川南在线 发布时间:2025-10-25
“多亏医生手术做得好,现在我能慢慢下床活动了,再也不用躺着发愁!” 近日,在西南医科大学附属中医医院骨伤科关节・足踝组病房,刚完成康复训练的李阿姨(化名)感慨道。
不久前,李阿姨与另一位王阿姨分别因意外摔伤导致股骨颈骨折,好在经过科室骨伤科关节·足踝组医护团队的治疗,两人均顺利恢复,逐步重获正常行动能力。
NO.1·食堂打扫踩滑摔伤,“切开复位内固定术”保髋
今年九月底,李阿姨在食堂厨房打扫卫生时,不慎踩滑摔倒在地,右侧身体先着地。倒地瞬间,李阿姨便感觉右侧髋部传来剧烈疼痛,尝试起身时发现腿部活动受限,无法正常移动。同事见状,立即拨打120急救电话,将李阿姨送往西南医科大学附属中医医院急诊就诊。

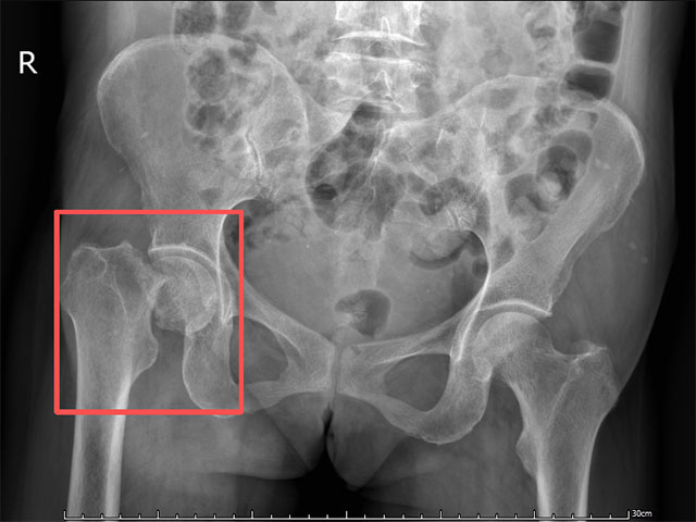
急诊医生迅速为李阿姨安排髋部CT检查,结果提示右侧股骨颈骨折——这是中老年人常见的骨折类型,若治疗不及时,可能影响髋关节功能,甚至导致股骨头坏死。为进一步治疗,李阿姨被急诊以 “右股骨颈骨折”收入骨伤科关节・足踝组。
考虑到李阿姨年龄较大,若采用保守治疗或切开复位内固定术,术后恢复周期长,且可能面临骨折不愈合、股骨头坏死等风险,急诊医生将其以“左股骨颈骨折” 收入骨伤科关节・足踝组进一步治疗。
经科室讨论,决定为其进行关节置换。手术在充分准备后顺利开展,敖亮等医护团队凭借丰富的临床经验,精准完成操作,全程安全平稳。
术后,在医护团队的指导下,李阿姨逐步开展康复训练,从床上活动到下床站立、缓慢行走,恢复进度远超预期,目前已能自主完成日常简单活动。
NO.2·家中滑倒致髋部骨折,“全髋关节置换术” 让其快速康复
无独有偶,不久前王阿姨在家中也遭遇了类似意外:她在打扫房间时不慎踩滑,左侧髋部先着地,当即感到左侧髋部剧痛,腿部无法活动,疼痛让她无法起身。
家人发现后,第一时间拨打120,将王阿姨紧急送往西南医科大学附属中医医院急诊。
急诊髋部CT检查结果显示,王阿姨为左股骨颈骨折,且骨折移位较明显,伴随髋关节稳定性下降,急诊医生将其以“左股骨颈骨折” 收入骨伤科关节・足踝组进一步治疗。
入科后,敖亮医生对王阿姨的病情进行全面研判:结合其年龄、骨折类型及身体基础状况,最终确定采用左全髋关节置换术。
“全髋关节置换术能直接替换受损的髋关节结构,术后患者疼痛缓解明显,可更快恢复行走功能,大幅缩短康复周期,尤其适合骨折移位明显、年龄较大的患者。”敖亮医生向王阿姨及家属详细说明手术方案及优势,获得了家属的认可。
手术过程中,敖亮医生精准操作,顺利为患者植入人工髋关节假体,确保假体位置与角度适宜,保障术后髋关节功能恢复。

术前

术后患者影像资料
敖 亮
骨伤科关节·足踝组
医学硕士
主治医师

擅长:腕关节TFCC损伤、半月板撕裂、前后交叉韧带断裂、髋关节撞击综合征、髋臼盂唇损伤、股骨颈骨折、股骨头坏死、膝骨性关节炎等疾病治疗。
股骨颈骨折,到底是哪里骨折?
很多人听到 “股骨颈骨折” 会疑惑:这个骨折部位到底在哪里?

其实,股骨是我们大腿根部最粗壮的骨头,从髋关节一直延伸到膝盖;而 “股骨颈” 就是股骨顶端靠近髋关节的一段“细脖子”——它连接着股骨头(像球形一样嵌入髋关节窝的部分)和股骨主体,是支撑身体重量、实现髋关节活动的关键部位。

简单说,股骨颈就像“大腿骨的脖子”,位于我们臀部下方、大腿根内侧,平时走路、抬腿、坐下时,这个部位都在承受力量。正因位置特殊且受力集中,中老年人跌倒时若髋部先着地,很容易导致股骨颈骨折,就像李阿姨和王阿姨遇到的情况一样。
医生提醒:
中老年人需警惕跌倒,
骨折后及时规范治疗是关键
“近期接诊的股骨颈骨折患者中,多为中老年人,且多因居家或工作时滑倒、绊倒所致。”敖亮医生提醒,中老年人因肌肉力量减弱、平衡能力下降,加上冬季衣物厚重、地面易湿滑,是跌倒骨折的高发人群。为预防此类意外,建议做好以下几点:
01改善居家/工作环境:
保持地面干燥,及时清理水渍、杂物;在卫生间、走廊等易滑倒区域安装扶手、铺设防滑垫;避免在光线昏暗的环境中行走。
02加强自身防护:
中老年人日常穿着防滑鞋,避免穿拖鞋或高跟鞋;起身、站立时动作放缓,避免突然改变体位;可适当进行散步、太极拳等运动,增强肌肉力量与平衡能力。
03骨折后及时就医:
若不慎跌倒后出现髋部疼痛、活动受限,即使皮肤无破损,也需立即就医检查,排除骨折可能;一旦确诊股骨颈骨折,需遵医嘱选择合适的治疗方案,避免延误治疗导致病情加重。
(来源:西南医科大学附属中医医院)
编辑:肖昂
关注川南在线网微信公众号
长按或扫描二维码 ,获取更多最新资讯
其他