川南在线 发布时间:2025-06-25
阻断肿瘤“营养补给”,再巧妙利用内镜在胃黏膜下建立“隧道”,拆除“炸弹”。近日,西南医科大学附属医院消化内科团队完成了一起较大胃黏膜下肿物介入栓塞+内镜下ESD切除术,“双微创”最大程度减少对患者的损伤。这是该科室开展的一项新技术。

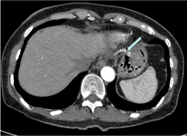
胃内大型黏膜下肿物破溃出现,箭头处为溃疡处
今年春节前夕,72岁的李婆婆被送入西南医科大学附属医院急诊科就诊时,呈休克状态,伴有呕血、黑便与贫血等症状。胃镜检查发现,她是因胃黏膜下肿物破溃出血才导致出现系列症状。
“切掉肿物,出血就会停止。”西南医科大学附属医院消化内科副主任汤小伟副教授介绍,李婆婆体内胃肿物直径约4厘米,邻近肝脏、胰腺等重要脏器。这类肿物常隐藏于黏膜之下,早期没有明显症状,倘若未能及时发现,就会悄悄增大导致疼痛、出血、梗阻,甚至危及生命。

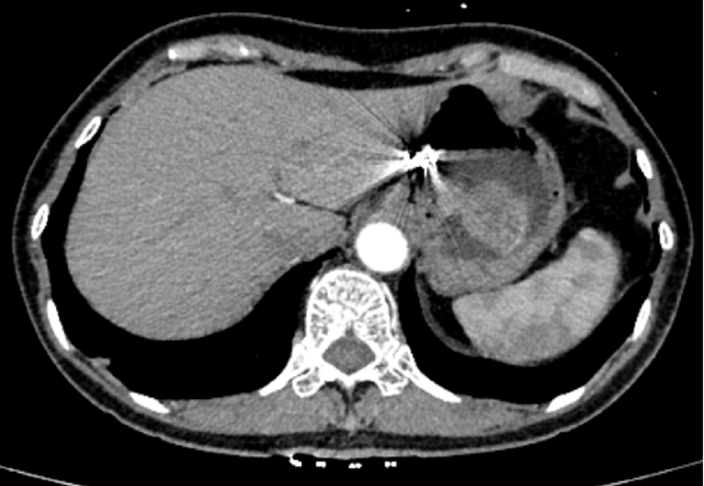
腹部增强CT提示瘤体有一根较大动脉供血,箭头示动脉血管
如何为患者实施安全有效的切除方案成为该团队面临的难题。当时有两个备选方案:内镜下微创治疗或外科腹腔镜下切除肿瘤。这两种方案均有弊端,为瘤体提供“营养补给”的胃左动脉分支血管较粗,贸然进行内镜微创治疗,术中容易发生大出血,风险高。倘若选择外科手术,需要切除患者的部分胃,创伤较大,且影响患者术后生活质量,显然也不是最好的选择。
“科室团队进行了充分讨论,在取得家属的同意后,决定分两步走,先由科室的介入团队(朱清亮主治医师与张海龙博士)进行胃黏膜下肿物介入栓塞治疗,‘堵塞’患者胃左动脉分支血管,将肿瘤‘饿死’。隔一段时间后,再由汤小伟副教授进行内镜下ESD切除术剥离肿瘤。”汤小伟副教授说,这是消化内科的一次有益尝试,在国内也并不多见。

介入团队先为患者进行“肿瘤介入栓塞术”(左为张海龙医生,右为朱清亮医生)
1月后复查CT与胃镜,患者瘤体有明显缩小,并且供血的主要动脉血管已经完全被栓塞。


CT检查提示体内的胃黏膜下肿瘤有所缩小,意味着栓塞成功。而后,汤小伟副教授为李婆婆进行内镜下ESD切除术。他带领团队在患者胃黏膜表面开一个小口,内镜经由这个小口在黏膜下层建“隧道”直至肿瘤位置,再将肿瘤和周边组织分离后切除取出。50分钟左右,手术顺利完成。最终的病理结果提示肿物的性质为胃间质瘤(低危险度),属于预后较好的一种类型。

