川南在线 发布时间:2024-03-24
1月中旬,初中生小丽(化名)与家人一起来西南医科大学附属中医医院骨伤科关节·足踝组就诊。
张磊博士接诊后了解到,小丽因最近备战体考加强了体育锻炼,但发现足内侧凸起,走路、运动都会发痛。
经过专业查体和检查后,张磊博士为其诊断为“左足副舟骨痛综合征”,通俗的说,就是足内侧多长了一块骨头,建议其住院手术治疗。

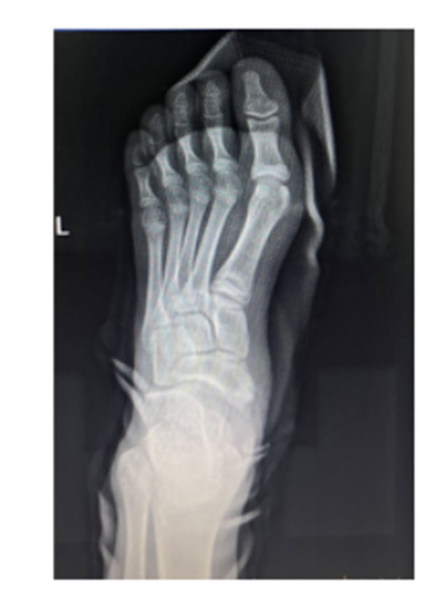
术前影像学提示左足副舟骨
两天后,小丽自述伤口无明显疼痛,且在伤口干燥后就出院了。

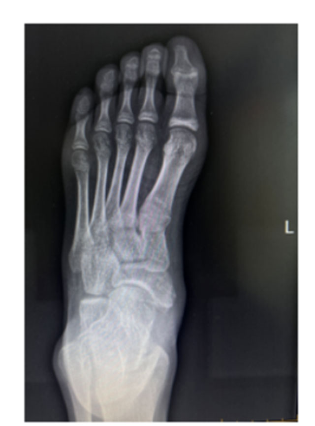
术后影像学复查
出院后经过4周休息及康复锻炼,小丽已重返运动场,继续备战体考,无不适反应。

术后1个月患者影像学复查
据张磊博士介绍,足副舟骨疼痛看似不起眼,实则随着病情的进展,软骨联合处会产生慢性炎症反应,从而导致软骨增殖硬化,并发滑囊炎、胫后肌腱鞘炎或扁平足,影响患者生活质量。
如果及时接受正规治疗,先天性副舟骨患者,在早期诊断和接受正规治疗后,能够明显缓解足底部的疼痛不适和肿胀,改善生活质量,最终实现疾病的痊愈,可以避免上述并发症发生。
医学指导

张磊
副教授
副主任医师
医学博士后
硕士生导师
西南医科大学附属中医医院外科党总支书记,骨伤疾病研究中心副主任,中西医结合骨伤疾病防治泸州市重点实验室副主任,广东省医学3D打印中心泸州临床基地副主任,西南医科大学附属中医医院骨科临床科研联盟秘书长,国家自然科学基金评议专家;擅长中西医结合防治骨与关节疾病的治疗,尤其擅长足踝部创伤、运动损伤、畸形矫正的治疗。
门诊时间:城北门诊周日上午

什么是副舟骨?
副舟骨被称为多余的骨头。副舟骨位于舟骨内后侧,属于先天性发育异常,是幼年时期的副舟骨骨化中心未能与舟骨结节完全融合,使得舟骨旁边多出一块骨头,这就是副舟骨。


什么是副舟骨综合征术
副舟骨综合征是指由副舟骨引起发的急慢性足痛,来源于副舟骨与舟骨之间的骨软骨连接反复应力性刺激,或者来源于胫后肌腱止点无菌性炎症或肌腱损伤。

副舟骨综合征的发病率为10%~21%,且高达70%的患者,双足都有副舟骨,随着发育逐渐出现。因此通常患者在10多岁才会发现。
虽发病率高,但是对大多数的副舟骨人群来说,这个疾病并没有什么特别的——大部分人虽然有副舟骨,但是没有不舒服,对身体也没有特别影响。既然不痛不痒,也不影响身体,那就先不用管它,也不用治疗。
但是,剩下的10%副舟骨人群,会出现疼痛。症状比较轻的人,会影响剧烈运动;症状严重的人,光是走路就疼得不行,那就要赶紧看医生。
副舟骨疼痛如何治疗?
中医学将大多数具有肢体疼痛不适、筋骨损伤,并伴有四肢关节屈伸不利为临床表现的骨伤痹病统一归为“骨痹”范畴。
骨伤痹病外因为风寒湿三种邪气,它们既可夹杂为痹又可单独作为形成骨痹的病因。
内因主要有先天禀赋异常、肾精亏虚和久劳耗伤,两者相互关联,可同时致病。
基于上述理论,运用点按手法作为传统治疗方法,选用足少阳胆经的环跳、膝阳关、阳陵泉、悬钟四处穴位进行手法点按,具有舒筋通络、行气通络、填精益髓之功效;通过针刺足少阳胆经的环跳、膝阳关、阳陵泉、悬钟四处穴位,刺激肌肉组织,从而达到活血、止痛、解痉等作用,有效缓解副舟骨疼痛。
同时可选用西南医科大学附属中医医院特色制剂金黄散、续断舒筋止痛酒外敷或者专科熏洗制剂、桂佛定痛膏对症处理,一定程度可关节疼痛。
如保守治疗无效或者反复发作则建议手术切除。
(来源:西南医科大学附属中医医院)
编辑:肖昂
关注川南在线网微信公众号
长按或扫描二维码 ,获取更多最新资讯
其他