川南在线 发布时间:2023-09-03
今年91岁的魏婆婆,10年前体检时发现了肝囊肿,当时肝囊肿不大,也没有症状,所以没有进行特殊处理。
近1年来,魏婆婆反复出现腹部胀痛不适,上腹部还可以摸到有个包块,并且在渐渐增大。女儿放心不下,便带着魏婆婆来到西南医科大学附属中医医院就诊。

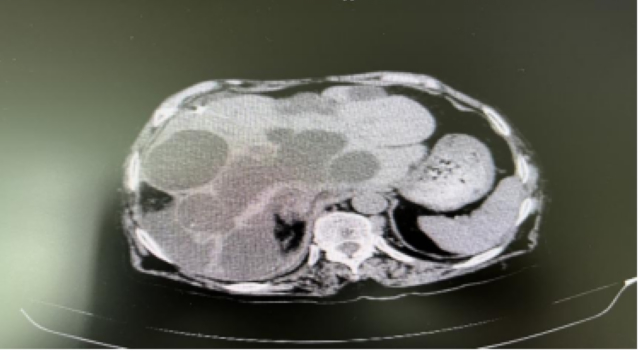
入住肝胆病科后,完善了CT等相关检查,考虑为肝多发囊肿,最大的囊肿约18.5cm×22.9cm×27.2cm。
鉴于魏婆婆除了巨块型肝囊肿,还有很多小的贯通型囊肿,加上年龄大,医生立即为其实施“肝囊肿置管引流术加囊肿固化术”,共引流出囊肿液3900ml,市面上常见的600ml的脉动得装上6瓶半。术后魏婆婆腹胀痛明显缓解。


刘菊容
肝胆病科
副教授,副主任中医师,医学硕士,中国民族医药学会传染病分会理事,四川省中医药学会学术流派传承专业委员会委员,泸州市中西医结合学会肝胆病分会委员。从事医教研工作10余年,擅长中医、中西医结合治疗急慢性肝炎、肝纤维化、肝硬化及其并发症(腹水、出血、肝性脑病等)、肝癌、脂肪肝、酒精性肝病、自身免疫性肝病、胆囊炎、失眠、胃肠道不适等内科疾病,熟练掌握肝穿刺活检、人工肝等诊疗技术。
肝脏是人体内脏中最大的器官,基本的功能包括合成、排泌、贮存、代谢以及生物转化,同时还具有排毒功能,被称为人体的“解毒工厂”。
长在肝脏上的所有囊泡状病变统称为肝囊肿,是一种较常见的肝脏良性疾病,可分为寄生虫性、非寄生虫性和先天遗传性。90%以上的囊肿是先天性肝囊肿,囊肿数量可多可少,体积可大可小,小的只有几毫米,大的可达20多厘米。
肝囊肿大多数没有什么症状,对人体没有什么影响,对肝脏也没有影响,绝大部分都是在体检时发现。肝囊肿属于良性疾病,绝大多数肝囊肿不会发生癌变。

需要做哪些检查
1、首选B超检查,既便宜简单又准确可靠。
2、上腹部CT或者MRI扫描也可以发现肝囊肿。
肝囊肿怎么治疗?
1.绝大多数肝囊肿不需要治疗,定期复查即可。
2.对于<5cm的肝表面囊肿,若没有对周围脏器造成压迫症状,可以观察;若出现压迫症状,如上腹饱胀、疼痛等,则需要治疗。
3.如果肝囊肿直径>5cm,则需要治疗。
小一点的囊肿通过穿刺注入无水酒精,破坏囊肿上皮细胞,使其不再产生水,囊肿也就不会长大了。大的囊肿可通过微创手术治疗。有些囊肿需要切除部分肝脏。
(来源:西南医科大学附属中医医院)
编辑:邱果
关注川南在线网微信公众号
长按或扫描二维码 ,获取更多最新资讯
其他