川南在线 发布时间:2024-11-10
骨头严重损毁用“人造”骨骼换新
骨头弯曲变形用3D打印假体置换
3D打印技术的发展
让曾在科幻电影中才能见到的场景
在现实中广泛应用

3个月前,32岁的王星冉(化名)在西南医科大学附属医院骨与关节外科进行3D打印人工掌骨重建手术。这是该科室首次将3D打印技术应用于矫形塑形领域。以往,该技术多用于盆骨重建、髋关节置换等复杂手术。
“恢复得很好,手掌活动已经不受限了。”前几天,王星冉将手掌复查的影像资料发给医院骨科副主任尹一然时说。
“打印”出来的掌骨让“馒头手”消肿
3个月前,王星冉找到尹一然就诊。当时,王星冉的右手肿得像馒头,摸起来有些坚硬,手掌活动度差,但没什么痛感。
“我的右手肿胀已经有一年多了,包块慢慢越长越大,不痛但影响美观,而且手掌活动受限,握不紧拳头。”王星冉这才下定决心要揪出“元凶”。

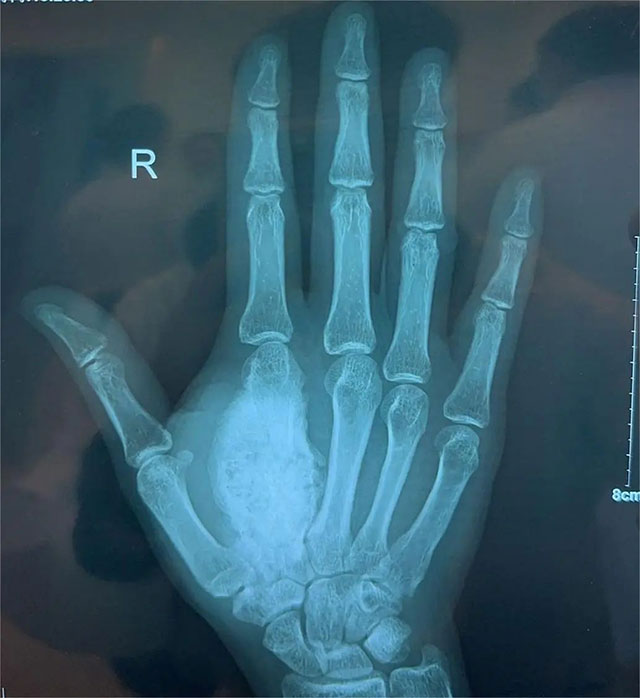
经过查体及影像学检查,可见王星冉右手第二掌骨区域肿块大小约6.5×5×2cm,骨质破坏伴周围软组织肿胀。再进行取活检手术后,初步确定该肿块为骨母细胞瘤。这是一种良性肿瘤,但放任其发展也可能转变性质,而“斩草除根”的办法就是切除肿瘤。

右手正位

右手斜位
“对于骨母细胞瘤,传统手术方式是刮除植骨,也就是保留原掌骨,将周围肿瘤组织切除。”尹一然说,刮除植骨最大的“后遗症”是剥离不净可能导致肿瘤“春风吹又生”。且患者第二掌骨已弯曲变形,刮除植骨无法让掌骨恢复原位,不能完成患者“恢复手掌美观”的心愿。
如何是好?尹一然与医院骨与关节外科陈歌主任医师、彭琳主治医师等组成的手术团队经过术前讨论,决定通过3D打印技术为患者“造”出掌骨。手术团队根据“镜像原理”,采集患者左手第二掌骨形态,“量体裁衣”定制右手同位置3D打印假体,以将“打印”掌骨完全替换已弯曲变形掌骨,让“馒头手”恢复如初。且掌骨肿瘤已被“一锅端”,基本不会有复发可能。

3D打印假体术前设计

术后效果图
“手术最大的难点是切除患者右手第二掌骨后,如何使假体与掌指关节、腕掌关节完美契合。切除过程中,如何‘抽丝剥茧’剥离肿瘤,而保护好指伸肌腱等,不影响患者手部功能。”尹一然说,这考验的是医生的专业技术。团队逐一克服困难,历时两小时,手术顺利完成。
术后,医院骨与关节外科医护人员对王星冉进行了精心照护,并引导其早期康复训练。不久后,王星冉康复出院。


术前术后功能对比
“黑科技”美容塑形让患者重拾自信
前几天,尹一然回访王星冉时得知,王星冉的右手恢复得很好,除了术后留下的疤痕还未完全复原外,其手掌功能基本不受影响,已可以随意握拳活动。

来自病人的点赞!
此次3D打印人工掌骨重建手术是医院骨与关节外科首次将3D打印“黑科技”技术用于美容塑形领域。医院依托骨科与运动医学中心,有计划在泸州率先建立3D打印中心,除了满足多学科重大复杂病例的临床诊疗需求外,还将致力于为颌面部畸形等有矫形、塑形需求的患者提供专业服务,帮助患者重拾自信。
“只要患者身体部位能进行镜像重建,或者有精确CT图像,科室就能通过3D打印定制假体植入。”尹一然介绍,目前所用的假体材料多为医用钽金属、钛金属,其生物相容性强,不会与身体产生排斥反应,“简单来说,就是3D打印的人工骨骼能够与人体自身骨骼相生相融,就像自己长出来的一样。”
部分患者担心:在身体内植入金属会不会感到冰凉发冷?能过安检吗?尹一然解释,这个担心是多余的,3D打印假体所用的材料会保持恒温状态,能很好地适应人体温度,不会让人体感到不舒服。且医用材料不含铁磁性,不影响患者过安检、坐飞机以及做核磁共振检查等。
身体长了不痛不痒的包块,且生长缓慢时,大多为良性骨肿瘤,无须太过担心。如果骨肿瘤处于静止期,即随着时间推移大小无太大变化时,一般不需要做手术,定期随访即可。
一旦骨肿瘤在短期内迅速长大,且伴随疼痛不适、睡不着觉等症状,需要及时到专业医疗机构就诊,确定包块性质。
“骨肿瘤越大,伴随周围组织结构损伤、功能丢失的风险就越高。最重要的是早诊断、多观察、早治疗。”尹一然说。
(来源:西南医科大学附属医院)
编辑:肖昂
关注川南在线网微信公众号
长按或扫描二维码 ,获取更多最新资讯
其他