川南在线 发布时间:2021-04-21
将一根根“插植针”逐一插入患者肿瘤表面或内部,搭建起直达肿瘤的“隧道”,连接后装治疗机,引入高剂量放射源将肿瘤精准“杀灭”的同时,毗邻正常组织几乎没有或仅有很少剂量照射,治疗完成放射源即刻收回,患者安全走出治疗室,以后肿瘤将逐渐消失。
这种有别于常规放疗方式的近距离后装插植放疗,经西南医科大学附属医院肿瘤科吴敬波教授团队较早在国内引进,已开展10余年。结合现代医疗和科学技术的发展,目前已广泛运用于肺癌、头颈肿瘤、宫颈癌、盆腔、腹膜后淋巴结转移癌等全身各部位多种恶性肿瘤治疗,成功治疗各类肿瘤患者上千例,达到出色的治疗效果,为众多复发难治的恶性肿瘤患者带来了一线新的希望,成为我院具有特色的一项国内外领先技术,吸引了全国各地众多患者以及肿瘤治疗界同行纷至沓来。
时值第27个全国肿瘤防治宣传周(2021年4月15~21日),我们特别来了解一下,近距离后装插植放疗,这项造福千万肿瘤患者的“宝藏技术”。
【治疗病例】
01
两年前,合江一名50岁左右的男子被确诊为肺癌,由于肿瘤巨大,已超过10厘米,无法手术。加之患者还患有先天性心脏病、主动脉狭窄等疾病,治疗难度很大。
经吴敬波教授团队多次讨论,最终为其制定近距离插植放疗计划。“患者病情比较复杂,若采用常规照射,因毗邻危及器官限量就无法达到满意治疗效果。而近距离放疗在肿瘤能得到高剂量照射的同时满足危及器官最低剂量,最大可能保护正常器官。” 吴敬波说。


肺癌巨大肿块,3D打印模板插植后装放疗
随后,吴敬波率团队为该患者进行了肺鳞癌巨大肿块3D打印模板后装插植放疗,肺部癌肿明显缩小。
02
一42岁宜宾籍女性,两年多前诊断为局部晚期胃癌进行了手术治疗以及术后辅助化疗,一年前又发现双侧卵巢及腹膜转移,遂行化疗联合曲妥珠靶向治疗,治疗有效后行双侧附件及腹膜肿瘤减瘤术,术后继续化疗及靶向药物维持治疗,因残留腹膜后及腹主动脉旁三个淋巴结位置特殊,处理难度大。


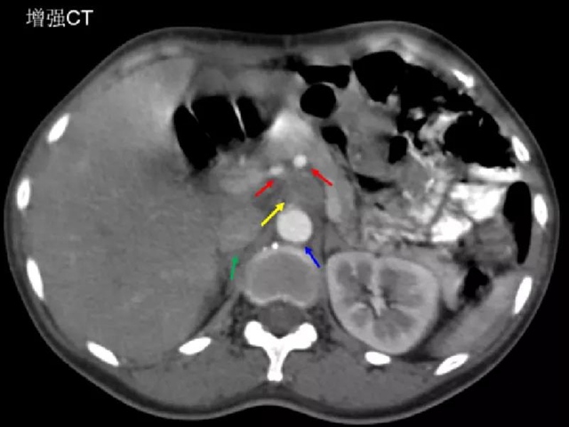
治疗前影像学评估肿瘤情况
(黄色箭头为转移淋巴结,红色箭头为肿瘤前方小动脉,绿色箭头为下腔静脉,蓝色箭头为腹主动脉)
“对于该病变部位,常规化疗无效,放疗不能做,手术更是禁忌,如不能采取其它的有效治疗手段,任其发展下去,患者生命将受到威胁。”吴敬波教授说,在此情况下,近距离插植放疗是一种可以局部治疗肿瘤又可以减少正常器官毒副反应的手段,可以说是该患者的最佳治疗手段。
经过与患者沟通,患者抱着极大的信任态度,选择了这一治疗。
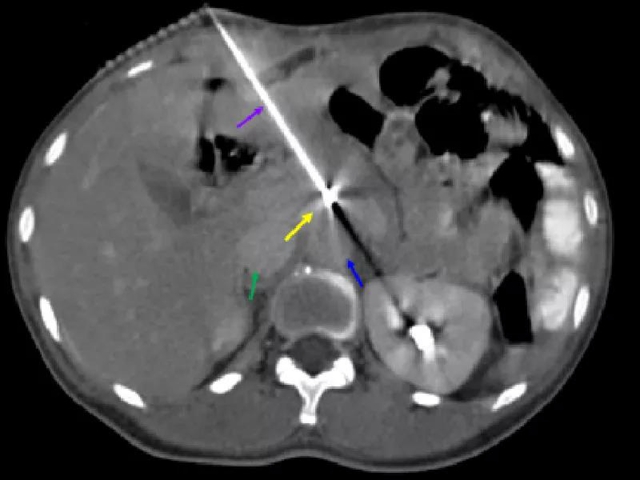
今年2月,吴敬波教授团队先插植放射消融处理了两个淋巴结,两周后处理插植肝门附近的第三个淋巴结,操作过程中进行经皮CT引导插植板辅助进行插针,此淋巴结上下、左右、前后密布血管,仔细分析CT图像,终于找到一个约5mm的血管间隙精准进针,一次照射剂量高达30戈瑞,后装消融治疗,拔针后复扫CT未见出血,患者安全返回病房。



