川南在线 发布时间:2025-10-20
“尿尿时突然解大量的血凝块,我腿都软了!” 回忆起事发那天,王先生仍心有余悸。原本只是像往常一样上厕所,可当他低头看到尿液中大量的血凝块时,一股寒意瞬间从脚底窜上头顶,伴随而来的还有排尿时的阻塞感,下腹部坠胀感,像被一块巨石压着。

没有外伤、没有剧烈运动,身体一向硬朗的王先生从未想过,自己会突然遭遇这样的 “危机信号”。强忍着不安,他赶紧到西南医科大学附属中医医院泌尿外科就诊。刘星副教授接诊时,从他急促的描述和紧绷的神情里,敏锐察觉到情况并不简单。
检查单上的 “炸弹”,10cm肿瘤已破裂出血
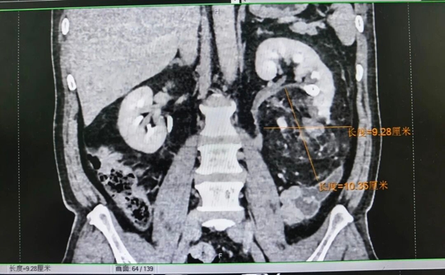
“立即联系CT室,寻找出血根源”。影像学报告显示,王先生的双肾不仅有了肾结石,左肾中下极还藏着一个“巨型炸弹”——一个直径约 9×10cm 的肿块,大小堪比一个拳头,初步考虑为肾错构瘤。更危险的是,这个肿瘤已经破裂,正是它的出血导致了王先生的肉眼血尿。

术前检查影像
“肿瘤位置太特殊了,紧挨着肾血管和输尿管,而且已经破了,现在就像个随时会爆的‘血包’。”刘星拿着检查报告,向王先生耐心解释病情,如果要做“腹腔镜下肾部分切除”的保肾手术。术中很可能会碰到大血管,一旦大出血,为了保命,恐怕只能切除整个左肾。
两难抉择:拒绝介入,坚持直接手术
面对凶险的病情,泌尿外科团队迅速制定了第一套治疗方案:先做 “肾肿瘤出血介入止血术”,通过介入手段堵住出血点,等病情稳定后再二次手术切除肿瘤,这样能最大程度降低切肾风险。王先生却摇了摇头问到:“能不能直接手术?我不想遭两次罪,也怕耽误时间。”
看着王先生眼神里的恳切与焦急,团队没有轻易拒绝 。他们知道,患者的信任背后,是对 “保住肾脏” 的迫切渴望。

泌尿外科团队组织召开病例讨论,将肿瘤的位置、与周围组织的关联、可能出现的出血点一一标注在影像图上,反复模拟手术操作流程,连 “术中突发大出血如何快速止血” 等应急预案都进行了细化。
手术台上的 “精细战”:毫米间守护肾脏
“小心分离,别碰到血管!”手术当天,泌尿外科手术团队在腹腔镜下一点点小心翼翼地剥离粘连的组织,终于完整暴露了肿瘤的边界。
“距离肿瘤 1cm 处下刀,尽量多保留健康肾组织。” 随着一声指令,手术进入核心环节。每一刀的深度、每一次的分离动作,都精准到毫米 —— 既要彻底切除肿瘤和残留的血凝块,又要避免损伤周围的正常肾组织。时间一分一秒过去,当肿瘤被完整切除,手术室里紧绷的气氛终于缓和下来。

术后检查影像
术后几天,王先生的恢复情况超出了预期:血尿症状消失,排尿逐渐恢复正常,肾功能指标也稳步向好。当刘星医生告知他 “肾脏保住了,再过几天就能出院” 时,王先生眼眶瞬间红了:“谢谢你们,保住了我的肾!”
刘星医生提醒:“血尿是身体发出的‘红色警报’。根据临床经验,虽约70%的血尿由泌尿系统感染、结石等良性疾病引起,只有约30%与肿瘤相关。”但是,一旦发生血尿,说明肿瘤已经侵犯集合系统。所以,平时定期体检也很重要。
然而,有两类血尿需要特别警惕:一是无痛性肉眼血尿,二是反复发作的血尿。
尤其是中老年人,一旦出现无痛性肉眼血尿,必须高度警惕泌尿系统肿瘤,如膀胱癌、肾癌等。这类血尿往往不伴疼痛,时有时无,很容易被忽视。

刘星
副教授
泌尿外科
副教授,副主任医师,医学硕士。擅长诊治泌尿系结石及肿瘤、前列腺增生、肾上腺疾病、前列腺炎、阳痿早泄、男性不育、包皮过长、血精等泌尿男科疾病。掌握结石腔道手术、前列腺电切术、腹腔镜肾上腺、肾囊肿、精索静脉曲张,鞘膜积液手术、包皮整形等微创手术。
(来源:西南医科大学附属中医医院)
编辑:李永鑫
关注川南在线网微信公众号
长按或扫描二维码 ,获取更多最新资讯
其他