川南在线 发布时间:2018-09-30
李先生今年58岁,有多年高血压、糖尿病病史,因头昏不适入住泸州市人民医院神经内科。入院后,头颈部CT血管成像显示右侧椎动脉起始部重度狭窄,若不进行积极处理随时有发生脑中风、偏瘫、昏迷等的可能。
经过神经内科全体医生讨论,决定对李先生狭窄的右侧椎动脉进行介入治疗,置入椎动脉支架,恢复血流,预防脑中风的发生。

手术治疗中
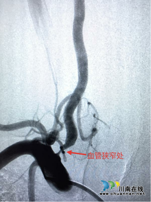
经过精心准备,9月27日,手术如期进行。医生们首先进行脑血管造影,了解狭窄血管的情况,制定手术方案。造影提示:右侧椎动脉起始部位狭窄率约85%。经过准确测量,选用5.0×15mm的椎动脉支架,经过导引导丝的引导,准确将支架置入狭窄血管处,经过扩张、释放,支架准确的将狭窄血管打开,造影显示血流恢复。手术历时1小时左右顺利结束。

支架置入前

支架置入后
介入治疗就是在不开刀暴露病灶的情况下,在血管、皮肤上作直径几毫米的微小通道,或经人体原有的管道,在影像设备(血管造影机、透视机、CT、MR、B超)的引导下,对病灶局部进行检查、治疗的创伤最小的治疗方法。神经介入技术是血管内介入技术中的一种,其最大优点是创伤小、疗效确切、并发症少,具有其它诊治手段无可比拟的优势。
泸州市人民医院神经内科自2017年7月开展脑血管病介入诊疗以来,完成了数十例脑血管造影及颈动脉支架置入、椎动脉支架置入术,未发生一例事故。科室将通过引进、培养等方式壮大神经介入医生队伍,更好的开展脑血管病介入诊疗业务,更好的服务群众。(朱木林)
编辑:温华谯
关注川南在线网微信公众号
长按或扫描二维码 ,获取更多最新资讯
其他