川南在线 发布时间:2023-04-20
为提升患者就医体验,泸州福欣医院经过充分筹备、严格调试和技术培训后,引进超导大孔径1.5T磁共振设备正式投入使用,大幅提升了我院医疗检查和诊断水平。

磁共振的适用范围:磁共振可以检查脑部、脊髓、关节、软骨、软组织、腹部等部位。
脑部病变:如脑梗塞,脑出血,脑动,静脉畸形,脑血管畸形,脑部肿瘤,脑积水。
脊髓病变:脊髓肿瘤,脊髓损伤,颈椎病,腰椎退行性变,腰椎间盘突出。
四肢关节病变:关节软骨退变,关节周围肿瘤,软组织损伤,软组织病变,各种骨折。
腹部脏器:肝脏、胆囊、胰腺、肾脏,膀胱、前列腺等部位的病变。
普通磁共振和大孔径核磁共振有哪些区别呢?

大孔径磁共振孔径为71CM,常规孔径为60CM。

大孔径磁共振具备不可或缺的临床优势,及非凡的临床检查价值:
1、 神经成像
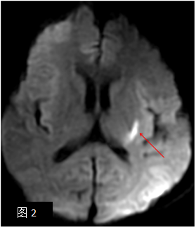
病例:急性脑血管狭窄、梗塞,男性,66岁,突发失语、左侧面瘫6小时。图1:磁共振脑血管成像(MRA)显示左侧大脑中动脉狭窄,磁共振脑功能成像-弥散成像(DWI)清晰示左侧基底节区高信号脑梗塞病灶(箭头)。


大孔径的超大空间保证患者在扫描时能够完全放松,减少躁动引起的伪影,避免患者不配合导致的检查失败。在神经功能成像方面,更重要的是不会令MR信号受到精神紧张等情绪刺激的影响,以真正反映人体机能在日常环境下的实际状态;同时,超大空间还能够有效减小噪音的声压水平,消除声音队对于人体大脑组织活动的不良干扰,获得更加准确可观的扫描数据。
2、 脊柱成像
病例:腰椎间盘变性、突出,男性,56岁,反复腰痛伴双下肢放射痛1年余。磁共振脊柱(腰椎)成像清晰显示5/S1椎间盘变性、突出(箭头)。

对于脊柱侧突的患者,大孔径能够容纳患者变形的身体。特别对于脊柱手术或脊柱外伤的患者,通常不能平卧,大孔径允许患者以侧卧位的方式进入扫描通道内。

小孔径会卡住无法进入

大孔径空间舒适
3、 腹部成像
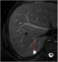
病例:肝囊肿,女性,40岁,B超体检发现肝占位,磁共振腹部成像清晰显示肝内占位病灶为囊肿(箭头)。

除了可以为超级肥胖的患者提供足够的检查空间外,大孔径甚至可以为这些患者提供侧方摆位!这可以解决他们仰卧呼吸困难的问题。
4、 盆腔成像
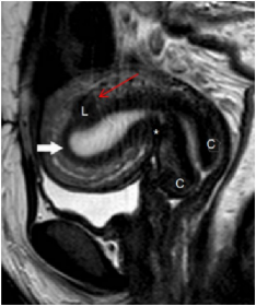
病例:子宫肌瘤,女性,42岁,痛经10余年。磁共振盆腔成像清晰显示子宫肌瘤(箭头示L)。

对于妊娠的妇女,大孔径磁共振在欧美已经为首选检查,能够令患者在髋关节屈曲的舒适体位上实现精准的胎儿成像,保证不会对孕妇的心肺功能带来压力。此外,妇科疾病或男性生殖系统疾病通常导致患者盆腔疼痛,扫描时髋关节无法长时间伸展,大孔径的超大空间允许患者在扫描过程中始终保持髋关节屈曲的状态,在最大程度上提升了患者的舒适感和配合度。

小孔径压迫到心肺

大孔径空间绰绰有余
5、骨肌成像
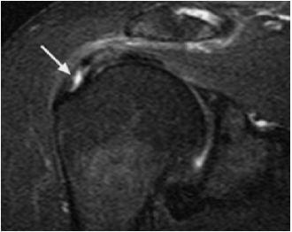
病例:肩袖损伤,男性,50岁,右肩部疼痛2余月。磁共振肩关节成像清晰显示肩袖(冈上肌肌腱)损伤(箭头)。

以腕关节检查为例,患者可以灵活的摆位将腕关节置于体侧,在患者舒适的同时更能获得高质量的图像。反观60cm孔径,患者不得不将手放置在头顶甚至采用俯卧位的方式,并坚持15分钟!这实在是令人难以忍受。

