川南在线 发布时间:2022-04-26
继泸州市集采冠脉药物球囊与心脏起搏器双双落地后,国家组织集采的高值医用耗材人工关节再落地。近日,泸州市参保群众已经用上了集采降价后的人工关节。那么,泸州市参保群众享受政策的情况如何呢?
西南医大附院顺利完成多例关节置换惠民手术!
35岁的蒋先生,因为痛风的缘故,长期口服激素治疗。近3个多月以来,感觉双侧髋关节疼痛并逐渐加重,以右侧为甚,蒋先生随即到西南医大附院骨与关节外科就诊,磁共振检查提示:双侧股骨头坏死,需行手术治疗。
恰逢国家人工关节集采政策于4月20日起在四川正式落地执行,人工关节费用降价超过82%,蒋先生一家人喜出望外。4月20日,经过积极术前准备,由科室主任李忠教授主刀为其完成了右侧人工髋关节置换术,这也是西南医大附院首例国家集采后人工髋关节置换惠民手术!

蒋先生术后1天开始下地行走功能锻炼

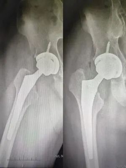
蒋先生术后X片
“我因为激素使用不当导致了双侧的股骨头坏死,后期肯定还会实施左侧的髋关节置换术。入院后,李主任就告知我人工关节集采降价的好消息,原本单侧的假体费用要4万多,现在只要8000元左右,换双侧的话要节约将近8万块钱,经济负担一下子就轻了!真的特别感谢国家的好政策,感谢西南医大附院骨与关节外科的各位医护人员!”蒋先生激动地说。
随着国家人工关节集采政策落地,西南医大附院陆续开展了多台次人工关节置换惠民手术。
郭婆婆今年79岁,近15年来一直受到双膝关节疼痛的困扰,7年前,曾在某家医院做过右膝关节置换术。近段时间,郭婆婆的左膝关节疼痛加重,导致活动受限并影响睡眠,生活质量大打折扣。郭婆婆随即到我院骨与关节外科就诊,诊断为左膝骨性关节炎。
4月21日,经过积极术前准备,由张忠杰教授主刀为郭婆婆完成了左膝人工关节置换术,这是骨与关节外科首例集采人工膝关节置换手术!

张忠杰教授为郭婆婆实施手术

术后X片
“我母亲7年前做右膝关节置换手术时,人工关节花费了接近4万元,而这次手术中张教授使用的假体才4000多元,为我们家节省了3万多呢!”郭婆婆的女儿毛女士说到。

郭婆婆为医护人员点赞
57岁的税阿姨于17个月前不慎摔伤导致左股骨颈骨折,随后实施了股骨颈骨折闭合复位内固定手术。近8个月来,左髋关节逐渐感到疼痛,来院后诊断为左侧创伤后股骨头坏死。经过积极术前准备,4月21日由骨与关节外科尹一然副教授主刀,为税阿姨实施了左侧人工髋关节置换术。
“一住进骨关节外科,尹教授就告知我们人工关节降价了,我心里别提多高兴了,真是遇到了好政策,赶上了好时候。非常感谢骨与关节外科的各位老师!”说到这里,税阿姨激动不已。

“泸州地处川渝滇黔结合部区域,周边经济、交通相对欠发达,患有关节炎的病人数量庞大,对于晚期髋膝关节骨性关节炎,只有实施关节置换才能缓解症状、改善生活质量。”张忠杰教授说,国家集采政策的落地实施,惠及本地区庞大的患者群体,为患者带来福音。
“股骨头坏死的几大常见病因有:
1、创伤性,例如股骨颈骨折等髋部损伤;
2、酒精性;
3、激素性。
当髋臼和股骨头均受累、出现骨性关节炎表现、明显影响患者生活质量时,保守治疗无效,需实施人工关节置换手术。而手术治疗费用较高,尤其是激素性股骨头坏死,往往涉及双侧髋关节。国家集采政策的落地实施,为患者节约了治疗费用。
“此外,我们为患者实施术后快速康复治疗模式,将进一步减轻患者的经济负担。”尹一然副教授说到。
“西医科大学附属医院骨与关节外科积极响应国家政策,迅速推动人工关节国家集采政策落地实施,于4月20日当天便开始开展集采后惠民手术,为患者谋取福利,极大地减轻了患者的医疗负担。”骨与关节外科主任李忠教授说,接下来,科室将继续在新的价格体系下开展治疗,不断提高业务能力,促进西南地区的整体健康水平提升。
便民小贴士

李忠
骨科副主任
骨与关节外科主任
教授、博士
博士研究生导师
从事临床、教学、科研工作25年,主要从事骨关节损伤修复与重建的临床与基础研究工作,具有扎实的医学理论基础知识及较丰富的临床工作经验。对骨关节科复杂、疑难病症及急、重症病例有丰富的处理经验。

谭美云
骨科副主任
骨与关节外科副主任
教授,医学博士
硕士研究生导师
擅长股骨头缺血坏死,股骨颈骨折不愈合,髋关节发育不良,强直性脊柱炎髋部病变,髋、膝骨关节炎,髋、膝类风湿关节炎,髋、膝创伤性关节炎等疾病的外科治疗。

尹一然
骨科副主任
副教授
硕士研究生导师
从事骨科十余年,擅长关节置换及骨肿瘤的治疗。

张忠杰
骨与关节外科副主任医师
副教授
从事外科临床、教学、科研工作20余年,了解国内外最新进展,及时开展新技术,曾受卫生部指派参与援外医疗工作,熟练掌握运用骨科各种疾患的诊断和治疗,尤其擅长各种关节的置换和重建。

陈歌
主任医师
医学博士
硕士研究生导师
擅长关节疾病及骨肿瘤的诊断和治疗,有丰富的关节置换(包括复杂髋膝关节翻修术、DAA前路微创髋关节置换、膝关节单髁置换、高脱位髋关节发育不良),股骨头坏死保髋治疗,四肢畸形矫形和骨恶性肿瘤保肢的手术经验。在川南地区率先开展3D打印多孔钽金属材料修复各种骨缺损。
(来源:健康西南 文/罗雄俊杰 图/由受访者提供)
编辑:李永鑫
关注川南在线网微信公众号
长按或扫描二维码 ,获取更多最新资讯
其他