川南在线 发布时间:2025-04-08
近日,西南医科大学附属中医医院心血管内科团队联合麻醉科、超声影像科等医护人员成功为一名二尖瓣脱垂伴重度返流的老年女性患者实施了经导管缘对缘修复术(TEER)。
破碎:耄耋老人被查出心脏瓣膜重度脱垂
年近八旬的张素芬(化名)自从一天散步回家后,她的生活发生了天翻地覆的变化,晾衣服时会突然喘不上气,爬楼梯要抓着扶手歇三次,就连孙子跑过身边带起的微风都能让她心口发紧。胸口像压着块生铁,每一次呼吸都要耗尽全身力气。
于是,50岁的儿子带着母亲来到了西南医科大学附属中医医院。超声影像科主任程春霞团队的毛怡、左正琴为张素芬进行了经食道彩超检查,结果提示:心脏瓣膜病、二尖瓣脱垂伴返流(重度)、三尖瓣返流(重度)。


心血管内科副主任罗钢教授的手指着超声影像上的一处异常,形象比喻:“这就像屋顶漏雨,二尖瓣这两片‘瓦’合不拢,每次心跳都有血流倒灌回心房。”他指尖轻点处,明显看见本该单向流动的血液,在左心房与左心室间形成湍流。
担心:高龄患者开胸手术风险高
“像您这种情况,需要通过手术将心脏里面合不拢的地方补齐。”罗钢教授告诉张素芬。听到要在心脏上动手术,张素芬愣了神。心想自己这个年纪了,还要在心脏上动手术,还能不能平安下手术台都是个未知数……摸着老棉袄上的补丁,张素芬想起年轻时在缝纫厂补过无数件衣裳,现在轮到自己的心需要打“补丁”了。
张素芬属于高龄患者,身体机能下降,恢复能力差,而且本身就患有心衰,心功能较弱。若进行开胸手术,需要先建立体外循环系统,将心脏暂停跳动,一层一层划开皮肤、暴露心脏,才能在心脏瓣膜上手术。这一系列操作对她而言,风险太大。
转机:新一代Mitraclip G4微创且安全
针对张素芬的情况,罗钢教授组织麻醉科、超声影像科、胸心外科、CCU以及科室医生进行了会诊讨论。“能否采用微创手术?比如用MitraClip G3对瓣膜进行缘对缘修复。”
“这个方案比传统开胸手术方案好,但还是存在较大的困难。MitraClip G3只能两侧同时落锁,可患者的瓣膜是重度脱垂,两侧瓣膜间距大,且心脏瓣膜持续运动,想要精准抓取难上加难。”有医生提出顾虑。

“那可不可以采用新一代的Mitraclip G4呢。新一代的Mitraclip G4相比Mitraclip G3可分开落锁,这样就能先抓取一侧瓣膜,调整好位置后再抓取另一侧瓣膜,难度会大幅降低。同时G4配备的宽夹子对于脱垂面积较大的病变,夹合效果更好,安全性更高。”罗钢教授调出Mitraclip G4的动画演示:米粒大小的夹子像太空臂精准咬合,漏水的“心门”瞬间严丝合缝。
经多科医生讨论,并与张素芬及其家属详细沟通后,罗钢教授决定采用新一代Mitraclip G4择期为张素芬实施经导管缘对缘修复术(TEER)。“这是目前最适合的方案。”罗钢教授告诉张素芬,“本周四,我们为您补心。”
修补:2小时,2个夹子,成功补上心门
说干就干,罗钢教授立即按流程提交了Mitraclip G4临时采购申请,并不断跟进催促。2天后,Mitraclip G4送达医院。为确保手术万无一失,罗钢教授还邀请了四川省人民医院经验丰富的曾杰教授现场指导。
3月20日14:00,介入室内气氛紧张而有序,四川省人民医院曾杰教授、西南医科大学附属中医医院心血管内科罗钢教授、唐志豪主治医师,麻醉科夏青主治医师,超声影像科毛怡主治医师、左正琴主治医师以及护士林萍、赵刚等医护人员身着厚厚的铅衣,严阵以待。

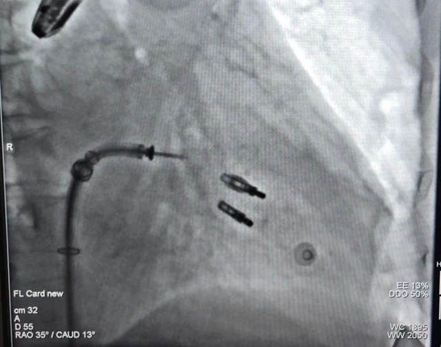
消毒、穿刺,手术正式开始。在超声影像科医生的食道探头指引下,一根1米多长的导管由股静脉缓慢放入,顺着血管逐步深入到心脏,抵达脱垂的瓣膜处。众人紧盯显示屏,看着两片瓣膜不断跳动。

“准备抓取。”夹子双臂缓缓张开。“闭合”罗钢教授看准时机,一声令下,夹子准确地夹住了瓣膜。那一刻,现场医护人员紧绷的心弦稍稍放松。
放了一枚夹子后,反流明显改善,但内侧仍存在对合不良的情况,医护人员刚放下的心又悬了起来。经评估,罗钢教授决定再放入第二枚夹子……

终于,历经2小时的紧张操作,两枚夹子准确夹住了张素芬重度脱垂的瓣膜,二尖瓣反流程度明显减轻。术后,张素芬恢复良好,胸闷、乏力等不适症状明显缓解,心脏功能指标得到显著改善。

据罗钢教授介绍,MitraClip G4系统具有三大优势。一是夹合角度调节功能更灵活,可精准适配复杂的心脏解剖结构;二是独立抓取设计,显著提升操作容错率;三是宽幅夹臂能实现更优的瓣膜贴合效果。相较于传统治疗,该技术将住院时间从2周缩短至3天,具有创伤小、恢复快、安全性高等优势,尤其适用于高龄、身体状况差等无法耐受外科开胸手术的患者,为高龄、心功能低下的患者提供了更安全的选择。

(来源:西南医科大学附属中医医院)
编辑:李永鑫
关注川南在线网微信公众号
长按或扫描二维码 ,获取更多最新资讯
其他