川南在线 发布时间:2025-07-15
李婆婆半年前查出右上牙龈癌,经过手术切除病灶后,术后李婆婆失去右上颌部分组织,张口受限,发音也变得不清楚,日常说话,其他人难以理解,还不能正常饮食,只能进食流食或使用吸管。
在主刀医生的推荐下,李婆婆找到了西南医科大学附属中医医院口腔科罗艳燕副教授。结合李婆婆的具体情况,罗艳燕副教授建议李婆婆通过颌面赝复体治疗,解决其口腔颌面部组织缺损的问题。

颌面赝复体:不仅修功能,更‘补’自信”
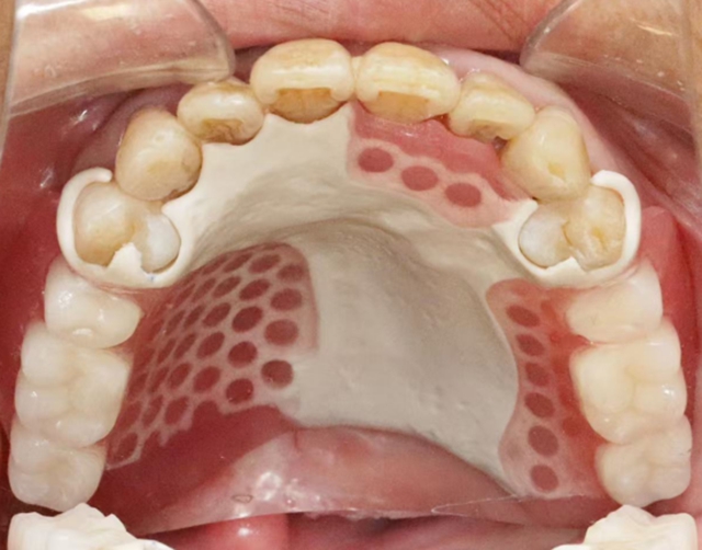
但由于李婆婆当时张口受限较严重,不足以完成口内取模,便指导李婆婆进行了张口训练。三个月后,李婆婆的张口度达到三指,能够配合罗医生完成口内取模。完成取模后,罗艳燕副教授立即开始着手为李婆婆“定制”颌面赝复体。
一周后,建立咬合关系、试排牙(将牙齿排列于正常咬合位置,进而使咀嚼功能恢复正常)……一系列操作后,定制的颌面赝复体被“正正好”地佩戴在李婆婆口内。经过一段时间的适应,李婆婆恢复了正常的面容,也能正常说话及进食了。
“不止救命,更要体面生活。口腔癌术后,颌面赝复体治疗能帮患者找回笑容与尊严。”


医学指导 :罗艳燕

口腔科
副教授、副主任医师
口腔全科医生,口腔美容主诊医师,四川省口腔医学会口腔全科专委会委员,泸州市口腔医学会委员。工作30余年,擅长口腔科门诊各种常见病、多发病以及多种疑难病症的诊治。尤其擅长牙列缺损及颌骨缺损的全口义齿修复、赝复体修复。
颌面赝复体治疗,是针对口腔颌面部组织缺损的修复方法,主要应用于肿瘤切除术后、创伤及先天发育不足导致的缺损患者。该技术通过定制个性化赝复体,恢复患者颌骨支撑功能及颜面器官形态,修复范围涵盖下颌骨、上颌骨缺损,能有效改善患者咀嚼、语言功能,同时通过修复容貌缺陷,帮助患者重建社交信心。
技术原理:
通过硅胶、树脂等人工材料制作赝复体,运用生物力学原理实现缺损组织的功能性替代。赝复体通过卡环、磁附着等方式固定于邻近健康组织,部分数字技术辅助制作的赝复体可实现与天然组织的边缘密合。
主要适用于:
颌面部恶性肿瘤根治性切除后的组织缺损
严重颌面创伤导致的不可逆性骨缺损
先天性颅颌面发育畸形
相对禁忌情况:
缺损区存在活动性感染病灶
患者无法耐受赝复体摘戴操作

赝复体修复不仅是患者生理功能的重建,更是患者重返社会生活的桥梁。随着数字化技术与固位设计的进步,赝复体的个性化适配性将持续优化,为患者提供更全面的康复保障。
(来源:西南医科大学附属中医医院)
编辑:李永鑫
关注川南在线网微信公众号
长按或扫描二维码 ,获取更多最新资讯
其他