川南在线 发布时间:2025-11-14
“医生,结节有变化,是不是要切肺?还要全麻插管吗?”今年10月,43岁的刘女士拿着复查报告,声音里满是焦虑。两年前查出肺结节时,她就一直提心吊胆,今年2月复查提示结节形态有变化,让她彻底慌了神……
两年心结难消,结节突然“变脸”
2023年体检时意外发现结节,虽医生告知定期复查即可,但“恶变”的担忧成了她的心病,每年复查都像闯难关。
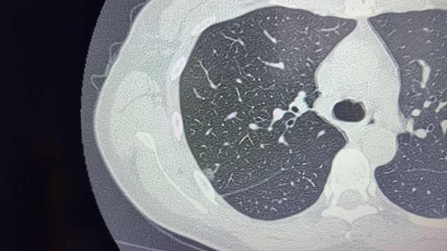
今年2月,复查胸部CT传来坏消息:原有结节不仅增大,形态还变得不规则,右肺下叶还新增了一个小结节。医生建议尽快手术,可传统开胸手术的大切口、全麻插管风险,以及漫长恢复期,让她迟迟不敢下决心,纠结了整整大半年。

经朋友推荐,刘女士抱着最后一丝希望,找到了西南医科大学附属中医医院胸心外科。科室副主任刘浩查看报告后,一句话打消了她的顾虑:“不用全麻插管,手术半小时左右完成,术后最快24小时就能出院。”
告别插管,“微创黑科技”解顾虑
“不用插管怎么手术?”刘女士满是疑惑。刘浩耐心解释,传统手术需全麻插气管、胸引管、尿管,而医院采用的“自主呼吸麻醉单孔胸腔镜技术”,通过静脉麻醉让患者全程自主呼吸,无需气管导管。
单孔胸腔镜仅需在胸部打一个2-3厘米的小切口,借助高清内镜精准切除结节,创伤极小,刘浩副教授耐心地解释,让刘女士彻底放下心防。10月28日,她顺利入院,术前检查就绪后,刘浩团队制定了精准手术方案。
手术当天,麻醉医生先进行局部麻醉,再注入镇静药物,让她处于放松的浅睡眠状态。“全程没不舒服,也不疼,就像睡了一觉,医生还时不时跟我说话,特别安心。”刘女士回忆道。
35分钟精准切除,手术全程“零负担”
手术室里,胸心外科刘浩团队凭借丰富的经验和精湛技术,通过单孔胸腔镜在高清视野下精准定位双肺结节。无需考虑全麻插管对呼吸的影响,手术操作灵活高效。
刘浩手持精细器械,在2-3厘米的小切口内稳步分离组织、结扎血管、切除病灶,每一步都精准到位。整个手术仅用35分钟,就成功完成肺部分切除术,两个结节被完整切除,术中出血量微乎其微。

刚苏醒的刘女士又惊又喜,术后立刻能自主呼吸、正常说话,没有传统全麻后常见的喉咙痛、头晕、恶心等不适。回到病房后,她还能自己起身喝水、活动,精神状态远超预期。
两天出院,重获健康安心
术后第一天,刘女士恢复态势良好,能正常进食,还能在病房散步、做简单呼吸训练。医护团队为她安排了胸部影像和血常规复查,全面评估切口愈合、肺部功能及是否存在感染。
10月30日早上,复查结果出炉:肺部通气正常,切口愈合良好,血常规指标全部正常,无任何并发症。病理检查显示,切除的结节为恶性肿瘤,但因发现及时、切除彻底,切缘干净,无需后续放化疗,定期复查即可。
拿着报告的刘女士彻底松了口气,当天顺利办理出院。“28号入院手术,30号就带好结果回家,没遭罪还不耽误事,太感谢了!”她紧紧握着医生的手连连称赞。
刘浩提醒,肺结节体检常见,多数为良性,但出现增大、形态不规则等情况需及时就医。自主呼吸麻醉单孔胸腔镜技术创伤小、恢复快,能最大程度减少手术影响,让患者快速回归正常生活。发现肺结节无需过度焦虑,科学评估、精准治疗是守护肺部健康的关键。

刘浩
副主任医师
胸心外科副主任
擅长对肺癌、食管癌、纵隔肿瘤等胸部良恶性肿瘤的规范化及微创治疗及单孔胸腔镜下肺部疾病手术,胸腔镜下纵隔肿瘤切除手术,胸腹腔镜食管癌根治术及胸部外伤的微创治疗等。
(来源:西南医科大学附属中医医院)
编辑:李永鑫
关注川南在线网微信公众号
长按或扫描二维码 ,获取更多最新资讯
其他