川南在线 发布时间:2025-06-17
玩具(小浴缸),饰品上的花花、珠子,发黑断裂的创可贴……

你能想象吗?一个年仅6岁的小女孩阴道内竟然藏着玩具、饰品,甚至是发黑的创可贴等5件异物,而且这些异物在体内留置了长达一年!
这究竟是怎么回事?让我们一起揭开这背后的真相。
事件起因
时间回溯到2024年5月1日劳动节,泸州的李女士正准备带着一双儿女外出旅游。
然而,就在出发前,5岁的女儿馨馨(化名)突然告诉妈妈,自己下体尿尿时有点痛。李女士立即意识到问题的严重性,带着孩子前往医院检查。
漫长的求医路
起初,馨馨被诊断为尿道感染,但治疗后症状并未改善。随后,孩子内裤上出现异常分泌物,伴有异味,被再次诊断为急性阴道炎。
然而,症治未见疗效。
在接下来的一年里,李女士带着女儿辗转多家医院,甚至输过液,但症状一直反反复复,未能根治。
揪出“元凶”
就在李女士几乎绝望之际,她想到了西南地区享有盛誉的西南医大附院小儿外科,她在浏览该院网络挂号平台上各专家简介之后,发现儿童泌尿生殖外科康健门诊卞则栋主治医师对各类儿童泌尿生殖疾病诊治颇为专业,便为女儿预约了卞医生的门诊号。
卞医生凭借丰富的诊疗经验,将怀疑方向转向了“阴道异物”。于是,医生连续多次变着法子(孩子起初出于害羞没有承认)耐心询问孩子后,经过多次耐心询问,孩子终于道出实情:自己曾将玩具、花花等小物件塞入阴道内。
“天啊,我当时就震惊了!”李女士惊讶之余,更多的是流露出对卞则栋无限的敬佩。

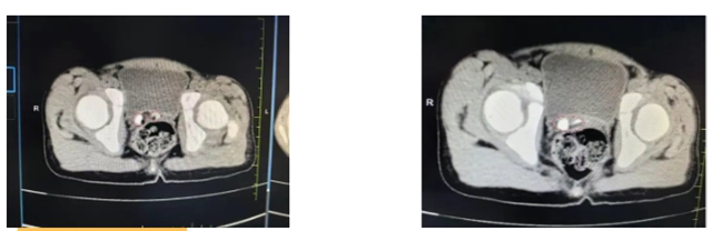
CT显示阴道上段“U”型低密度影
手术取出异物
确认异物存在后,馨馨被收治入院。
5月22日,西南医大附院小儿外科泌尿亚专业组2名专家——科室副主任熊耕副主任医师、卞则栋主治医师联合麻醉科等手术团队,为馨馨进行了儿童阴道镜下阴道异物取出术。
手术中,医生们凭借高超的手术技巧,成功取出了阴道内的5件异物,包括绿色的玩具小浴缸、项链上的塑料花朵、珠子,以及发黑卷曲断裂成两段的创可贴。

手术仅用时半小时左右顺利完成。
术后康复
术后,经过2天的抗感染治疗,困扰馨馨长达一年的阴道异常症状逐渐消失。
孩子随即痊愈出院,重新找回了往日的欢笑。“女儿现在每天都开开心心的,内裤也干净了!”李女士激动地说。
“这一年来我们四处就诊跑了不少冤枉路,幸亏遇到卞医生等儿童泌尿生殖专业医护团队,是他们及时找准病因,最终才为女儿解除困扰已久的病痛,这是我们的幸运。”李女士为女儿康复感到高兴的同时,也对西南医大附院小儿外科团队的精湛医术给予了极高评价。
原因揭秘
那么,馨馨为什么会将5件异物塞入自己阴道内呢?
原来,孩子对世间万物抱有强烈的好奇心和探索欲,大概一年前在幼儿园观看了一部安全教育视频后,对此感到一知半解,便拿自己的身体做试验,尝试将多种小物体放入阴道内。想看看尿尿时会不会自己排出来,塞入后,除了阴道分泌物异常(当时也未将其与之前塞入异物联系起来),平时不痛不痒,没有太大的感觉,她以为这些东西随着排尿已经排出来了,因此,从未告知过父母家人。
安全教育刻不容缓
在美剧《豪斯医生》中,一名小男孩为了“救”出掉在鼻子里的玩具小猫,竟先后将玩具消防车、消防员、警察等塞入鼻孔。
熊耕说到,“科室成立40余年来,接诊过各类异物患儿,曾有一名13岁男孩将29颗磁力珠塞进尿道进入膀胱引发尿路感染,也有不少患儿误吞磁力珠、硬币、玻璃珠、海绵宝宝、发卡等物品,甚至塞入鼻腔内,这些行为都很危险。”
“小孩都有很强的好奇心和探索欲,特别是3岁以下的低龄婴幼儿,缺乏危险意识。喜欢往嘴里塞东西咬东西,家长们要引起注意,尽量不要让低龄婴幼儿接触这些容易脱落的小物件。”西南医大附院心身医学中心黄烨主治医师表示。
“对于学前期儿童,家长和学校应加强对儿童生理卫生知识的普及教育,让他们正确认识和理解生殖器官的作用,明白将异物塞入特殊部位是非常危险的行为。” 黄烨说。
如果孩子出现了“塞异物到阴道”等危险行为,家长需要保持冷静,既要避免过度反应,又要通过科学的方式引导孩子。
家长应对策略
一、正确引导,化解好奇

