川南在线 发布时间:2023-07-15
“谢谢你们,谢谢骨伤科创伤·正骨组,要是没你们,我真不敢想象……”
2023年2月8日,泸州19岁的小徐驾驶摩托车突发车祸,导致右下肢严重损伤,随即意识丧失,大量出血,即刻送往西南医科大学附属中医医院骨伤科创伤·正骨组抢救。
骨断筋离,血肉模糊
医院迅速开通绿色通道,紧急完善相关检查,通过输血扩容进行抢救。
小徐右腿前侧及内侧肌群
渗血严重,大段骨外露,污染严重
小腿冰冷,麻木缺血
下肢面临极高的截肢风险
另外还合并颅脑损伤,胸腹部损伤,骨盆髋臼骨折等多发伤,出现失血性休克。
骨伤科创伤·正骨组迅速组织
黄陈翼、王振龙等
进行团队讨论,制定个体化手术方案

一期手术,保肢护全!
“绝不放过任何一丝保肢希望。”
黄陈翼副教授考虑:“19岁的花样年华,绝不能让他在轮椅上度过。”
精准快速分析后
骨伤科创伤·正骨组
全力为伤者小徐行保肢手术
历时3小时,在急诊科、麻醉科、手术室等多学科密切配合下,以最短的时间,黄陈翼、刘世贵、陈靖文等手术团队为小徐急诊进行了一期保肢手术“右下肢开放性损伤清创血管神经肌腱探查修复+骨折外固定架固定+抗生素骨水泥植入术”。
随着支离破碎的骨头被复位、固定
原本苍白的右脚逐渐恢复血色
手术室的所有人都松了一口气
小徐的右脚,保住了!
但“保肢”仅仅是整场手术的第一步,术后血管堵塞、肌肉坏死、感染、创面修复等任何一种情况的发生都有可能前功尽弃。

“关关难过关关过”
二期手术,植皮覆骨!
术后一周,创面肌肉存活良好,但是因为挫伤极其严重,皮肤出现了坏死,内侧伤口胫骨外露。植皮覆骨尤为关键,这关系到伤者的创面封闭和行走功能恢复。
3月8日,骨伤科创伤·正骨组王振龙副教授成功为小徐开展了扩创+皮瓣移植术,通过清除坏死组织,局部转移皮瓣,覆盖外露的胫骨,整场保肢手术取得了阶段性成功。

中西结合,伤口愈合
术后,付至江、张小敏医师等医生结合隐白、内庭等穴位放血疗法散瘀消肿,活血止痛。
待伤口稳定后,采用针刺运动疗法舒筋通络,化瘀生肌。
整个治疗期间,配合关节传统松解技术、手指点穴等预防邻近关节僵硬、肌肉萎缩。
同时,根据小徐损伤病因,采用先“消”后“补”的个体化中药内服方案,急性期逐瘀通经,中后期补气生血、养血柔筋、续筋接骨。
2个月后,小徐的伤口逐渐愈合。

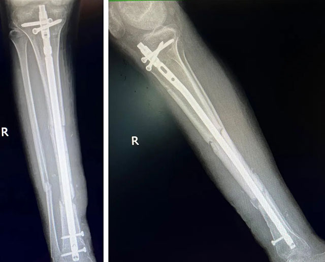
7月4日,骨伤科创伤·正骨组黄陈翼副教授为小徐实施了三期手术:骨折内固定手术。预计3-6个月,骨折愈合,小徐便可恢复行走。
骑摩托“炸街”“飙车”会车毁人亡的
一定要谨慎

黄陈翼
副主任医师,副教授,医学博士,硕士研究生导师,国家中医紧急医学救援队队员,中国创伤救治联盟四川省创伤救治联盟委员,泸州市劳动能力鉴定医疗卫生专家。擅长复杂四肢/骨盆/髋臼骨折的手术治疗,陈旧性四肢骨折骨不连的翻修治疗

王振龙
副主任医师、硕士、高级运营管理师,国家应急救援队队员,擅长四肢、骨盆骨折的微创治疗,四肢功能重建,骨感染的保肢治疗,皮瓣修复等。
骨伤科创伤·正骨组








骨伤科创伤·正骨组秉承 “中西合璧,筋骨并重,动静结合,医患携手”的理念,以“骨折(手术)微创,中医(正骨)特色,科研创新、人才尽用”为发展模式,开展了四肢骨折、脱位的经典中医治疗(手法复位、撬拨复位、夹板固定)及微创手术(计算机辅助导航下骨盆、髋臼通道螺钉内固定术、闭合复位髓内钉内固定技术、微创钢板置入内固定技术等),尤其针对四肢开放性骨折、骨感染、骨不连等棘手疑难病例有独到见解,开展了骨诱导膜技术(Masquelet) 、骨搬运技术、带血管蒂肌骨瓣移植术、大段骨缺损3D打印假体及同种异体骨移植术等治疗手段;近几年科室紧跟科技发展步伐,将牵引架辅助顺势牵引技术、3D打印技术,计算机辅助导航技术等精准医学技术应用于创伤骨科领域,减小手术创伤、提高疾患疗效、缩短住院时间、节省治疗费用。
住院部地址:第一住院大楼9楼、10楼
咨询电话:0830-3162209
(来源:西南医科大学附属中医医院)
编辑:肖昂
关注川南在线网微信公众号
长按或扫描二维码 ,获取更多最新资讯
其他