川南在线 发布时间:2024-11-16
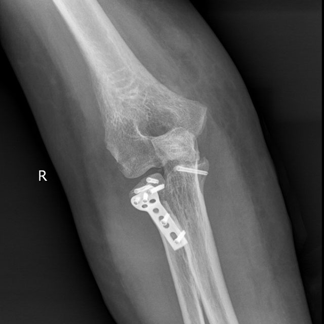
近日,67岁的冯嬢嬢在街上行走时不慎被后方一辆疾驰的车辆撞到右手肘关节,紧急送往医院后,医生发现她是因高能冲击造成的肘关节多发骨折伴脱位,包括桡骨头骨折、尺骨冠突骨折和肘关节后脱位,还合并韧带损伤。
“这种伤害在医学上被称为‘恐怖三联征’,因其治疗复杂、预后不佳而得名。”西南医科大学附属中医医院骨伤科创伤·正骨组黄陈翼副教授介绍,“这个部位术后并发症非常多,特别是肘关节僵硬,异位骨化,往往功能很差。在过去,这类伤害往往采取保守治疗,但很难维持肘关节的稳定性,并有再脱位的倾向。”


术前影像
骨伤科创伤·正骨组医生接诊后,迅速组织多学科专业医疗团队进行详细检查和诊断,确诊为肘关节骨折脱位,并立即制定了周密的手术计划。
最终,冯嬢嬢接受了精确的骨折复位和内固定手术。手术团队不仅重视骨折的固定,还对受损的软组织进行了细致的修复,以确保关节的稳定性和功能的完整性。


术后复查X片
术后,骨伤科创伤·正骨组专家为冯嬢嬢定制了康复计划。该计划分为早期被动运动、主动辅助运动和主动运动三个阶段。在麻醉医生神经阻滞减轻疼痛的协助下,骨伤科创伤·正骨组医生早期为冯嬢嬢开展了被动关节活动,而后逐步过渡到主动运动,最终实现肘关节功能的全面恢复。
期间,冯嬢嬢积极配合医生,严格按照康复计划完成每日的康复练习。经过半月的努力,冯嬢嬢肘关节活动范围显著改善,屈曲角度达到140.1°,伸直角度为11.4°,前臂旋转功能也得到有效恢复。


术后功能康复
黄陈翼副教授提醒大家,老年群体要增强防摔意识,预防类似伤害的发生。对于肘关节骨折脱位患者,及时的医疗干预和积极的康复配合是实现功能恢复的关键。
黄陈翼副教授
副主任医师
医学博士
硕士研究生导师

国家中医紧急医学救援队队员,中国创伤救治联盟四川省创伤救治联盟委员,四川省“卫生健康英才计划”中青年骨干人才,泸州市劳动能力鉴定医疗卫生专家。擅长复杂四肢/骨盆/髋臼骨折的手术治疗,陈旧性四肢骨折骨不连的翻修治疗。
城北门诊:周二上午
(来源:西南医科大学附属中医医院)
编辑:肖昂
关注川南在线网微信公众号
长按或扫描二维码 ,获取更多最新资讯
其他