川南地区综合性网络门户

万象

紧急提醒:打过科兴疫苗的泸州人注意……
06
2023-09

时间: 2023-09-06

 新冠病毒新毒株EG.5变异株,近期引起大家的广泛关注,“二阳”“三阳”的人群也增多。利用新冠疫苗进行诈骗的新型诈骗手段又在网络上出现了!近日,多地已发布紧急提醒!  大概内容是:接种科兴疫苗的人凭接种证明可以领取每人2000元的补助。  ...

泸州警察天台锁紧女子,才发现自己也恐高……
05
2023-09

时间: 2023-09-05

 8月31日,泸州天气炎热。16时许,龙马潭区公安分局小市派出所接市公安局110指挥中心紧急指令:一女子报警称在小市一居民楼想跳楼,但拒绝提供跳楼地点,挂断电话后失联,情况很危险!  接警后,小市派出所综合指挥室迅速启动应急预案,值班所领导...

【围观】男子自制药酒,险些把自己送走
05
2023-09

时间: 2023-09-05

 “试试新泡的药酒咋样呢……”  8月21日晚,于大爷饮用了2杯自制药酒(约100ml ),2小小时后开始出现呕吐、晕厥、小便失禁等症状,家人紧急将他送到当地医院就诊。在治疗期间,患者出现心跳骤停,经心肺复苏等抢救,心跳恢复、意识逐渐恢复,...

【突发】路遇车祸,护士小姐姐挺身而出
03
2023-09

时间: 2023-09-03

8月30日19:40左右,西南医科大学附属中医医院肝胆病科李菊护士从老家回泸州,谁知才开出门10分钟左右,在宜叙高速竹海连接线上,就发现前方路边躺了两个人,旁边有一辆翻倒的摩托车,周围围了几个人在讨论着什么,身为护士的李菊,本能地意识到可能...

为省停车费,泸州一宝马车主仿造邻居车牌!
01
2023-09

时间: 2023-09-01

 车辆的号牌,就像我们的身份证一样,是独一无二的。然而,泸州一宝马车主却有两块车牌群众发现后果断举报了……  群众举报 一宝马车有两块号牌  近日,泸县公安局交通警察大队接到群众举报,称玉蟾街道佳泰路路边停放的一辆宝马车,有两块号牌。  接...

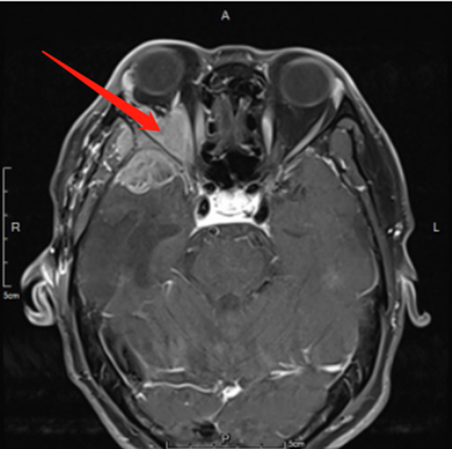
【关注】男子差点摘除眼球,竟因……
01
2023-09

时间: 2023-09-01

 59岁的胡大叔,一年前因为左肺小细胞癌,到附近医院做了“单孔胸腔镜左侧胸腔粘连松解术+左肺上叶结节切除术”,术后又进行了多次放疗,恢复还不错。  2023年5月底,胡大叔出现了右眼胀痛、视物模糊、右眼球外突的症状,便来到了西南医科大学附属...

泸州:挽回损失300万!市监助企再援手
30
2023-08

时间: 2023-08-30

 近日,四川天华股份有限公司向泸州市市场监督管理局赠送“服务热情周到,工作快捷高效”的锦旗,向该局全力保障企业生产经营,助企纾困挽回损失的责任担当表示衷心的感谢。  今年,四川天华股份有限公司部分压力容器达到设计使用年限,按照规定需要提前停...

记者直击:内江还有市民“抢”盐吗——
30
2023-08

时间: 2023-08-30

 由日本核污染水排海事件引起的“抢盐风”,在经历了一个周末后迅速退热。  8月28日,记者从内江市商务局了解到,截至目前,内江各大商超食盐供应已恢复正常,市场秩序平稳。超市货架上摆放着各种品牌的食用盐  当天,记者走访城区商超和居民小区生活...