川南在线 发布时间:2023-07-22
近日,合江县中医医院骨伤科成功为一患者开展左肩锁关节脱位袢钢板复位内固定术。
该患者因外伤致左肩部疼痛、活动受限,左肩锁关节压痛明显,肩关节活动受限,琴键征(+)。入院后检查提示,左肩锁关节脱位(RockwoodⅢ型)。


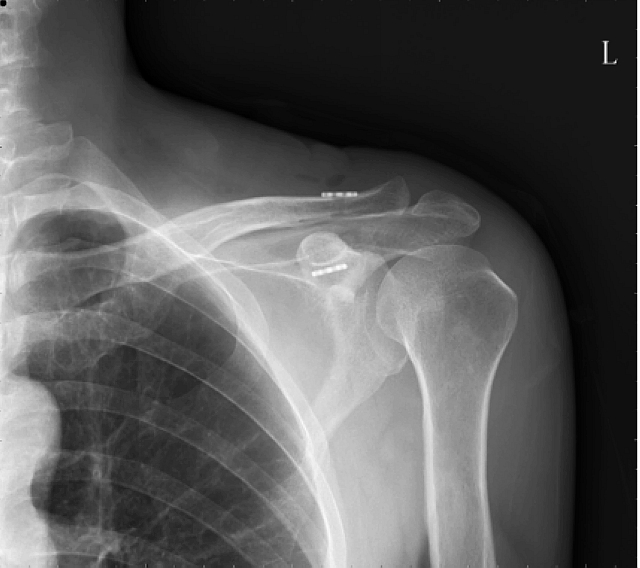
术前影像
如果采用常规手术——锁骨钩钢板复位固定,这种方法创伤较大,且需要在术后6~12个月内二次手术取出钢板,术后可能出现肩部疼痛和钢板取出后脱位复发。
经骨伤科团队术前病例讨论后,拟行可调节带袢钢板内固定术,可减少手术创伤、恢复快。

在充分与患者及家属沟通并征得同意后,由科主任陈宝华主刀,手术顺利,术中透视复位效果良好,达到预期效果。术后患者左肩部疼痛感轻微,左肩关节可基本正常活动,功能较术前有明显改善。

术中C臂透视

可调节带袢钢板有限切开内固定术后

术后切口照片
科普小知识
什么是肩锁关节脱位?
肩锁关节脱位是临床常见肩关节损伤,可因直接暴力或间接暴力而引起脱位,肩锁关节部出现畸形移位,对患者的肩锁关节运动及功能造成较大影响,从外观上看,多数患者锁骨远端 “翘”起来了。

而可调节带袢钢板,是目前比较新颖的一种微创手术方式,通过重建喙锁韧带,最大程度地恢复喙突和锁骨间连接的生理特性。与传统手术相比,具有较多优点!
可调节带袢钢板的优点?
1、更符合人体生物力学、更解剖性的固定、柔性固定;
2、创伤小(两条长约1.5cm切口,传统切口6cm左右)、并发症少、痛苦小、恢复时间短;
3、无需二次手术取出内固定物;
4、同样也适用于锁骨远端的骨折内固定。

传统锁骨钩钢板切开复位内固定术(需二次行内固定物取除)。
陈宝华介绍,肩锁关节脱位是临床常见肩关节损伤之一,占肩部脱位的12%,肩锁关节对盂肱关节和胸锁关节起到了协同作用,一旦损失对肩部影响较大。
治疗肩锁关节脱位的手术方法有张力带、锁骨钩钢板、缝合锚钉、Bosworth螺钉、可调节带袢钢板等。其中微创植入可调节带袢钢板是创伤骨科的新术式,它保留了部分肩锁关节功能及该关节的微动功能,且钛合金材质,生物相容性较好,不影响CT或MRI检查,可长期存留体内,避免了二次手术的痛苦及医疗费用,可以做到创伤小、恢复快、功能好,患者更容易接受。
近年来,医院骨伤科团队已成功开展多例可调节袢钛板固定治疗肩锁关节脱位的手术,患者术后恢复良好。
陈宝华简介

骨伤科主任,主治医师,成都医学院临床专业毕业。中国医疗保健国际交流促进会骨科分会足踝外科组委员,四川省中医骨科专委会肩肘学组委员,泸州市运动医疗专委会委员,泸州市中西医结合老年骨科专委会委员,曾多次到四川省骨科医院、西南医科大学附属中医医院进修学习,现主要从事骨伤科工作。具有丰富的临床经验,熟练掌握骨科常见病和疑难病的诊断和治疗。擅长关节、脊柱、创伤、运动医学等疾病的诊治。特别擅长骨关节微创手术,髋、膝关节置换手术。
坐诊地点:
门诊:医院门诊部一楼专科门诊骨伤科
住院:医院住院部外科大楼七楼骨伤科
电话:18008248600
蒋伟简介

中西医结合医师,本科学历,毕业于贵阳中医学院中西医结合专业,曾在佛山市中医医院进修学习,已完成住院医师规范化培训(骨科);具有扎实专科理论知识和丰富临床经验。擅长将传统医学、现代医学相结合并充分应用于临床,以及手术治疗脊柱及四肢骨折、骨病,尤其擅长足踝、肘、肩膝关节镜微创治疗,同时运用正骨八法等中医特色手法、中药舒经通络、强筋健骨、活血化瘀等中医中药保守治疗颈椎病、腰椎间盘突出症、膝骨性关节炎等。
坐诊地点:
门诊:医院门诊部一楼专科门诊骨伤科
住院:医院住院部外科大楼七楼骨伤科
电话:17781018582
(来源:合江县中医医院)
编辑:邱果
关注川南在线网微信公众号
长按或扫描二维码 ,获取更多最新资讯
其他