川南在线 发布时间:2023-04-20
近日,西南医科大学附属医院骨与关节外科成功开展膝关节外侧单髁置换术,这标志医院的该项技术从内侧向外侧延伸单一向多元转变。

57岁的张女士右膝关节疼痛有3个多月,几天前,因膝盖疼痛加重,平地行走时也感觉困难,疼痛导致右膝不敢完全负重,走路呈现明显的跛行姿态。
通过研磨试验(+),X光片及MRI检查,提示右膝关节外侧单间室骨关节炎,K-L分级Ⅲ级,有手术指征。经科室各位专家讨论后,排除手术禁忌症,在骨与关节外科主任李忠教授的指导下,骨科副主任尹一然副教授团队为患者实施了“右膝外侧人工单髁置换术”(LUKA),尽全力为张女士解除病痛的折磨。


要知道,一个单髁置换手术要想达到理想的手术治疗效果并不简单,这与假体的大小、方向和松紧度密切相关,其中任何一点出现差池,结果都会差强人意。为此,团队在术前和术中进行了精确的设计和测量,制定周密手术方案,为病人实施手术,帮助膝关节“补牙”。
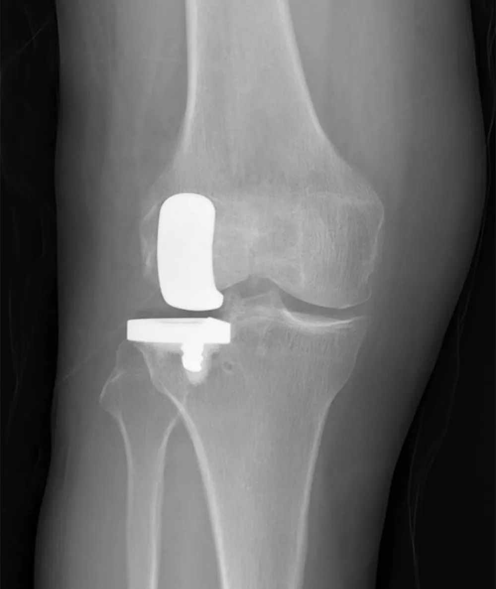
手术进行了1个小时,很顺利。术后X光片显示,假体大小选择合适,假体位置精准植入,术后功能恢复良好。术后第一天,张女士的右膝关节屈曲达到120°以上,不用扶拐就能行走。


术后复查X光片

术后功能照,屈曲达120°以上

膝关节外侧单髁置换适应局限于外侧单间室的骨关节炎,尹一然副教授介绍,作为一种保膝治疗手段,相对于全膝关节置换而言是一种微创术式。
对膝关节内侧或外侧间室进行表面置换,用以替代膝关节胫、股骨损伤的软骨,被称为膝关节置换中的“补牙”技术,也可以理解为只换“一半关节”。该技术不需要去除膝关节内的前后交叉韧带,最大限度的保留了患者的本体感觉和关节功能。

据统计,外侧单间室骨关节炎发病率仅占所有膝关节骨关节炎的7-10%,在所有的膝关节单髁置换术中,外侧单髁置换仅占所有单髁置换的5-10%。外侧单间室骨关节炎大部分病因有:退变、创伤、外侧半月板病变(尤其是切除后)、外侧股骨外侧髁骨坏死(SONK)等等。
便民小贴士

李忠
骨科副主任
骨与关节外科主任
教授、博士
博士/硕士研究生导师
从事临床、教学、科研工作29年,主要从事骨关节损伤修复与重建的临床与基础研究工作,具有扎实的医学理论基础知识及较丰富的临床工作经验。对骨关节科复杂、疑难病症及急、重症病例有丰富的处理经验。

谭美云
骨与关节外科副主任
博士,教授
硕士研究生导师
主要以人工髋关节及膝关节置换为重点,尤其擅长股骨头缺血坏死,股骨颈骨折不愈合,髋关节发育不良,强直性脊柱炎髋部病变,髋、膝骨关节炎,髋、膝类风湿关节炎,髋、膝创伤性关节炎等疾病的外科治疗。

尹一然
骨科副主任
副主任医师
硕士研究生导师
从事临床、教学、科研工作17年,擅长关节疾病、运动损伤及骨肿瘤的诊断和治疗,有丰富的关节置换、股骨头坏死保髋治疗的经验。

陈歌
博士
主任医师
硕士研究生导师
擅长关节疾病及骨肿瘤的诊断和治疗。在川南地区率先开展3D打印多孔钽金属材料修复各种骨缺损。
(来源:健康西南 文/邹龙飞 图/骨与关节外科)
编辑:李永鑫
关注川南在线网微信公众号
长按或扫描二维码 ,获取更多最新资讯
其他