川南在线 发布时间:2023-07-25
80岁的严大爷,一年前体检时发现右肺上叶有个结节,手术切除后,病检结果提示为侵袭性大B细胞淋巴瘤,需进行化疗。
“不不不,我不化疗,恶心、呕吐、拉肚子、脱发……想到都难受。”听到要化疗,严大爷因害怕化疗的副作用,果断放弃。
今年5月,严大爷发现左侧颈部淋巴结肿大,约有鹌鹑蛋大小,摸起来硬硬的,偶尔会疼痛,而且在逐渐长大。于是找到了西南医科大学附属中医医院肿瘤·血液病科(城北病区)副主任李静教授,在李静的建议下进行住院治疗。

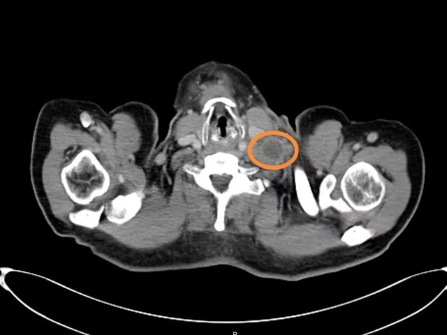
入院后,通过颅脑+颈部+胸部+全腹部增强CT检查,结果提示:左侧颈根部软组织肿块,最大截面大小约为3.4cm*3.3cm,后下纵隔、肝胃间隙、胃贲门周围软组织结节及肿块、部分融合,纵隔、腹膜后、盆腔左侧淋巴结肿大,脾内、双肺多个小结节。结合严大爷病史,考虑为淋巴瘤伴转移可能性较大。
为了进一步明确诊断,李静为严大爷实施了骨髓穿刺活检。结合严大爷病检、骨髓涂片、活检、流式、免疫组化等辅助检查结果,最终诊断为侵袭性大B细胞淋巴瘤(IV期 淋巴瘤的预后分级评分中高危)。

经廖大忠主任、李静副主任与严大爷沟通后,排除靶向+化疗绝对禁忌症,为严大爷制定了R-miniCHOP的治疗方案,这下严大爷不得不硬着头皮接受治疗。
1周期化疗后,严大爷感觉颈部肿大淋巴结疼痛减轻,包块明显缩小,且靶向+化疗无不良反应,耐受性好。“没有像他们说得那么痛苦呢。”严大爷说到。
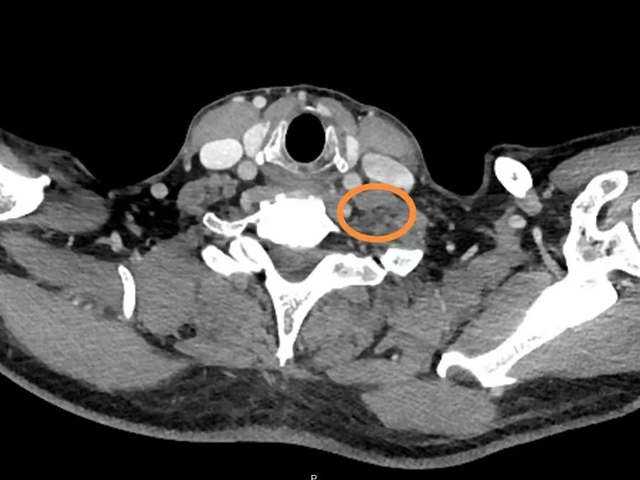
2周期化疗后,复查CT左侧颈根部软组织肿块,最大截面大小约为2.4cm*2.2cm。与上次检查结果比较,颈、胸、腹部淋巴结均有缩小,左侧胸腔积液减少,双肺结节有明显缩小,部分已被吸收。

两个周期的化疗,严大爷完全打消了之前的顾虑,再也不担心化疗可能会引起的副作用了,而是积极配合治疗。现在已经完全摸不到颈部淋巴结了,正在进行第四周期的化疗。

治疗前

治疗后

李静
教授
中西医结合主任医师
肿瘤·血液病科(城北病区)副主任
中西医结合学院留学生教研室副主任,中华中医药学会血液专委会青年委员,四川省医师协会肿瘤专委会委员,四川省中医药学会肿瘤专委会委员等多项学会任职。2016年至2017年在美国休斯敦贝勒医学院访问留学。对肺癌,乳腺癌,食管癌,鼻咽癌,肝癌,结直肠癌,前列腺癌及白血病,淋巴瘤,多发性骨髓瘤等恶性肿瘤及血液系统疾病的综合治疗有深入了解,尤其在中医药治疗方面有独特的见解。发表论文30余篇,其中SCI论文十余篇。
李静副教授介绍:
手术、放疗、化疗是目前肿瘤治疗的三大手段,采用哪种治疗方式需听取肿瘤专科医生的建议,而不能道听途说,以致延误治疗时机;
能否耐受放化疗,肿瘤专科医生会根据病情及身体状况进行评估,而不能凭自己的主观臆断;
目前的放射治疗已经进入精确放疗时代,能有效避免对肿瘤周围正常组织器官的损伤,放疗副作用大大减轻;
并非所有的放、化疗都会出现掉头发、呕吐等副作用,较明显的副作用可通过辅助用药得到有效控制或缓解;
消除对放化疗的恐惧,愉快地接受放化疗是战胜癌症的关键。
肿瘤·血液病科
忠山病区:忠山院区2-4楼
电话:0830-3163725
城北病区:第二住院大楼10、11楼
电话:0830-2512571









(来源:西南医科大学附属中医医院)
编辑:李永鑫
关注川南在线网微信公众号
长按或扫描二维码 ,获取更多最新资讯
其他