川南在线 发布时间:2024-12-04

谢霆锋公开承认自己有严重的扁平足,可以用双脚鼓掌,不适合长时间走路和爬山。近日,张天爱又自爆“铲子脚”。


于是好奇心驱使我上网搜索,才发现有太多的明星都是扁平足。NBA球星杜兰特、帕克、林书豪,文艺圈孙燕姿、阮经天都有一个特点→扁平足。
有人说,扁平足不是病
但长时间走起路来确实要人命


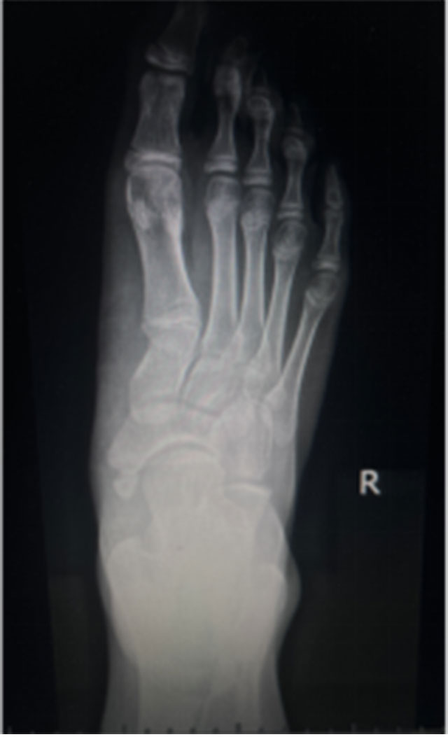
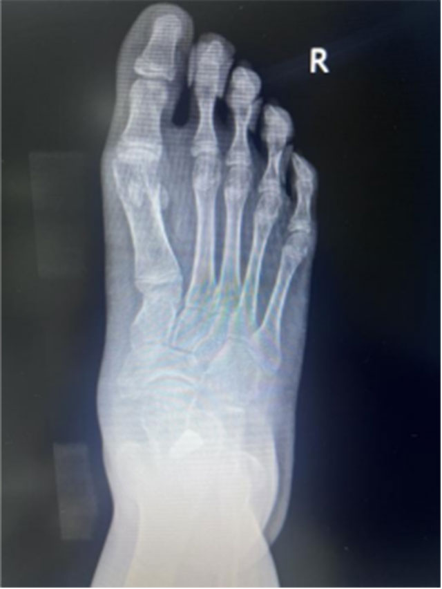
2024年6月13日,西南医科大学附属中医医院骨伤科关节·足踝组张磊博士门诊接诊了一名扁平足的初中生。14岁的小莉走路过程中足底有疼痛感,长时间走路后会感觉足底肿胀,遂来医院就诊,被诊断为“右足副舟骨痛+右足扁平足”,张磊博士团队考虑小莉实际情况,经微创治疗距下关节制动术后,小莉疼痛症状缓解。


12月1日,小莉再次来到骨伤科关节·足踝组复查,外观可见扁平足改善效果明显。
医学指导

张磊
副主任医师,博士后,硕导,副院长。国家自然科学基金评议专家,泸州青年五四奖章获得者,西南医科大学十大杰出青年。泸州市中西医结合学会微创骨科分会主任委员,中国医师协会足踝学组委员。主要研究方向:中西医结合防治骨与关节疾病的基础及临床研究。尤其擅长足踝疾病的诊治。城北门诊:周四、六全天,417室
什么是距下关节制动术?
部分青少年患者可选择放入距下关节制动器,改善距下关节活动,缓解疼痛,一定程度改善足的外观及畸形。可联合进行副舟骨切除和胫后肌腱止点重建术。
扁平足是青少年较为常见的足踝疾病,以足纵弓降低或消失为主要特征,该病症患者负重力线不正常,发展到一定程度可能会出现足部疲劳或疼痛症状,一般可分为可复性扁平足(柔韧性平足)和僵硬性扁平足。

如何治疗?
许多扁平足的人没有明显的症状,不需要任何治疗。后足外翻、足部明显畸形的患者即便没有症状,也建议给予足弓垫或矫形鞋干预。
足部疼痛、僵硬等症状
首先推荐非手术治疗
中医主要通过推拿按摩、针灸、正骨、艾灸配合中药熏洗或外敷膏药等方法缓解肌肉疲劳,纠正骨骼异常的解剖关节。
急性发作期可用院内制剂解毒消肿散、芩黄散瘀止痛酒外敷,消肿、止痛,下肢熏洗方浴足,疏经活络、行气止痛。
如保守治疗无效、反复发作
影响生活学习,则建议行手术治疗
(来源:西南医科大学附属中医医院)
编辑:肖昂
关注川南在线网微信公众号
长按或扫描二维码 ,获取更多最新资讯
其他