川南在线 发布时间:2025-12-26
一次看似平常的上厕所,却差点成为张大爷生命的终点。血管壁上的破口,如何在介入技术的精准操控下,被“钢筋水泥”结构牢牢封堵?
那天早晨,张大爷像往常一样起床上厕所。谁也想不到,一次普通的入厕竟成了生死考验的开始。刚回到房间,他左侧下腹部突然袭来一阵剧烈疼痛,这痛感异常锐利,像是身体内部被撕裂了。

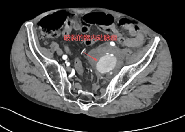
张大爷以为休息一下会好转,但疼痛不仅没有减轻,反而逐渐加重。家人见他面色苍白、满头冷汗,立即将他送往当地医院。CT平扫结果让人心头一紧:左侧髂内动脉瘤破裂。这是个危急情况,当地医院迅速将张大爷转入西南医科大学附属中医医院介入·血管科。
动脉瘤破裂,生命线上的定时炸弹
当张大爷抵达医院时,情况已经相当危急,介入·血管科徐燕能博士立即接手处理,迅速安排全腹部血管造影检查(CTA),进一步明确诊断——左侧髂内动脉瘤已经破裂。


“髂内动脉瘤破裂风险极高,患者可能因失血性休克在短时间内失去生命,这种情况需要立即进行介入手术,封堵破裂的动脉瘤。”徐燕能博士介绍。
时间就是生命,医疗团队迅速制定手术方案,准备实施介入治疗。
“钢筋水泥”,介入手术的艺术
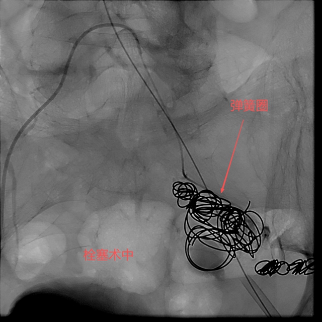
手术室里,一场没有硝烟的战斗正在展开。介入·血管科医护团队面临着一个棘手问题:如何在破裂的动脉瘤内形成稳定、持久的栓塞,防止再次出血?
徐燕能博士选择了弹簧圈+医用胶水的复合栓塞技术——这项技术在介入医学界被戏称为“钢筋水泥”结构。“弹簧圈就像钢筋,能够在动脉瘤内形成一个稳定的框架结构;医用胶水则是水泥,填充在弹簧圈形成的框架中,迅速固化形成致密的栓塞体。”


这种组合的优势在于既能快速止血,又能形成长期稳定的栓塞效果,防止动脉瘤再次扩张或破裂。

随着弹簧圈被精准放置到动脉瘤腔内,医用胶水随后注入,两者结合形成了坚固的“钢筋水泥”结构,牢牢封堵了破裂处。
双管齐下,隔绝与重建并重
完成动脉瘤栓塞后,徐燕能博士团队并未停止。他们清楚知道,单纯栓塞动脉瘤可能还不够。
下一步是在左侧髂总-髂外动脉植入覆膜支架,这一步至关重要。覆膜支架的作用是隔绝动脉瘤,重建正常血流通道,防止血流再次冲击已经脆弱的血管壁。
徐燕能博士精心选择了合适尺寸的覆膜支架,通过微创方式将其精确植入目标位置。支架顺利展开,完美贴合血管壁,血流被重新引导至正常通道。
“这就好比在破损的水管外加了一层保护套,既防止了破裂处再次出血,又保证了水流的正常通过。”徐燕能博士这样比喻道。
整个手术过程顺利完成,张大爷的生命体征始终保持稳定。
手术后,张大爷的症状逐步缓解。原本剧烈的腹痛渐渐消退,他的面色也恢复了红润。在医护人员的精心照料下,他的身体一天天好转。
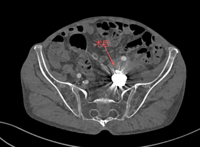
出院前,张大爷再次接受了血管造影检查。结果显示左侧髂内动脉瘤栓塞彻底,覆膜支架位置理想,血流畅通无阻。这个差点夺走他生命的血管危机,被成功化解。

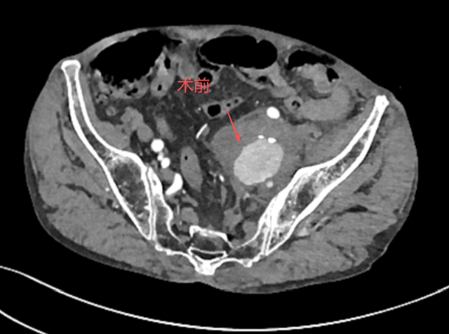
术前

术后
徐燕能博士在查房时对张大爷说:“您现在恢复得很好,但今后要定期复查,控制血压,注意生活习惯,预防其他血管问题的发生。”
张大爷握着徐燕能博士的手,眼中满是感激:“是你们给了我第二次生命。”
现代医学的进步,正让越来越多曾经的不治之症变得可防可控。而在生命与时间的赛跑中,介入·血管科的医生们,正用他们灵巧的双手和前沿的技术,为患者搭建起一道道坚固的生命防线。

徐燕能
主治医师、医学博士
介入·血管科
(来源:西南医科大学附属中医医院)
编辑:李永鑫
关注川南在线网微信公众号
长按或扫描二维码 ,获取更多最新资讯
其他