川南在线 发布时间:2024-06-23
清晨,41岁的赵大哥像往常一样在工地作业,殊不知意外即将来临。就在赵大哥搬运几块大石头时,石头从上边滑落,狠狠砸中他左手拇指,工友紧急将他送往当地医院救治。
医生接诊后,见赵大哥伤势较重,为其进行了简单包扎后,建议转入上级医院继续治疗。于是赵大哥来到了西南医科大学附属中医医院骨伤科手外·儿骨·烧伤整形组。




入院后,陈孝均为赵大哥进行了查体,只见赵大哥的左手拇指指间关节处皮肤、肌腱、骨关节、血管神经等缺损,仅有桡侧有少许皮肤组织相连,创缘间骨断端外露,远端指体摇摇欲坠、残缺不堪,血肉模糊的肉中还夹杂了不少泥沙。
陈孝均与患者及家属充分沟通后,立即为赵大哥实施了第一次手术:创口清创,残缺骨骼临时固定,骨缺损区用抗生素骨水泥临时旷置。
据陈孝均介绍,骨水泥就是骨粘固剂,是一种用于骨科手术的医用材料,由于它的部分物理性质以及凝固后外观和性状颇像建筑、装修用的白水泥而得名,可以起到支撑断裂的骨头和保护创面的作用。



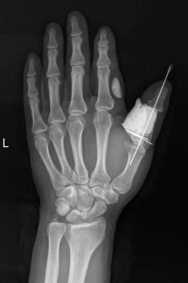
十多天后,赵大哥拇指伤口没有感染,可以实施第二次手术。由于赵大哥受伤的拇指骨骼、血管神经、皮肤软组织缺损,要想获得更理想的预后效果,必须接骨、续经、补肉。
骨伤科手外·儿骨·烧伤整形组副主任(主持工作)陈孝均组织团队讨论后,决定行“左手拇指复合组织重建”,即在赵大哥左侧腹股沟处切除7×5×3cm复合骨皮瓣,将皮瓣动脉与鼻烟窝桡动脉呈端侧吻合,皮瓣静脉与皮下静脉吻合。


陈孝均介绍:“截取出的髂骨接到拇指上会在一定程度被吸收,所以我们骨块打磨比正常拇指骨块略粗,避免被吸收后的骨块太细容易骨折。另外,髂骨瓣的供区对患者没有太多的影响,所以不必太担心。”
术后一个月,赵大哥来医院复查,恢复得很好。再过段时间,便可以取出钢钉,进行康复训练了。


陈孝均
副教授 博士
骨伤科手外·儿骨·烧伤整形组副主任(主持工作)

硕士研究生导师,擅长四肢毁损的功能重建及儿童、成人创伤等骨科疾病的诊治。
(来源:西南医科大学附属中医医院)
编辑:肖昂
关注川南在线网微信公众号
长按或扫描二维码 ,获取更多最新资讯
其他