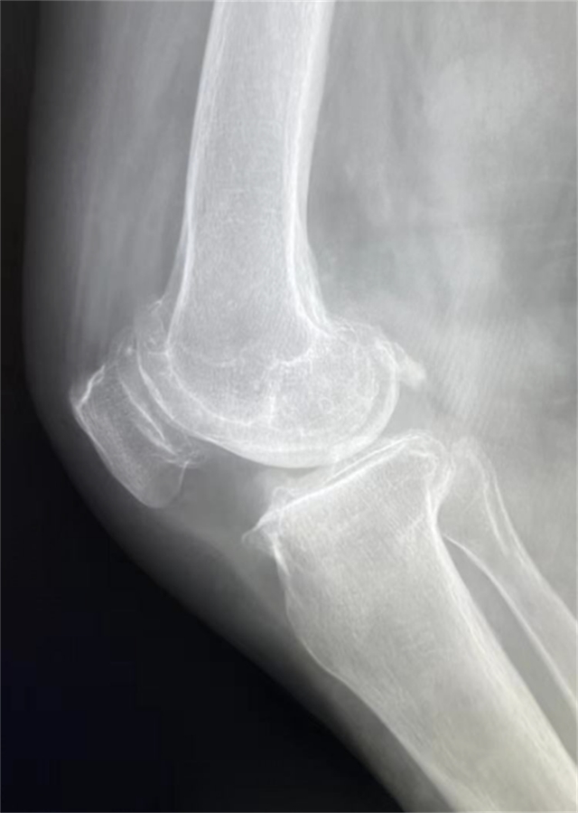
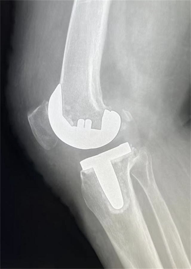
患者术后影像资料
当天上午9:30,患者被推入手术室,手术室里手术电动工具及导航定位工具已安装到位,术中李忠教授结合医疗器械的跟踪标定技术,实现手术器械位置的实时跟踪定位,并自动完成骨锯的精准摆位。11:00,第一场机器人辅助全膝关节置换手术成功完成。

患者术后第3天,膝关节可屈曲120°
对于膝关节置换手术而言,截骨的毫厘偏差都会对患者术后恢复带来重大影响。李忠教授介绍,在传统膝关节置换手术中,为确保截骨的精准度,医生团队需要花较多时间进行测量和定位,而在机器人系统辅助下,导航系统和机械臂相互配合,能够精准地辅助医生完成精准截骨与软组织平衡,提高了患者术后的效果,减少了手术并发症,提升了手术精确度和手术质量,学习曲线很短,让患者和术者双双受益。

患者为医护团队竖起大拇指点赞
机器人进入骨科领域,优势显著
随着人口老龄化,人工膝关节置换数量正逐年增长,患者满意度、术后功能恢复和假体生存率一直都是膝关节置换术后的主要评价指标。虽然膝关节置换术(TKA)在近30年的发展中已取得了巨大成功,但大量文献仍然显示,人工膝关节置换术后患者满意度不到85%,而术后15年假体生存率最高也仅为95%,传统手术的截骨和软组织平衡工具精准度不足被认为是其主要原因。
智能新生态,科技新发展。随着外科手术技术的发展,机器人辅助技术的出现,提高了手术患者的预后,机器人手术也慢慢进入骨外科领域。最新的研究结果显示,机器人辅助下的人工膝关节置换术效果优于传统手术,可显著降低人工膝关节磨损,延长使用期,避免二次手术。
据悉,国产机器人膝关节置换手术辅助系统的应用是由西南医大附院组织、骨与关节外科启动的一项临床试验研究,目前正在广泛招募患者,若有相关需求和意愿参加的患者,可咨询西南医大附院骨与关节外科医师。
招募广告
西南医大附院骨科将于2021年12月~2023年12月开展评价膝关节手术导航定位系统临床应用有效性及安全性的多中心、随机、开放、平行对照临床试验的临床研究,此项研究的目的是评价膝关节手术导航定位系统KRMEOS01用于在全膝关节置换手术中进行手术规划、定位导航、辅助外科医生进行完成精确截骨的临床有效性和安全性。
本次研究对象为:经保守治疗无效的原发性膝关节骨关节炎患者。
本次研究主要入选标准如下:
年龄18~75周岁,性别不限
需要进行首次单侧全膝关节置换手术的患者
(以上为部分重要入选标准,最终是否能入组由临床医师判定)
若自愿参加者,请到我院骨科门诊或骨科病区查阅有关研究简介。研究疗程为:约3个月。但是您可以在研究过程中的任何时间退出研究,您的任何医疗待遇与权益不会因此而受到影响。
联系人:
李医生 17729814230
尹医生 13882709006
西南医科大学附属医院 骨与关节外科
2022年1月
*该临床研究遵从相关的国家法规,您的隐私权亦会得到保护。欢迎有意参加者前来咨询。
专家介绍
李忠
骨科副主任,骨与关节外科主任,教授、博士,博士研究生导师

从事临床、教学、科研工作25年,主要从事骨关节损伤修复与重建的临床与基础研究工作,具有扎实的医学理论基础知识及较丰富的临床工作经验。曾多次到美国、英国、德国、澳大利亚、香港等国际著名医院交流学习医院先进医疗技术,率先在川南地区开展几十项临床新技术,全部获得成功。对骨关节科复杂、疑难病症及急、重症病例有丰富的处理经验。
尹一然
骨科副主任,副主任医师,医学硕士

擅长关节疾病、运动损伤及骨肿瘤的诊断和治疗 。
谭美云
骨科副主任,骨与关节外科副主任,教授,医学博士,硕士研究生导师

主要以人工髋关节及膝关节置换为重点,尤其擅长股骨头缺血坏死,股骨颈骨折不愈合,髋关节发育不良,强直性脊柱炎髋部病变,髋、膝骨关节炎,髋、膝类风湿关节炎,髋、膝创伤性关节炎等疾病的外科治疗。
陈歌
骨与关节外科主任医师,医学博士,硕士研究生导师

擅长关节疾病及骨肿瘤的诊断和治疗,有丰富的关节置换(包括复杂髋膝关节翻修术、DAA前路微创髋关节置换、膝关节单髁置换、高脱位髋关节发育不良),股骨头坏死保髋治疗,四肢畸形矫形和骨恶性肿瘤保肢手术经验。在川南地区率先开展3D打印多孔钽金属材料修复各种骨缺损。
(来源:健康西南)
编辑:李永鑫
关注川南在线网微信公众号
长按或扫描二维码 ,获取更多最新资讯
其他