小孔径只能俯卧将手置于头部

大孔径可以将手放于体侧
6、特殊患者
大孔径还为关节动态成像提供了可能,有助于医生更好的评价关节的运动功能。大孔径的超大空间允许患者以斜躺的方式进入扫描孔径。这对于危重患者、呼吸困难患者、生命体征不稳定的患者具有重要意义,能够在很大程度上保证患者的安全,并利于在紧急情况下进行抢救工作。
随着磁共振近年来的普及和新技术的发展,大孔径磁共振的优势应用到了更多的领域。甚至因为成熟大孔径技术的出现,使得新的临床检查、治疗方法得以成为可能。
7、高端体检
由于优异的软组织分辨率和多样的成像序列,磁共振越来越多成为高端体检所采用的设备。尤其是配置一体化线圈技术的孔径磁共振,对于肿瘤筛查等早期检查具有其他检查方式难以企及的优势。更重要的是,这保证了VIP检查者的舒适感受。
8、肿瘤筛查
由于超大孔径具备足够充分的扫描空间,加上一体化线圈的全身成像方案,磁共振设备可以在短时间内完成全身肿瘤筛查扫描,并与解剖图像相融合,以早期发现肿瘤原发病灶、转移及淋巴结的侵及。
9、放疗
磁共振有着先天的软组织对比优势及多参数成像能力,可以更加清晰而准确的反应肿瘤组织的结构及特点,在肿瘤疾病的成像上有着其他影像产品无可匹敌的优势。随着科技的进步、精确治疗的临床需求,磁共振在肿瘤放疗计划制定中的优势很快被肿瘤放疗学界认可,也正在改变着传统的肿瘤放疗计划手段。 与此同时,大孔径技术的引入,让整个放疗定位过程得以顺利进行 。大孔径磁共振是放疗定位的第一选择。
10、外科手术
近年来神经外科医生尝试在手术过程中运用影像检查设备来监控手术的方案和执行,由于磁共振是神经系统检查的“金标准”,神经术中磁共振系统应运而生。该系统的主体即大孔径磁共振,用以获得足够空间导航和定位,为外科手术提供了无可比拟的准确定位,并可通过多种功能成像序列更好地了解患者病变及周围组织的情况。
医学影像科简介
泸州福欣医院医学影像科由放射组和超声组构成,科室现有医生和技术人员共16人,其中高级职称1人,中级职称4人,初级职称4人。 科室影像检查设备先进,包括德国西门子高端螺旋CT 1台,数字化X线摄影系统(DR)1台,1.5T磁共振(MRI)1台,全数字彩色多普勒超声诊断仪2台,高清全数字四维彩超诊断仪1台,高端远程心电图机2台,动态心电图机2台,经颅多普勒超声诊断仪1台。
放射组开展项目:一、X线数字化摄影(DR):全身各部位的数字X线摄影,包括头颅、五官、脊柱、腹部、骨盆、四肢及关节等,特殊造影检查:食管造影、子宫输卵管造影、“T”管造影、尿路造影检查;二、X线计算机体层扫描(CT):具有辐射剂量低、扫描速度快、图像清晰等优点,适用于全身各部位常规CT扫描,各部位CT增强检查、全身各骨关节三维成象、全身各部位CT血管成象(CTA);三、1.5T磁共振(MRI):具有扫描速度快,无辐射、图像清晰、分辨度高等优点,无需打造影剂可血管成像,常规开展颅脑、颈部、胸腹部、四肢及关节、脊柱等平扫和增强检查,磁共振血管成像(MRA),磁共振水成像(MRCP、MRU),磁共振波谱分析(MRSI)。

超声组开展项目:
一、常规检查项目:各种心脏疾病、外周血管疾病、小器官、乳腺、甲状腺、腹部脏器、经阴道超声检查、超声引导穿刺等,
二、特色小儿超声检查:先天性心脏病、肠套叠梗阻、肠梗阻、先天性斜颈等病变。
三、特色产科超声检查。
四、心电图、动态心电图、经颅多普勒等。

李睿
主治医师
李睿,主治医师,大学本科学历,毕业于西南医科大学影像专业,曾在西南医科大学附属中医院放射科从事DR、CT、核磁共振诊断工作数十年,熟练掌握各系统常见病及疑难病的影像诊断和鉴别诊断。

袁兴群
主管技师
袁兴群,执业助理医师,党员,大学本科学历,毕业于西南医科大学影像专业,曾在西南医科大学附属中医院放射科工作数年,经验丰富,工作期间曾在华西医院放射科进修学习数月,熟练掌握DR、CT、MRI各种扫描技术以及各种图像后处理技术。

刘钊
技士
刘钊,技士,毕业于四川卫生康复职业学院影像技术专业,主要负责DR、CT、MR的各种扫描技术以及各种图像后处理技术。

李佳滨
技士
李佳滨,技士,毕业于西南医科大学卫生学校影像技术专业,主要负责DR、CT、MR的各种扫描技术以及各种图像后处理技术。
价格:平扫720元/部位、增强 760元/部位
影像科咨询电话:0830-8509553 18008203553
(来源:泸州福欣医院)
编辑:李永鑫
关注川南在线网微信公众号
长按或扫描二维码 ,获取更多最新资讯
其他