川南在线 发布时间:2024-01-16
51岁的刘女士10年前发现左侧肺底部有肿块,但因肿块较小,且没有相关不适症状,刘女士也就没有做进一步检查治疗。
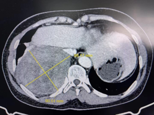
近日,刘女士因“头晕”在当地医院住院治疗,通过胸部增强CT检查发现,右侧肺底肿块已增大至约10cmX8.2cm大小,当地医生建议及时到上级医院进一步诊治。
为寻求进一步治疗,刘女士来到了西南医科大学附属中医医院就诊。胸心外科副主任刘浩副教授会诊后,发现刘女士胸腔巨大占位性病变,继续发展可压迫脊柱、肺及周边众多神经、血管,建议刘女士进行手术治疗。

“我知道自己这个肿瘤,但10来年都没啥症状,所以一直没有手术……”刘女士认为手术风险很大,担心手术带来的一些并发症,一直在犹豫是否接受手术。
“手术风险很大吗,是不是要做很久……”在病情沟通时,刘女士向刘浩副教授问出了自己的担忧。刘浩副教授经过仔细分析病情,认为手术成功切除几率很大,向刘女士详细解释了肿瘤的病理机制、治疗方式等等,终于打消了刘女士的疑虑。

因肿瘤巨大,紧邻周围众多神经、血管……,手术难度高、出血风险较大。
胸心外科团队经过多次讨论,为刘女士制定了详细的手术方案及应急预案。完善术前准备后,刘浩副教授带领胸心外科手术团队为刘女士实施了经右胸纵隔病损切除术。
手术中发现肿瘤大小约13cm*13cm*12cm,紧贴脊柱右侧,与右肺下叶、胸壁严重粘连,稍不注意就可能引发大出血,手术操作难度极大。

刘浩副教授等小心翼翼分离切开纵隔胸膜、游离粘连、分离包块,终于顺利切除肿瘤,用时不到1小时,且出血少于80ml,术后病检结果提示神经鞘瘤。术后,在胸心外科医护人员精心照料下,刘女士顺利康复出院。

刘浩
副教授
胸心外科
副主任医师
胸心外科副主任
西医外科教研室副主任
擅长对肺癌、食管癌、纵隔肿瘤等胸部良恶性肿瘤的规范化及微创治疗及单孔胸腔镜下肺部疾病手术,胸腔镜下纵隔肿瘤切除手术,胸腹腔镜食管癌根治术及胸部外伤的微创治疗等。
城北门诊时间:周一全天
咨询电话:0830-3162232

神经鞘瘤源于周围神经外膜的雪旺氏细胞,又称雪旺氏细胞瘤,在纵隔神经源性肿瘤中较为常见,约占全部纵隔神经源性肿瘤80%。
纵隔神经鞘瘤好发于脊神经后根和肋间神经,大部分发生于胸腔的上1/3或上半部分后纵隔脊柱旁沟的神经组织,紧贴于椎体外侧椎间孔附近,部分肿瘤可存在于椎管内。
对于极少数发生于前、中纵隔迷走神经、喉返神经或膈神经的肿瘤,临床上极易误诊为胸腺瘤、支气管囊肿、畸胎瘤、胸骨后甲状腺肿、淋巴瘤、胸膜间皮瘤等。
纵隔神经鞘瘤虽然是良性,但理论上有逐步增大的风险,如果肿瘤在2cm以上,建议及时手术切除,以免肿瘤逐渐增大,增加手术的风险和难度;2cm以下的病灶,可在排除恶性病变的概率之后,保持定期随访观察。
胸心外科简介






科室常规开展肺部疾病、食管疾病、纵隔疾病、胸壁疾病诊治及严重胸部损伤的治疗。近年来科室胸腔镜微创手术发展迅速,约80%患者均行胸腔镜微创手术,常规开展如胸腹腔镜联合食管癌根治术,胸腔镜肺叶切除、肺段切除,交感神经疾病(手汗症,雷诺氏病等),川南地区第一例胸腔镜下肋骨骨折内固定术,在川内较早开展气管隆突重建,双袖式肺叶切除,胸部巨大肿瘤切除,胸骨肋骨肿瘤的切除3D打印重建手术等国内领先技术。
近年来心脏大血管方面在北京阜外医院及北京大学国际医院的帮助下,发展迅速。目前常规开展体外循环下及非体外循环下冠脉搭桥术、心脏瓣膜置换术、心律失常的外科手术、复杂先天性心脏病矫治术、心脏肿瘤及心包大血管手术等,常规开展食道超声引导下房间隔缺损介入治疗,DSA下主动脉瓣疾病及动脉瘤的介入治疗,效果良好,其中近40%为急危重症患者。国际上率先开展3D打印技术,使心脏病变术前可视化,减少术后并发症的发生。
住院部地址:第一住院大楼15楼
咨询电话:0830-3162232
(来源:西南医科大学附属中医医院)
编辑:游江
关注川南在线网微信公众号
长按或扫描二维码 ,获取更多最新资讯
其他