川南在线 发布时间:2025-04-01
俗话说:“千里之行,始于足下”,在人类前进的脚步中足踝承受着全身重量,一旦踝关节出现问题,可能带来的不仅是走路时撕心裂肺的疼痛,甚至会导致患者“寸步难行”!
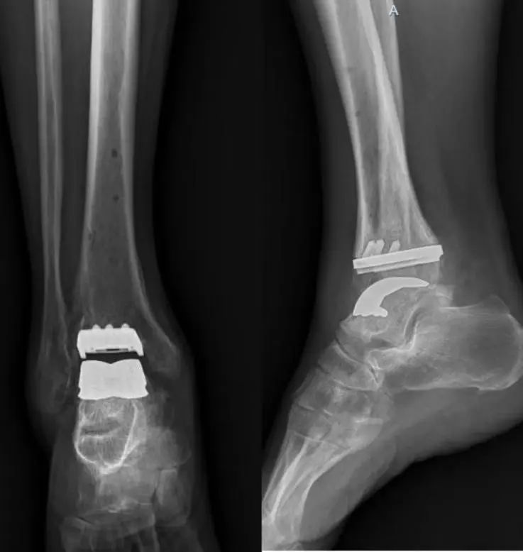
近日,西南医科大学附属医院骨科与运动医学中心成功为饱受双侧踝关节炎折磨多年的患者舒大爷完成川南地区首例双侧Infinity人工踝关节置换手术。术后患者恢复良好,双侧踝关节功能显著改善。
人工踝关节置换-重塑行走自由
今年56岁的舒大爷,因双侧踝关节反复疼痛、肿胀,近十年无法工作,甚至无法正常行走,生活质量严重下降。这十年也四处走访也无法缓解痛苦。
半年前,舒大爷的儿女带他来到西南医科大学附属医院骨科与运动医学中心就诊。经门诊检查发现,舒先生的双侧踝关节已严重退变,双侧距骨坏死严重,关节间隙几乎消失,活动功能完全丧失,确诊为“终末期踝关节炎”。

面对患者迫切的手术需求,医院骨科与运动医学中心的足踝专业组团队在科室内进行讨论,结合患者病情及国内外最新技术进展,决定采用目前国际领先的Infinity人工踝关节系统。该系统以“精准植入、高稳定性、快速康复”为特点,但手术对医生经验与技术要求极高。
舒大爷入院完善检查后,立即为其进行术前准备,徐杨博副教授带领的团队顺利完成了右侧人工踝关节置换术,这也是川南地区首例Infinity踝关节置换术。
术后次日,患者即可在助行器辅助下站立;两周后疼痛明显缓解,步态显著改善。患者出院后也按时到门诊随访复查,患者对右侧踝关节术后的恢复非常满意。

半年后,舒先生满怀信心再次入院,要求对左侧踝关节实施同类型手术。经过周密的术前规划,足踝外科团队凭借娴熟的技术,仅用2小时顺利完成手术。术后影像显示假体位置精准,关节力线完美恢复。目前,舒大爷已能自主进行康复训练,双踝活动自如,重拾生活信心。


专家解读:微创置换,行走人生
“踝关节置换曾是骨与关节外科领域的‘手术禁区’,而Infinity系统的出现让复杂手术更安全、更微创。”主刀医生、骨科与运动医学中心足踝专业组组长徐杨博副教授介绍,与传统融合手术相比,人工踝关节置换能最大程度保留关节活动功能,避免邻近关节的代偿性损伤,尤其适合对生活质量要求高的患者。
此次双侧置换手术的成功,不仅体现了西南医科大学附属医院骨科与运动医学中心在复杂关节疾病诊疗中的领先水平,也为更多踝关节损伤患者带来治愈希望。
哪些患者可以做这个手术?是否一次置换保终身?
原发性踝关节骨关节炎终末期,创伤性踝关节骨关节炎终末期以及之前做过踝关节融合想恢复踝关节活动性的患者都可以做踝关节置换手术,关节假体一般情况下可以使用15-20年左右。
想做踝关节置换的患者一定要到正规的医疗机构,找专业的足踝外科医生进行检查评估后,方可进行治疗。
医生简介
徐杨博

骨科与运动医学中心足踝专业组组长、副教授
擅长足踝部创伤,运动损伤,各种畸形的诊疗
中华医学会足踝外科学组全国青年委员
中国医师协会骨科医师分会足踝外科学组委员
中国医促会足踝外科学组委员
中国研究型医院学会足踝医学专业委员会常务委员
SICOT中国部足踝外科学会委员
中国中西医结合学会骨伤科分会足踝专家委员会委员
中国医师协会运动医学分会足踝外科学组委员
中国研究型医院学会足踝医学专业委员会委员
《足踝外科电子杂志》编委
《当代医学》编委
四川省医学会骨科分会足踝外科学组副组长
周一上午 忠山院区:足踝专病门诊
魏代清