用孩子能理解的语言解释身体的结构和功能,避免使用负面标签,通过绘本、游戏等方式帮助孩子了解身体结构。
二、日常预防,建立身体界限意识

教孩子认识“隐私部位”,关注行为背后的需求,保持平和态度。
三、建立良好的亲子关系,保持顺畅的沟通和互动

倾听孩子的想法,鼓励孩子表达,营造安全的环境。
延伸阅读:13岁男孩将29颗磁力珠塞进尿道引发感染 儿外科医生建立“通道”微创取珠
医生简介

熊耕
小儿外科副主任、小儿外科住培基地教学主任
副主任医师,医学博士,硕士研究生导师
美国维克森林再生医学研究所访问学者
四川省医学会小儿外科专业委员会副主任委员
四川省康复医学会小儿外科专业委员会副主任委员
四川省医师协会小儿外科分会委员
四川省医学科技创新研究会儿童外科分会常务委员
中国中西医结合学会干细胞与再生医学专委会委员
四川省妇幼保健协会母胎医学分会委员
四川省医师协会青春期健康与医学医师分会委员
从事儿童外科的临床医疗、教学和科研工作20年,对儿童外科常见病、多发病、急重症及疑难病例有丰富的临床诊疗经验,尤其擅长儿童外生殖器异常、隐睾、尿道下裂、肾积水、泌尿生殖系统肿瘤、性发育异常等儿童泌尿生殖系统疾病的诊治,兼任小儿泌尿外科专业组组长。近年来主要致力于小儿泌尿生殖系统发育畸形及干细胞、再生医学相关临床及基础研究。其中以尿源干细胞为重点,率先开展儿童尿源干细胞相关研究,并与重庆医科大学儿研所及美国维克森林大学再生医学研究所合作交流,取得了丰富的研究成果,近5年发表专业论著10余篇,其中SCI收录8篇,主持和参与国家级和省市级课题5项。

卞则栋
小儿外科主治医师
四川省医学会小儿外科专业委员会委员
四川省康复医学会小儿外科专业委员会委员
中国妇幼保健协会妇幼微创专业委员会小儿泌尿微创学组委员
从事小儿外科临床、教学工作10余年,能熟练处置小儿外科常见疾病,尤其对肾积水、重复肾、肾发育不良、输尿管开口异位、输尿管反流、隐睾、精索静脉曲张、尿道下裂、阴茎下弯、隐匿性阴茎、两性畸形、夜遗尿症、膀胱过度活动症、神经源性膀胱、肾脏及肾上腺肿瘤、膀胱肿瘤、睾丸肿瘤等儿童泌尿生殖疾病的诊治有丰富的经验,擅长儿童泌尿生殖疾病的腹腔镜微创手术治疗。

黄烨
心身医学科主治医师
心理治疗师(中级)三级心理咨询师,家庭教育指导师,心理急救员
四川省心理卫生协会心理治疗分会委员
四川省心理学会医学心理专委会委员
四川省医学科科学普及专业委员会青年委员
四川(川南)紧急医学救援队队员
泸州市心身医学专委会委员
泸州市精神医学专委会委员
从事精神科临床工作、心理咨询和教学工作近20年。擅长精神分裂症、情感障碍、焦虑障碍、睡眠障碍等疾病的诊治以及个体心理咨询、团体心理治疗。亚专业方向:心理咨询与心理治疗。
(来源:西南医科大学附属医院)
编辑:卫国
关注川南在线网微信公众号
长按或扫描二维码 ,获取更多最新资讯
其他