川南在线 发布时间:2025-07-30
半年前,45岁的王先生突然发现,自己的人生被按下了“慢放键”——双下肢麻木、乏力,走几步就腿软打颤;上楼梯时,双腿像灌了铅一样沉重;更让他恐慌的是,胸口像被一条无形的带子紧紧勒住,连深呼吸都变得困难……慢慢地,下肢力量越来越弱,出门需要轮椅。

作为家中的顶梁柱,王先生的病情让全家人陷入焦虑。于是他从宜宾出发来到西南医科大学附属中医院骨伤科脊柱·肿瘤一组就诊。戚力升主治医师详细询问了病史、结合查体和影像学检查,确诊王先生患了脊髓型颈椎病——一种因颈椎椎间盘突出或骨质增生压迫脊髓,导致四肢麻木、行走障碍甚至瘫痪的严重疾病。


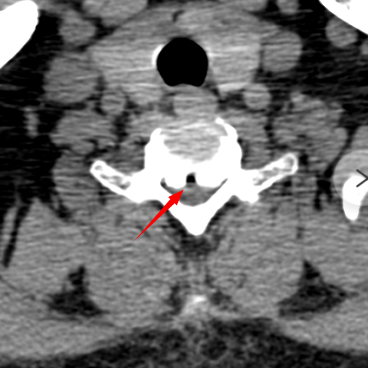
颈椎CT显示C6/7平面增生的骨赘占据椎管,压迫脊髓


颈椎MRI提示C6-C7平面脊髓受压、变性
“再拖延下去,可能连生活自理都成问题……”经过戚力升医生的耐心解释,王先生和家人决定接受手术治疗。谢明忠副主任医师和戚力升主治医师为王先生制定了详细的手术方案,并顺利实施“颈6椎体次全切+人工椎体椎间植骨融合内固定术”,成功解除了脊髓的压迫。

术中解除脊髓压迫

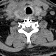
术后CT显示骨赘已彻底切除
术后康复
“手术很顺利,但术后康复才是关键。”戚力升主治医师谈到。在医护团队的指导下,王先生开始了系统的康复训练:从卧床时的肢体活动,到佩戴支具下地站立,再到逐步恢复行走……每一小步的成功,都凝聚着患者的坚持,也托举着重获自由的希望。
术后半个月,王先生迎来了最激动的时刻——他佩戴支具,在助行器的帮助下独自走出了病房。“那种感觉,就像从黑暗中突然看到了光。”他笑着说。更让他惊喜的是,胸口的“束带感”消失了,双腿的麻木感也明显减轻。
戚力升主治医师介绍,脊髓型颈椎病多见于中老年人,初期症状可能仅为颈部不适或手指麻木无力,但若出现行走不稳、踩棉花感、双下肢无力、胸部束带感等表现,需立即就医。拖延治疗可能导致不可逆的神经损伤,甚至瘫痪。
脊髓型颈椎病,早诊早治是关键,如果出现以下情况,一定要及时就诊检查!
肌力下降:
患者先出现下肢无力、双腿发紧及抬步沉重感等症状,随后逐渐发展为足踏棉花、行走打飘、跛行、易跌倒、足尖不能离地、步态笨拙以及胸部束带感等。
上肢精细动作障碍:
部分患者可能会出现手指的灵活性大幅下降的情况,在系扣子、拿针线缝补衣物时,可能会明显感到手指不听使唤,另外还可能出现握力下降的情况。
肢体麻木:
常表现为四肢麻木,但有些患者可表现为痛、温觉障碍明显而触觉完全正常。
反射障碍:
如下肢膝反射和跟腱反射可能亢进,而腹壁反射、提睾反射和肛门反射可能减弱或消失,病程后期可能出现髌阵挛、踝阵挛等病理反射。
排便排尿功能障碍:
多在后期出现,初期以尿急、尿频及便秘常见,随后可逐渐发展为尿潴留或大小便失禁。

谢明忠
副教授、副主任医师
骨伤科脊柱·肿瘤一组
外科学硕士,从事骨伤科工作10余年,擅长脊柱退变、脊柱创伤等疾病的诊断治疗,并长期从事中西医结合临床本科专业学生的理论、见习教学工作。

戚力升
主治医师
骨伤科脊柱·肿瘤一组
擅长颈椎病、腰椎间盘突出症、腰椎滑脱、颈肩腰腿痛等脊柱退行性疾病,颈椎、腰椎骨折等脊柱创伤、脊柱结核、脊柱肿瘤及脊柱畸形等脊柱疾病的诊治。
(来源:西南医科大学附属中医医院)
编辑:李永鑫
关注川南在线网微信公众号
长按或扫描二维码 ,获取更多最新资讯
其他