副教授,博士,中共党员
擅长四肢骨、关节、软组织各类型损伤、疼痛及功能异常的诊断与治疗,尤其在足踝创伤修复重建、足踝运动损伤关节镜微创修复、足踝畸形矫正、足踝慢性疼痛等方面具有丰富的诊疗经验。
主持省教育厅、卫健委等各级课题6项,参与国家自然科学基金1项,在国内外期刊发表论文10余篇。2017年被评为“西南医科大学附属医院医德医风先进个人”、2019年被评为“西南医科大学年度优秀个人”。
中华医学会骨科学分会足踝外科学组青年委员
中国医师协会骨科医师分会足踝专业委员会青年委员
中国医师协会运动医学医师分会足踝专业学组青年委员
中国糖尿病足联盟青年委员
中国医促会骨科分会足踝外科学组西南学组委员
《西南医科大学学报》青年编委
周四下午 忠山院区:足踝专病门诊
邓勇

主治医师,医学硕士
从事专业诊治踝关节、足创伤(包括踝关节骨折,pilon骨折,跟骨,跖骨骨折及关节脱位),足部畸形(包括高弓足,扁平足,踇外翻,马蹄足,多趾等病变,跟腱断裂,踝关节、足跟部疼痛等疾病,足部慢性感染,糖尿病足等。
多次参加学术会议,发表多篇专业学术论文,从事临床本科教学工作,2次被评为医院医德医风先进个人
中国医师协会骨科医师分会足踝专业委员会青年工作委员会委员
周二下午 忠山院区:足踝专病门诊
李洋

医师,医学硕士,中共党员
擅长:足踝常见疾病的诊断与治疗;足部与踝关节的骨折诊断与修复重建的治疗;老年髋部骨折的诊断与治疗;四肢骨折的诊断与治疗,Ilizarov技术运用;四肢、关节退行性改变的治疗;
主持科研项目2项,在国内外核心期刊发表多篇论著,其中第一作者SCI收录三篇。多次参加全国、四川省学术会议并投稿发言。
2021年曾获得西南医科大学附属医院“正能量青年”荣誉称号。
周三下午 康健城院区:足踝外科门诊
西南医科大学附属医院骨科与运动医学中心足踝专病门诊列表

骨科与运动医学中心足踝外科亚组
西南医科大学附属医院骨科与运动医学中心的足踝外科亚专业组,自2009年组建以来,发展迅速,学科及梯队建设不断完善,诊疗技术不断提高,逐渐形成了规范化、精细化、个性化、微创化的临床特色。现已发展成为川南地区足踝疾病诊疗中心,中国医促会西南足踝外科医师培训中心,手术量达到年均800余台,发表学术论文20余篇。在川南地区率先开展人工踝关节置换术,全距骨人工踝关节置换,跖趾关节置换术,踇外翻个性化矫正术,严重足踝部畸形截骨矫形术,胫骨横向搬移术治疗糖尿病足等,可熟练应用关节镜技术微创诊治踝关节慢性不稳定、韧带损伤、儿童跟骨骨折、踝关节融合等各种足踝部创伤和运动系统疾病,获得满意的治疗效果。
特色诊疗有:
1、足踝部创伤与运动损伤的诊断与微创治疗,包括足踝部骨折脱位、急性或慢性踝关节韧带损伤、踝关节不稳定、距骨骨软骨损伤等。
2、足踝部各类型畸形的矫正与治疗,包括高弓足、扁平足、马蹄足、踇外翻、足趾畸形、Charcot-Marie-Tooth足部畸形等。
3、各种原因引起的足踝部疼痛与功能异常的诊断、鉴别与治疗,包括足踝部骨性关节炎、类风湿关节炎、创伤性关节炎、足跟痛、跗骨窦综合征、胫骨后肌功能不全等。
4、足踝部慢性溃疡及感染性疾病、糖尿病足、Charcot足等的个性化治疗。
5、足踝部肿瘤的诊断与治疗,包括足踝部各类型骨与软组织良、恶性肿瘤等。团队累计发表足踝专业论文sci、中文核心期刊数十篇。
(来源:西南医科大学附属医院 文/图 骨科与运动医学中心)
编辑:李永鑫
关注川南在线网微信公众号
长按或扫描二维码 ,获取更多最新资讯
其他