川南在线 发布时间:2024-03-22
感冒这事儿对大家来说再熟悉不过了,相比别的疾病,人们往往会忽视感冒认为是小问题。
但感冒都是小问题吗?也不一定,泸州的廖女士对此深有体会。
肺都白了!罪魁祸首竟是它
最近感冒的人很多,41岁的廖女士也感觉自己有点发烧、咳嗽。不过,她并没有过多在意,只觉得是一场“小感冒”,便在当地卫生院接受了常规的抗感冒治疗。
然而随着时间的推移,廖女士的咳嗽症状非但不见好转,甚至进一步恶化,演变成呼吸急促,影像学检查发现肺部也出现了异常。
意识到不对劲的家属,赶紧将廖女士送到泸州市人民医院呼吸内科住院治疗,入院后廖女士病情仍在恶化,发生呼吸困难,并随之出现大汗淋漓、面色发绀、重度急性呼吸窘迫综合征(ARDS),情况十分危急。
面对患者突发的危情,我院重症医学科(ICU)紧急会诊,在家属同意后第一时间收治入重症医学科接受进一步治疗。入ICU后,医护团队迅速行气管插管机械通气维持患者生命体征,再次完善了胸部CT检查,立即行床旁纤维支气管镜检查及肺泡灌洗,抽取肺泡灌洗液进行病原微生物宏基因(mNGS)检测。

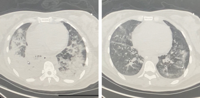
↑CT检查提示患者双肺大面积炎症,白色部分已丧失正常气体交换功能
CT提示患者双肺重度肺炎,大面积弥漫性渗出,呈“大白肺”貌。
同时基因检测也进一步明确了患者患病的罪魁祸首——鹦鹉热衣原体。
鹦鹉热衣原体(Chlamydia psittaci)所引发的肺炎是一种动物源性传染病。
通常表现为高热、畏寒、头痛肌痛、咳嗽和肺部浸润性病变等特征,与感冒症状颇为相似。
由于其病原体不属于常见的细菌或病毒,所以治疗感冒常用的抗生素对其疗效不佳。
精准施救!从阎王爷手里捞人
在明确了诊断、评估病情后,重症医学科医护团队制定了治疗方案。
一方面针对性地调整抗感染药物,力求在最短时间内控制住肺部感染;另一方面实施俯卧位机械通气,对患者的肺采取肺保护策略,改善患者的氧合。
据重症医学科王贵强主任介绍,俯卧位机械通气是治疗中重度呼吸窘迫综合征的重要手段之一。
但同时,俯卧位机械通气的实行也给重症医学科医护团队的工作带来了更高的挑战,由于患者需要长时间处于俯卧位,对患者的疗效监测、压疮预防、管道管理、肢体功能保护等方面都提出了更高的要求。

就拿给患者翻身来说,每次翻身都需要五六位医护人员协同完成,而且每两小时都要对受压部位进行调整。
最终,医护人员的不懈努力迎来了良好的治疗效果。
在经过持续五天的俯卧位通气治疗后,廖女士的病情有了显著改善,感染指标下降的同时,复查CT也提示“大白肺”重新变为“黑肺”,肺功能得以恢复,患者顺利脱离呼吸机拔除气管插管。

病情稳定后,廖女士很快从重症医学科转出至普通病房。
在出院的前一天,廖女士的爱人和姐姐特意回了一趟重症医学科,将一面寄托着感谢之情的锦旗郑重地交到医护人员手中。

他们说,廖女士在ICU治疗的这些日子里,他们无时无刻不在牵挂着亲人的情况,这里的医生护士每天耐心地向他们解释廖女士病情的变化,得知廖女士的情况一天天好转,他们悬着的心才慢慢放下。
这里虽然不能让家属时时陪护着患者,但是透过这道大门,他们感受到了重塑生命的希望之光!
泸州市人民医院·重症医学科
泸州市人民医院重症医学科为全院危急重症患者的救治中心,目前已发展为四川省临床重点专科在建单位、泸州市医学重点专科,荣获泸州市“工人先锋号”称号。
科室应用现代化的医疗设施和复杂的临床监测技术,专门对急危重症与大手术患者进行精细监测,强有力的呼吸支持、循环支持、营养支持、血液净化等治疗,全程专人精心护理。科室坚持“以病人为中心,只要有一线希望,我们尽百倍努力”的精神,成功挽救了危重病人几千例,其中包括大量以往不能救治、救治难度极大的急危重症患者,积累了丰富的危重病人抢救经验,得到了患者及家属的一致好评。
科室24小时服务电话:0830-2282161
(来源:泸州市人民医院)
编辑:游江
关注川南在线网微信公众号
长按或扫描二维码 ,获取更多最新资讯
其他