川南在线 发布时间:2024-01-08
首先,我们了解一下什么是肾囊肿?
肾囊肿是一种肾脏最常见的结构异常良性疾病,囊肿可以发生在单侧或双侧肾脏,一个或多个,一般没有明显症状,囊里面的“东东”通常是不同性质液体,当囊肿压迫引起血管闭塞、尿路梗阻或周围组织受压严重时可出现相应表现,会影响肾功能。
它分为单纯性囊肿和复杂性囊肿。单纯性囊肿指囊内成分单一,主要为液体,囊壁厚薄均匀,最常见。复杂性囊肿指囊内成分复杂,除了液体外,还可能有出血、纤维素分隔等其他类似实性组织的成分。

其次,肾囊肿有什么危害呢?
大多数情况下肾囊肿是不需要治疗的,但是,当囊肿长至一定大小后,还是可能会引起相关临床症状,比如引起所在部位的疼痛、不适,可以造成对局部组织器官的压迫症状,甚至影响局部组织器官的功能。
囊肿内感染、出血时可引起明显疼痛;有时候较大囊肿发生蒂扭转导致急腹症,这些囊肿都是需要及时处理的。
目前,肾囊肿治疗有哪些?
传统的开大刀的治疗方式已基本淘汰,外科目前主要采用腹腔镜下肾囊肿开窗术,但手术依然创伤较大,住院时间长,医疗费用较高,需要全麻。
而超声引导下的肾囊肿穿刺硬化治疗是目前一种新的微创技术,它的优点是安全精准、创伤极小、花费低廉、效果显著,只需局部麻醉。
下面带大家详细了解一下,超声引导下肾囊肿穿刺硬化治疗,一个小针眼真的就可以解决肾囊肿?
对的,您没有听错!
对于大多数单纯性肾囊肿,现在都可以在一个小小的针眼下,通过超声引导下硬化治疗来处理了。
那么问题来了,单纯性肾囊肿常见吗?什么是超声引导下肾囊肿硬化治疗呢?那些患者可以采用这种治疗方式呢?它有什么优势呢?
1 单纯性肾囊肿常见吗?
单纯性肾囊肿是成年人肾脏最常见的一种良性病变,可以简单理解为肾脏上长了几个“水泡”,可以为单侧或双侧,一个或多个,多发于男性,发病率随年龄增长而升高,50岁以上健康人群超声检出率达6.36%~24%。

2 超声引导下肾囊肿硬化治疗是什么?
简单来说,在超声引导下对肾囊肿进行精准穿刺,抽尽囊液后在囊内注入硬化剂。硬化剂可以破坏囊壁上的内皮细胞,使内皮细胞变性、脱水、坏死,并产生无菌性炎症,纤维组织增生,从而使囊腔逐渐闭合,吸收并消失。

3 超声引导下肾囊肿硬化治疗适应症及禁忌症
适应症
1、肾囊肿最大直径>5cm;
2、囊肿伴有出血及(或)感染者;
3、囊肿伴有压迫等症状者;
4、既往治疗后复发,伴有压迫症状或最大直径>5cm者;
5、复杂性肾囊肿,CT检查Bosniak分型I型、II型者;
6、多囊肾较大囊肿造成压迫症状者。
绝对禁忌症
1、与输尿管相通的肾盂源性嚢肿;
2、有严重心脑血管疾病、严重精神障碍,不能耐受治疗者;
3、抗凝治疗期间、有出血倾向、凝血功能障碍者;
4、没有安全穿刺路径,不能避开重要血管及重要结构者。
4 超声引导下肾囊肿硬化治疗有什么优势?
创伤小、恢复快。
病人痛苦小,手术时间短。
尤其适合有基础疾病的老人、孕妇等患有囊肿的特殊群体。
属于微创技术,相当于用一次精确的小手术来代替传统大手术。
术后只需留观,常规第二日出院,后3个月、6个月及12个月各复查一次。

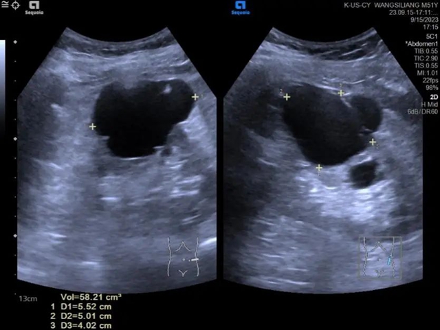
5 病例展示
术前超声所见:
左肾中上份囊肿,大小约5.5x5.0x4.0cm(体积约58.2cm3),内见少许光带分隔。

术中超声所见:
在超声引导下置入导丝和导管后,抽取少许囊液进行蛋白试验,并经导管注入稀释后的造影剂,显示造影剂局限于囊肿内(表明囊肿与肾盂不相通)。

术后3月复查超声:
左肾囊肿较术前明显缩小,大小约1.5x1.3x1.0cm,达到治疗目的,且患者皮肤仅有针眼大小的创口。

6 治疗后注意事项
出院后1周内严禁负重劳动或活动,保持大便通畅;手术区域如出现疼痛并进行性加剧或剧烈疼痛,需及时至正规医院急诊科就诊。
部分患者术后短期内会出现发热情况,往往出现在较大囊肿治疗后,多为吸收热。通常体温不超过38.5度,不需特殊处理,可多饮水;少数患者体温可超过39度,可采用物理降温或退热药物对症治疗,多饮水,持续时间一般不超过3天;如发热超过3天不缓解,需及时至正规医院就诊。

供稿医生>>
王世界
博士,主治医师
中山大学医学技术(医学影像技术)专业博士研究生毕业。尤其擅长超声引导下的相关介入操作。以第一作者发表论文5篇,其中SCI 2篇,中文核心期刊2篇;主持或参与市厅级及校级课题3项。
参考文献
[1] 中华医学会超声医学分会介入超声学组,中国研究型医院学会肿瘤介入专业委员会. 多脏器囊肿硬化治疗中国专家共识(2021版)[J]. 中华超声影像学杂志,2021,30(8):645-654.
(信息来源:西南医科大学附属医院 文/王世界 图/部分源于网络)
编辑:李永鑫
关注川南在线网微信公众号
长按或扫描二维码 ,获取更多最新资讯
其他