川南在线 发布时间:2024-05-06
随着肿瘤多学科治疗时代的到来,对于一些难治性胸部肿瘤往往不再是一个科室单兵作战,更多的是多个科室多兵种联合作战,更加趋于微创和高效。
肿瘤的手术,放疗、化疗,消融治疗(冷冻、微波及射频消融等)的排兵布阵是近年来国内外研究的热点话题。
近日,西南医科大学附属医院胸外科戴天阳教授团队联合介入科李玉伟教授团队、影像科漆万银教授一起,成功为胸腺鳞癌术后序贯放化疗后2年癌肿进展的患者实施胸部病灶冷冻消融治疗,也是医院首例难治性胸腺癌治疗新技术,为肿瘤患者提供了又一种新方法,让更多患者看到了新的希望。

山穷水尽疑无路
66岁的患者宋先生2年前因患前上纵隔胸腺鳞癌行胸腺癌切除加左肺上叶部分切除术,术后进行全量放疗和辅助化疗。1月前因胸痛,行胸部CT检查发现左前上纵隔软组织结节影,考虑为术后复发。
但由于患者基础疾病较多,合并高血压、2型糖尿病、冠心病等,癌肿与心脏大血管关系紧密,加之患者手术和术后辅助放疗引起胸腔及病灶周围严重粘连,不适合再次手术和放疗。
宋先生及其家属非常焦虑,对难治性胸腺癌的治疗感到一片迷茫,难道生命就此结束了吗?
冷冻消融又一春
他们不放弃一点希望,在经过多学科咨询后住院到胸外科,胸外科戴天阳教授团队、介入科李玉伟教授及肿瘤科经过胸部多学科充分的病情评估,为患者制定了单针冷冻消融为主,免疫治疗为辅的个体化治疗方案。
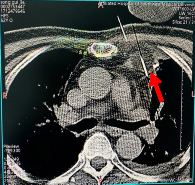
介入科李玉伟教授、胸外科戴天阳教授在影像科漆万银教授的配合下,选择局部麻醉,在CT引导下,精准定位穿刺,冷冻消融针直达肿瘤中心,全程冷冻3个循环,CT扫描见肿瘤达到消融标准,手术顺利,手术过程中患者全程保持清醒,随时与医生保持沟通,患者自诉没有感觉到明显疼痛、胸闷、心慌等不适,整个治疗过程大约半个小时左右。
术后患者无气胸、无出血及其他不适,安全返回病房,术后第一天患者能自主活动,并使用了免疫抑制剂进行治疗,生活完全能自理,术后第二天,患者胸痛明显好转,顺利出院,还为胸外科送来锦旗和鲜花表达感激。

术前增强CT扫描

术后CT扫描
冷冻消融知识简介
胸部肿瘤的冷冻消融治疗是通过CT等影像设备引导,将一次性冷冻器精准穿刺至肿瘤靶点,开启冷冻系统,迅速降低冷冻探针和周围组织的温度,在15-30秒内将肿瘤组织迅速冷冻至-150℃以下,直到冰球完全覆盖肿瘤病灶,冷冻10-20分钟,然后再进行复温(20C-40℃),经过2-3个治疗循环,肿瘤细胞死亡。
冷冻消融一方面通过快速降温会导致细胞内外冰晶形成,破坏肿瘤细胞结构,改变渗透压致细胞脱水死亡。另一方面通过冷冻导致局部循环淤滞,微循环内血液凝结,复温后冰晶融解,细胞内成为低渗状态,大量的水进入细胞内,引起细胞肿胀,细胞膜破裂,细胞死亡。复温后组织水肿,血小板聚集,形成微血栓肿瘤细胞缺血缺氧死亡。简单总结肿瘤冷冻消融为肿瘤患者带来更高更生存期!

消融治疗更上一层楼
据戴天阳教授介绍,肿瘤的治疗手段目前趋向多元化,胸部肿瘤治疗有微创外科手术、放疗、化疗、靶向治疗、免疫治疗、消融治疗(冷冻、微波及射频消融),如何排兵布阵,为每一位肿瘤患者精准提供个性化的治疗方案,一直是医院胸部多学科团队努力的目标。
胸外科团队不但在胸部微创外科手术的全国比赛中多次获得大奖,在胸部肿瘤消融方面,也积累了丰富经验,发表了《微波消融治疗非小细胞肺癌临床疗效分析》等多篇学术论文,还多次将微波消融应用于肺癌、胸部转移性癌、难治性纵隔肿瘤的治疗中,成功治愈了众多癌症患者,获得广大患者的信赖与好评。这次首例冷冻消融治疗难治性胸腺癌的新篇章,定将让更多难治性肿瘤患者重燃生命新希望。

(来源:西南医科大学附属医院)
编辑:游江
关注川南在线网微信公众号
长按或扫描二维码 ,获取更多最新资讯
其他