川南在线 发布时间:2024-01-15
是什么让泸州妈老汉儿失去笑容?是什么让教室里的同学纷纷失踪?

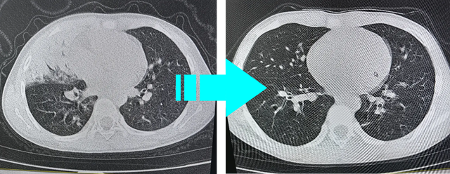
支原体肺炎,在这个冬天刷爆了存在感,很多小朋友一到医院检查,就发现肺部已经出现大面积“肺实变”“肺不张”等并发症,泸州小学生小西(化名)就刚刚经历了一次这样的惊险。她的右肺竟然大部分“失踪”了?

上面这段诊断,用通俗的话来讲就是在CT影像下小西的右中肺由于感染变得一片白茫茫,也就是家长们常说的“白肺了”。

事不宜迟,普儿一科医生给小西用上了支气管镜(划重点,要考)。

马上“洗肺”!支气管镜下医生进行冲洗、吸引、抓取,洗出的肺泡灌洗液送检查。
罪魁祸首病原发现是“耐药的支原体”术后医生及时调整抗感染用药(点击查看往期科普)用药科普丨治疗肺炎支原体“新秀”——多西环素,经过不到2周的综合治疗小西体温稳定,咳嗽症状大部分消失,体力活动不受限,肺功能检查正常。
右肺找到啦!

“洗肺”是个啥操作?“洗肺”是儿科很常见的操作和诊治手段,它通过支气管镜下进行“支气管肺泡灌洗术”。



啥时候,要洗肺,“洗肺”有严格的操作指征,比如患儿出现了肺不张、局部实变,甚至有坏死和痰栓形成等,非常严重的炎症反应就可能需要在支气管镜下进行肺灌洗,清除炎症坏死的组织让气道通畅,同时也可以看到肺部病变的程度。
关于“洗肺” 你关心的事

关于安全性
我国儿童支气管镜检查从1985年就开始了,因此支气管镜并不是什么新鲜玩意儿,而是积累了大量经验的成熟技术。
其严重并发症主要包括,呼吸窘迫、气胸、气道阻塞、出血等。但据以往的研究报道,上述这些严重并发症发生率约万分之三,所以相对是安全的。
关于麻醉

使用的镇静、麻醉药物起效快、代谢快、副作用小,只需几小时就可清醒,并且不会给患儿留下不愉快的操作记忆,更不会影响智力发育,对整个检查过程是无记忆、无痛苦的感觉。
TIPS:对于体重和成年人相近的患儿,或者需要进行配合程度较高的检查和治疗时,出于安全考虑,也会采用全身麻醉。
关于痛苦

支气管镜柔韧性比较好,管径纤细,儿童支气管镜外径从2.2mm到4.9mm不等。
医生会根据患儿年龄和病情选择适合该患儿的支气管镜,因此即使经狭隘的鼻腔也是非常容易通过。
患儿在镇静和麻醉的状态下,不会感觉到痛苦。
还有问题想咨询?欢迎联系我们!
普儿一科 联系方式:
李春艳(副主任、副主任医师):15984011234
蹇丹(主任医师):15908368429
罗忠勇(主治医师):18783047551
普儿一科简介
普儿一科是省甲级重点专科,西部儿科联盟理事单位.西部儿科发展联盟儿童肾脏疾病协同创新联盟理事单位、华西儿肾联盟单位、四川出生缺陷联盟单位、四川省脊髓性肌萎缩症治疗联盟单位。
科室以全科+专科形式开展临床工作:面向所有常见病患儿的同时,发展特色专科。如儿童哮喘标准化门诊,对哮喘患儿进行规范化长期随访、管理。另开设有肾脏病、排尿障碍、遗尿专科门诊,食物激发试验门诊用于诊断食物蛋白介导的小肠结肠炎、神经专科门诊等,开展多项中医技术,如穴位贴敷、中药热熨敷等,鼻负压置换治疗、罕见病脊髓性肌萎缩症的鞘内注射治疗等项目,具有较强的临床服务能力。
门诊时间:周一至周日全天 24小时急诊
(来源:泸州市人民医院)
编辑:游江
关注川南在线网微信公众号
长按或扫描二维码 ,获取更多最新资讯
其他