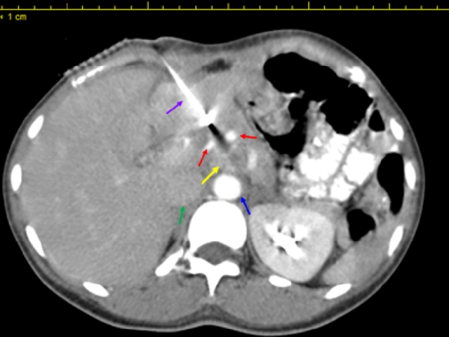
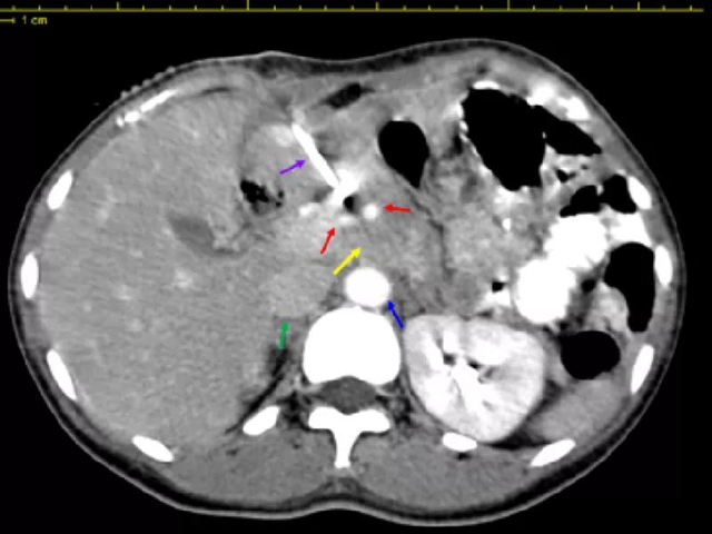
治疗中影像学显示
(黄色箭头为转移淋巴结,红色箭头为肿瘤前方小动脉,绿色箭头为下腔静脉,蓝色箭头为腹主动脉,紫色箭头为插植针)
03
近日,一40多岁云南籍女性,因宫颈癌术后盆壁复发肿瘤,在当地外照射放疗4周后,该省专科医院专家认为其已不适合再做外照射放疗,故推荐到西南医科大学附属医院做后装插植放疗。
4月8日,吴敬波教授团队为其实施了3D打印模板CT引导后装插植治疗,术中顺利植入后装插植5针,通过插植针将大剂量的放射源(照射剂量高达25戈瑞,相当于常规放疗一个月左右的剂量)聚焦于肿瘤位置,剂量分布高度适形。

福建省肿瘤医院放射科陈炬辉主任带领团队到场观摩了此次手术过程


【技术解读】
01
现代化的治疗手段,肿瘤放疗实现“私人定制”
据吴敬波教授介绍,我们通常所说的放疗一般是指外照射治疗,又称为远距离放疗,即将放射源穿透身体正常组织到达肿瘤位置。
该技术目前遇到两大瓶颈制约,一是患者在治疗过程中由于呼吸等运动移位造成肿瘤组织运动“脱靶”,从而导致肿瘤逃避放射线的杀伤;二是“杀灭”肿瘤的放射剂量因保护周围正常组织难以大幅提升。这样就造成部分患者治疗效果不佳、治疗产生副作用大、治疗后生活质量差等一系列问题。
伴随放疗诞生而同时起步发展的内照射治疗,又称为近距离治疗,后装插值放疗是近距离治疗的形式之一,它是将作为施源器的插植针直接插入肿瘤组织中,通过大剂量的照射,实现对肿瘤的精准消融治疗,这种短时间内给与高剂量照射的技术也称为放射性消融治疗。
近距离后装插植技术具有诸多优势:
高剂量突破外照射的禁区;
剂量梯度下降快,有利于保护邻近正常组织;
低剂量区小,有利于肝、肺等器官保护;
轻松克服运动器官脱靶;
微创,针眼大小仅1.9毫米;
操作并发症及放射并发症都较低;
设备及收费不高,但性价比高。

