川南在线 发布时间:2025-10-31
“医生,我家姑娘18岁,最近总说胸闷乏力,上学路上走快了就喘,上次体育课还差点晕倒!”——心脏超声检查发现,女孩的心脏竟在悄悄“长胖”,确诊为肥厚型心肌病(HCM)。

肥厚型心肌病已成为青少年和运动员猝死最主要原因之一,却远未获得足够关注。
肥厚型心肌病是以心肌异常肥厚为核心特征的心肌疾病。
对青少年而言,它的凶险之处在于早期症状极具迷惑性:不少患者日常活动看似正常,仅在剧烈运动、情绪激动后出现气短、乏力,或体检时偶然发现心脏杂音、心电图异常,很容易被误认为是“青春期体质弱”而忽视。但随着病情进展,胸痛、心悸、头晕黑矇会逐渐频繁,严重时可能突发晕厥,甚至面临心源性猝死、心力衰竭、血栓栓塞三大致命风险。

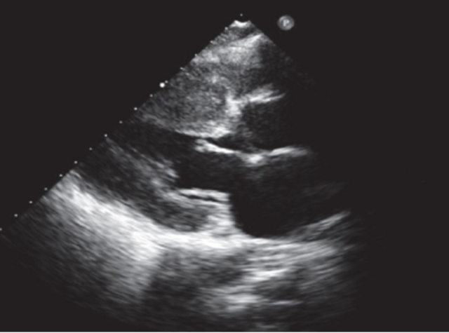
超声心动图左室长轴提示左室壁非对称性肥厚

左室流出道前向血流速度明显增快,频谱形态呈“倒匕首”样
想要精准揪出这颗“胖心脏”,超声心动图是首选的“火眼金睛”。这项无创、便捷又经济的检查,能清晰测量心室壁厚度,判断左心室流出道是否存在梗阻及梗阻程度,还能全面评估心脏收缩舒张功能和瓣膜状态。根据诊断标准,只要超声或磁共振检查发现左心室舒张末期任意部位室壁厚度≥15mm,或有家族遗传背景者(致病基因检测阳性、家系成员患病)的心室壁厚度≥13mm,即可确诊。
对青少年患者来说,超声心动图更是全程守护健康的“关键帮手”。确诊后,能为药物治疗提供客观的疗效监测指标,帮助医生调整用药方案;长期随访中,定期超声检查可及时捕捉病情变化,为运动限制、生活方式调整提供科学依据。
在此特别提醒家长:若孩子出现不明原因的乏力、气短、头晕,尤其是有心脏病家族史,或热爱运动的青少年,一定要及时就医做心脏超声检查。青少年的心脏“长胖”绝非小事,早发现、早诊断、早干预,才能让科学检查为青春保驾护航,避免悲剧发生。
(来源:西南医科大学附属中医医院)
编辑:李永鑫
关注川南在线网微信公众号
长按或扫描二维码 ,获取更多最新资讯
其他