川南在线 发布时间:2024-04-04
今天要给大家介绍的是一位“抗癌达人”朱阿姨,68岁的她多次患肺癌。
4年前在西南医科大学附属医院胸外科胸腔镜下行左上肺病灶(微浸润性腺癌)、左下肺病灶(浸润性腺癌)切除术;2年后又在胸外科胸腔镜下行右中肺病灶(浸润性腺癌)切除术。诊断为多发性肺腺癌,因为三个病灶分期均较早,术后未作任何治疗,定期门诊观察随访,朱阿姨的肺癌一直未复发。
不幸的是,今年2月底右下肺又新长出6mm的肺癌。因为朱阿姨已经历过两次外科手术,切除了三“块”肺组织,如果再次外科手术治疗,显然不是最好的选择,这个时候到底改怎么治疗成为摆在医生面前的难题。

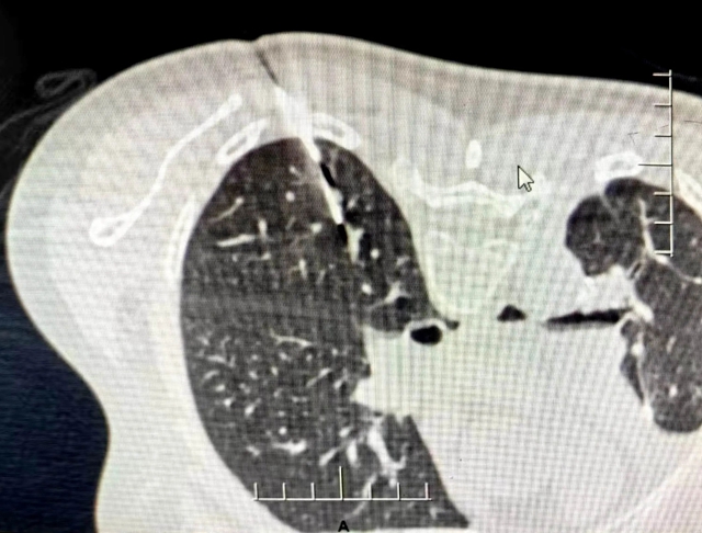
右下肺6mm肺癌,如箭头所示,不易发现
“近年来,肿瘤消融治疗发展迅速,已成为继手术、放疗、化疗、靶向治疗和免疫治疗之后又一重要的肺癌治疗手段。”西南医科大学附属医院呼吸与危重症医学科黄成亮副教授介绍,肺癌微波消融治疗通俗来讲,也可以叫一针“烧死”肺癌,就是把微波消融针,在CT引导局部麻醉下,穿刺到肺癌病变区域,通过微波产生的高温,在几分钟内使肺癌细胞发生凝固性坏死,类似于微波炉加热饭菜一样。微波消融后,在病灶周围形成1cm以上的毛玻璃影,往往表明这个肿瘤被完全杀灭。


经西南医科大学附属医院呼吸与危重症医学科全科讨论后,黄成亮副教授决定以“针”代“刀”的方式,与朱阿姨共同来消灭右下肺的“敌人”。
手术当天,黄成亮副教授刚好上门诊,在门诊看了70多个病人,虽然很忙,但他一直牵挂着病房里朱阿姨的病情。处理完所有的门诊病人后,他便马不停蹄地赶到CT室,为朱阿姨实施手术。
由于肺时时刻刻在呼吸,而下肺的呼吸运动比较大,且病灶只有6mm,挑战性极大,黄成亮副教授在CT引导下,精准的把一根直径约2mm的消融针插入肿瘤病灶,很快消灭掉了右下肺的肿瘤。手术助手张明博士配合完美,消融结束后再次进行CT检查,确保病灶已经被灭活杀死,最终手术圆满成功。


由此可见,肺癌微波消融术优势明显,尤其是对于老年患者和心肺功能差、多原发性肺癌或转移性肺癌的患者比较适合。早期肺癌有可能达到根治,晚期肺癌可以达到减瘤、姑息治疗,缓解疼痛、提高生活质量,延长患者的生命。
在所有肿瘤中,肺癌是威胁生命的“头号杀手”,近年来,医院呼吸与危重症医学科已常规开展肺癌微波消融术,随着该技术在临床上的广泛应用,肺癌的治疗又多了一个利器,肺癌患者也多了一个选择。\
(来源:西南医科大学附属医院 文/王曦 图/黄成亮)
编辑:李永鑫
关注川南在线网微信公众号
长按或扫描二维码 ,获取更多最新资讯
其他