各种放疗用射线吸收比较,蓝色为电子线,绿色为高能X线,红色为重粒子或质子射线,黑色为后装近距离治疗的r射线
据吴敬波教授介绍,该技术要求医生植入插值针非常精准,以前由于影像技术不发达,插植的部位需要医生凭借经验进行判断和手工插入,治疗十分不易。
后来,随着电脑和CT技术的发展,吴敬波教授团队改良设计了二维插值板,用于稍复杂肿瘤的辅助治疗。
现在,借助于医院引进的现代CT、磁共振等先进的影像设备,采用3D打印模版引导技术,以三维视角来进行施源器的植入与固定,定位更精确,通过非共面多角度进针,使肿瘤放疗靶体积达到处方剂量要求,在给予高剂量照射的同时,保证肿瘤周围正常组织受到照射的剂量控制在可接受范围内,从而提高患者的治疗效果和安全性。当然,这对医生的操作技术和临床经验仍有很高的要求。

插值工作中

插植完后与后装机放射源通道联接上
三维组织间插植近距离放疗,是医生把中空的插值针插入肿瘤内部,建立条条隧道,连接后装治疗机,放射源就像“地道战”中的战士一样,通过“隧道”打入敌人(肿瘤)内部,放射源照射完此遂道,再照射彼遂道,把肿瘤各个击破。
随着3D技术在医疗领域的兴起,吴敬波教授团队又在一些更复杂肿瘤的近距离插值治疗中引入了个体化的3D打印技术,可根据患者肿瘤的位置、大小、形状不同,采取影像数据精确还原,量体裁衣订制其专属3D打印模板,指导医生进行后装放疗操作,实现了肿瘤患者的“私人订制”放疗,更加精准化、个体化。

3D打印模板
02
有温度的治疗技术,普通百姓不再望而却步
受医疗设备及医生操作技术水平等各种因素的影响,目前,近距离插植放疗技术在医疗行业的运用还不太普及,国内仅小部分医院开展,而且大多主要运用于妇科恶性肿瘤的治疗。


眼球后肿瘤插植后装治疗
西南医科大学附属医院作为国内较早开展近距离插植放疗技术的医院,多年来,吴敬波教授团队一直致力于发展推广该技术,经过多年不断钻研,并结合现代医疗和科学技术的发展,与时俱进,大胆开拓创新,不断拓展其应用范围,目前已广泛运用于肺癌、头颈肿瘤、宫颈癌、盆腔腹膜后淋巴结转移癌等全身各部位多种恶性肿瘤治疗,成功治疗各类肿瘤患者上千例,达到出色的治疗效果,仅肺部肿瘤治疗目前已累计开展上百例,在国内外处于领先地位,硬核实力备受业界认可,治疗过程多次引来同行大咖观摩学习。


云南省肿瘤医院李文辉院长带队观摩
在同行的推荐下,全国各地众多身患复发难治肿瘤的患者纷纷慕名而来,寻求一线治疗的希望。
“从放射剂量分布特点看,近距离插植放疗是适合中国百姓的‘质子’治疗,能解决不少疑难病例,为肿瘤治疗带来新希望。”吴敬波教授表示。
吴敬波教授团队被中国医学科学院肿瘤医院副院长、中国医学科学院肿瘤医院深圳医院院长、中华医学会放射肿瘤专委会主任委员王绿化教授盛赞为“做有情怀的医生,做有温度的技术”。
专家介绍
吴敬波

教授
主任医师
博士/硕士研究生导师
中华医学会放射肿瘤治疗学专委会委员
中华医学会放射肿瘤治疗学分会近距离治疗学组副组长
卫生部全国医用设备资格考试LA医师专业委员会委员
中国抗癌协会神经肿瘤专业委员会委员
全国近距离放射治疗学会委员
国家自然学科基金评审专家
《中国放射肿瘤学》编委
《Journal of Nasopharyngeal Carcinoma》杂志编委
多个国外肿瘤学SCI杂志审稿人
泛珠江三角洲放射肿瘤协作组执行委员
西部放射肿瘤学会常委
四川省医学会放射肿瘤专委会副主任委员
四川省抗癌协会化疗专委会副主任委员
四川省学术技术带头人
四川省有突出贡献优秀专家
四川省卫生厅学术技术带头人
泸州市医学会肿瘤分会主任委员
(来源:健康西南)
编辑:李永鑫
关注川南在线网微信公众号
长按或扫描二维码 ,获取更多最新资讯
其他