川南在线 发布时间:2023-10-27
这一位确诊肝癌四年的患者......
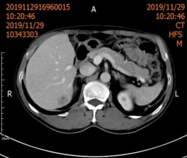
2019年12月3日,66岁的吴先生因“两对半异常10余年,发现肝占位1天”到西南医科大学附属中医医院就诊。
肝胆病科副主任王晓栋副教授接诊后为其完善相关检查后,结果提示:甲胎蛋白17.18ng/ml;腹部CT:肝硬化,肝右后叶低密度影;腹部MR:肝硬化,肝右叶后下段结节灶,考虑肝癌可能性大。


综合吴先生的病史资料,临床诊断为肝癌,根据影像学表现,王晓栋副教授建议吴先生可行手术切除或微创消融治疗,吴先生及家属考虑到年龄、糖尿病等因素,最终决定行“经皮肝脏肿物冷冻消融术”。
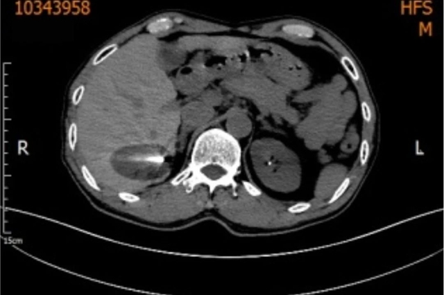
经科室研究讨论后,王晓栋副教授于12月5日为吴先生实施了在CT引导局部麻醉下“肝肿物冷冻(氩氦刀)消融术”。
CT定位引导下,将一根一次性的冷冻消融针,经皮穿刺进入预定靶位后,启动氩氦刀冷冻消融系统。
通入氩气时,产生制冷作用迅速将病变组织整体冷冻至-160℃以下,维持超低温冷冻10分钟,再通入氦气快速升温到零上20℃以上维持2分钟,重复上述冷热循环。


经过两三次的重复,200℃左右温差的极速转换,肿瘤细胞彻底“团灭”最终实现靶区组织坏死,达到了理想的降低肿瘤负荷效果。
手术持续1个半小时过程,中吴先生无任何不适手术很顺利。
术后三天吴大叔就康复出院,定期于肝胆病科门诊复诊,病情一直很稳定。




王晓栋
副教授
副主任医师
肝胆病科副主任
擅长中西医结合治疗各种急慢性肝炎、肝硬化、脂肪肝、肝癌、肝硬化顽固性腹水、反复上消化道出血、肝功能衰竭等。尤其擅长微创治疗肝囊肿、肝脓肿、肝血管瘤等及影像引导下肝肿瘤微波及冷冻微创消融治疗。
城北门诊时间:周一、三下午
肝癌是一种发生于肝脏的恶性肿瘤,包括原发性肝癌和转移性肝癌原发性肝癌,是全球常见恶性肿瘤之一约70%的原发性肝癌患者初诊时即为中晚期,术后5年复发率约为70%肝炎到肝癌只有三步。

肝炎-肝硬化-肝癌
肝脏炎症长期存在或反复发作,就会导致肝纤维化,一部分进展至肝硬化,甚至肝癌。中国目前还是肝炎大国,尤其需要重视。

为什么肝硬化难以发现?肝癌发现就是晚期?
肝脏是一个沉默器官,大部分肝硬化、肝癌患者早期确实没有症状,往往是在体检或随访中发现。除了慢性肝病,有很多不良生活习惯,也在不停地损伤它。
● 长期熬夜造成肝功能损伤;
● 长期酗酒加重肝脏负担;
● 摄入过多脂肪、热量,会增加患脂肪肝的风险;
● 乱吃药或肝炎的病人不遵医嘱自行停药,推动肝病恶化进程。还有一个原因是患者本身没有足够重视肝病,没有做肝病的全程化管理。有些患者平时很少体检,身体不舒服,也觉得不是什么大事,忍忍就好了;或是已经有得了肝炎的,因为不痛不痒、怕麻烦、怕浪费钱等因素,不遵医嘱定期检查。
肝癌消融的治疗方法
目前有多种方法用于治疗肝脏肿瘤,其中局部消融治疗具有创伤小、恢复快等优点。
肝癌消融治疗是借助医学影像技术(超声、CT和MRI)引导,经皮、腹腔镜、开腹或内镜对肿瘤病灶进行靶向定位,局部采用物理或化学的方法杀灭肿瘤组织。
什么是CT引导肝癌冷冻消融?
肝癌的消融治疗和外科手术一样被认为是肝癌根治性的治疗手段之一,它是在CT或者超声的引导下,用一根直径约2mm的消融针经皮肤穿刺至肝脏内的肿瘤位置,利用针尖部位的低温使病变组织快速降温,对细胞造成冰晶损伤、溶质损伤,引起细胞坏死或凋亡,以达到杀伤、遏制肿瘤再生的目的。俗称把肿瘤“冻死”的一项技术。

肝癌冷冻消融治疗有哪些优点?
微创
与传统手术相比,具有微创、痛苦少、安全性高的特点,局麻下完成,恢复快,术后第二天即可下床。
高效
对于早期肝癌,可以达到与外科手术切除相似的效果,可达到肿瘤根治的效果。
精准
精确定位、原位灭活,效果确切。
可重复性
一般情况下肿瘤患者术后复发能够再次手术的机率少之又少,而肿瘤消融技术具有可重复性,仍可能达到肿瘤完全消融的目标。
适应症广
可单独施行,也可与化疗、放疗、介入或手术结合治疗。
哪些患者适合冷冻消融?
(1) 根治性治疗的适应症
①单个肿瘤直径≤5c
②肿瘤结节不超过3个,最大肿瘤直径≤3cm;
③无血管、胆管和邻近器官侵犯以及远处转移。
(2)姑息性治疗的适应症
不能手术切除的直径3-7cm的单发肿瘤或多发肿瘤,可联合TACE以控制肿瘤进展。
术前需要做哪些检查?
虽然肝癌冷冻消融技术是一项微创技术,其创伤性及并发症远远低于手术治疗,但也有一定的适应症和禁忌症。
患者术前仍需要进行全身评估,如血常规、肝肾功能、凝血指标,以及近期的肝脏CT及核磁共振检查。
术后的注意事项
肝癌消融术后一周之内不宜剧烈活动,保持情绪舒畅,心态乐观。
定期复查非常重要,早发现,早治疗,术后1月左右复查肝脏肿瘤标志物、肝脏增强核磁共振或CT、肝功能等。
病情稳定后通常情况下每隔2~3月复查肿瘤标志物、彩超、增强MRI或CT。
肝胆病科简介












科室主要针对慢性病毒性肝炎、肝硬化及其并发症、脂肪性肝病、酒精性肝病、自身免疫性肝病、肝癌及胆囊炎、胆囊术后综合症等肝胆疾病开展中医、中西医结合治疗和研究,主攻病种为肝硬化和原发性肝癌。中医药联合微创技术(肝脏介入、微波消融、冷冻消融等)治疗原发性肝癌、肝硬化顽固性腹水、反复上消化道出血及联合人工肝治疗肝衰竭等疗效显著。研制了愈肝颗粒、参仁活血颗粒、桂黄降脂颗粒、葛黄解酒颗粒、茵陈四苓颗粒、利肝舒颗粒等6种专科制剂。同时开展中药灌肠、艾灸、中药脐疗、中药贴敷等多种中医特色外治疗法。
住院部地址:第三住院大楼24楼
咨询电话:0830-2293885
(来源:西南医科大学附属中医医院)
编辑:游江
关注川南在线网微信公众号
长按或扫描二维码 ,获取更多最新资讯
其他