内镜微创诊治团队,为患者进行内镜下微创治疗(左为张海涛护师,右为汤小伟副教授)




使用“内镜黏膜下剥离术(ESD)”的微创治疗方法,成果将瘤体完整切除。患者术后没有发生腹痛,发热,出血等并发症,在术后3天康复出院。
目前,李婆婆饮食恢复正常,无腹痛、腹胀等症状,“与一开始见到的她简直像两个人,在近日的胃镜复查中,她的胃壁已完成愈合,并没有肿瘤的复发”汤小伟副教授说。


术后4月后,患者复查胃镜提示胃内创面已经完全痊愈,肿瘤没有复发。
延伸科普 |胃肠道间质瘤
胃肠道间质瘤是胃肠道最常见的间叶源性肿瘤,约占胃肠道恶性肿瘤的1%至3%。据统计,每10万人中约有一两人发病,好发于中老年人群,40岁以下患者较为少见。在发病部位分布上,胃部最为常见,其次是小肠、结直肠,肠系膜、网膜及腹腔后较为罕见。
大部分胃肠道间质瘤患者可无任何症状,定期进行胃肠镜检查是发现胃肠道间质瘤的重要方法。
专家简介

汤小伟
消化内科副主任
副教授、医学博士
硕士研究生导师
中华医学会消化内镜分会隧道协作组委员
中华医学会消化内镜分会设备研发协作组秘书
中华医学会消化病分会内镜协作组委员
海峡两岸医药卫生交流协会消化内镜学分会第一届委员会委员
四川省医学会微无创学专业委员会副主任委员
四川省泸州市医学会消化病分会副主任委员
世界内镜组织(WEO)会员
欧洲消化内镜学会(ESGE)会员
主要研究方向:消化内镜微创技术、消化系统肿瘤机制研究、 胰腺病研究
以第一作者/通讯作者在《BMJ-British Medical Journal》(IF=105.7)、《Gastroenterology》等国际知名杂志发表SCI论文89篇;主持省、市级课题5项;获中华医学会科技进步奖等省市级奖励4项;作为主要撰写人起草临床指南/共识4部;获国家发明专利2项;主编/译消化内镜专著5本;并获2019年国际消化内镜大会颁发的“亚洲青年内镜医师奖”, “优秀青年研究者奖”, “杰出壁报奖”等多项奖励。

朱清亮
主治医师
擅长:肝癌、梗阻性黄疸、脾功能亢进、门静脉高压等疾病的治疗。从事消化内科系统疾病医疗、教学、科研工作多年,对消化系统疾病诊治有一定经验,在肝癌、梗阻性黄疸、脾功能亢进、门静脉高压导致上消化道出血及门静脉血栓方面有独特见解。

张海龙
博士,主治医师
擅长:经颈静脉肝内门体分流术(TIPS)、经导管肝动脉化疗与栓塞术(TACE)、经皮经肝胆道引流术(PTCD)、消化道出血的急诊介入
擅长:消化系肿瘤及相关血管疾病的临床工作,主要包括肝硬化、肝癌、肝血管瘤、肝囊肿、肝脓肿、门静脉高压症、门静脉血栓、脾功能亢进、布-加综合征、消化道出血、顽固性胸腹水、梗阻性黄疸等疾病的微创介入诊疗,已与同仁共同开展开展经颈静脉肝内门体分流术(TIPS)、经导管肝动脉化疗与栓塞术(TACE)、经皮经肝胆道引流术(PTCD)、消化道出血的急诊介入等。

张海涛
护师
从事内镜护理工作14年,擅长于消化内镜ESD、EMR、内镜下止血、小肠镜、超声内镜等相关护理配合。
(信息来源:西南医科大学附属医院 文/葛利 图/综合整理)
编辑:李永鑫
关注川南在线网微信公众号
长按或扫描二维码 ,获取更多最新资讯
其他