川南在线 发布时间:2022-08-16
太阳当空照,花儿对我笑,小鸟说,中午好,你为什么还在不睡觉……
一条消息引起注意

2022年8月3日13:03,西南医科大学附属中医医院骨伤科创伤·正骨组黄陈翼副教授正准备小憩,微信突然响起来,是之前收治过的一位老病人杨先生发来的,一同收到的还有两张X光片和一张医院的诊断证明。
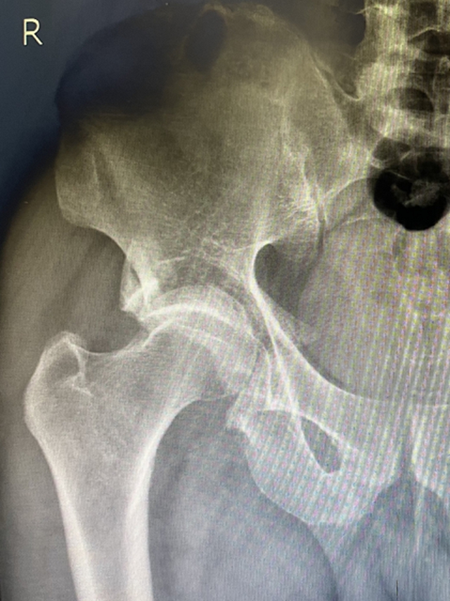
黄陈翼点开每张图片放大仔细查看,右侧髋臼骨折、双侧多发肋骨骨折、右侧桡骨远端撕脱性骨折、右侧尺骨茎突骨折、右腕三角骨骨折……
原来,患者是杨先生的叔父(后称杨大爷),今年60岁了,系泸州本地人,在新疆拜城县务工,不幸于7月27日在当地发生车祸致全身多发骨折,被送往当地医院救治。

因担心杨大爷远在新疆拜城县无人照料,加上杨先生自己曾经被黄陈翼精心救治过,恢复很好,非常信任西南医科大学附属中医医院和骨伤科创伤·正骨组医生的技术,坚决要把杨大爷接回泸州来治疗,这才出现了开头杨先生向黄陈翼咨询大爷病情的一幕。
黄陈翼与杨先生几经商量,建议其选择救护车护送杨大爷,并交代了在路上的注意事项。

跨越半个中国找到他
待杨大爷病情稳定后,8月4日一早,当地救护车把杨大爷从3500公里外的新疆拜城县,用了两天两夜时间,于8月6日19:00安全地送到了西南医科大学附属中医医院骨伤科创伤·正骨组。
入院后,黄医生经过仔细查体,发现杨大爷生命体征平稳,全身多处骨折中,只有右侧髋臼粉碎骨折需要手术治疗。
经过精心准备,黄陈翼于8月8日给杨大爷进行了手术治疗,手术非常成功,目前在进行后期康复治疗,杨大爷的子女也可以在一旁精心照顾。


看着杨大爷的情况一天比一天好,杨先生激动地对黄陈翼说:“太感谢您了,这次为我叔父提供了如此优质、快速、高效的服务和治疗,也谢谢您理解我们。”
据骨伤科创伤·正骨组主任刘宗超教授介绍:该患者为髋臼粉碎性骨折,为骨伤科常见骨折,该骨折如果处理不当会造成严重的关节功能障碍。近几年,科室接收治疗该类患者约500例以上,已掌握非常丰富的治疗经验。
骨伤科创伤·正骨组简介

骨伤科创伤·正骨组秉承 “中西合璧,筋骨并重,动静结合,医患携手”的理念,以“骨折(手术)微创,中医(正骨)特色,科研创新、人才尽用”为发展模式,开展了四肢骨折、脱位的经典中医治疗(手法复位、撬拨复位、夹板固定)及微创手术(计算机辅助导航下骨盆、髋臼通道螺钉内固定术、闭合复位髓内钉内固定技术、微创钢板置入内固定技术等),尤其针对四肢开放性骨折、骨感染、骨不连等棘手疑难病例有独到见解,开展了骨诱导膜技术(Masquelet) 、骨搬运技术、带血管蒂肌骨瓣移植术、大段骨缺损3D打印假体及同种异体骨移植术等治疗手段;近几年科室紧跟科技发展步伐,将牵引架辅助顺势牵引技术、3D打印技术,计算机辅助导航技术等精准医学技术应用于创伤骨科领域,减小手术创伤、提高疾患疗效、缩短住院时间、节省治疗费用。
住院部地址:第一住院大楼9楼、10楼
咨询电话:0830-3162209





(来源:西南医科大学附属中医医院)
编辑:李永鑫
关注川南在线网微信公众号
长按或扫描二维码 ,获取更多最新资讯
其他