川南在线 发布时间:2026-03-19
21岁,本应是肆意奔跑、活力满满的年纪,可一次平常的下蹲,却让杨颖(化名)的生活突然被按下了暂停键。左膝盖的一声脆响,接踵而来的是剧痛和动弹不得,让这个年轻的小伙子陷入了慌乱。杨颖来到西南医科大学附属医院骨与关节外科后,经过专业的手术治疗和细心护理,他顺利摆脱病痛,朝着重新正常行走的目标稳步恢复。
意外突降:一声脆响,生活按下暂停键
8天前,杨颖只是做了一个下蹲的动作,左膝关节突然传来一声清脆的响声,瞬间的疼痛感让他根本没法动弹,膝盖也很快肿了起来。没有破皮、没有流血,可腿就是没法正常活动,连站都站不起来。
家人赶紧带着他去当地医院检查,CT结果让所有人都愣住了:左侧髌骨骨折,而且髌骨上可能长着肿瘤。
突如其来的骨折,还有未知的肿瘤,这让杨颖和家人心里又慌又急,他们一刻不敢耽搁,立刻赶往西南医科大学附属医院,希望得到进一步的检查和治疗。
寻找答案:明确问题后敲定治疗方案
入院后,医生立即给杨颖做了全面细致的检查。此时的他只能躺着,没法走路,左腿的石膏固定得好好的,两条腿长度差不多,但左膝盖肿得很明显,按一下膝盖周围就疼得厉害,医生摸髌骨的时候,还能感觉到骨头摩擦的感觉,因为疼,杨颖也没法配合做更多的检查动作,左膝盖基本不能活动。万幸的是,脚尖、脚底的感觉都正常,腿也能正常用力,血液循环也没问题,其他部位也没有发现异常情况。


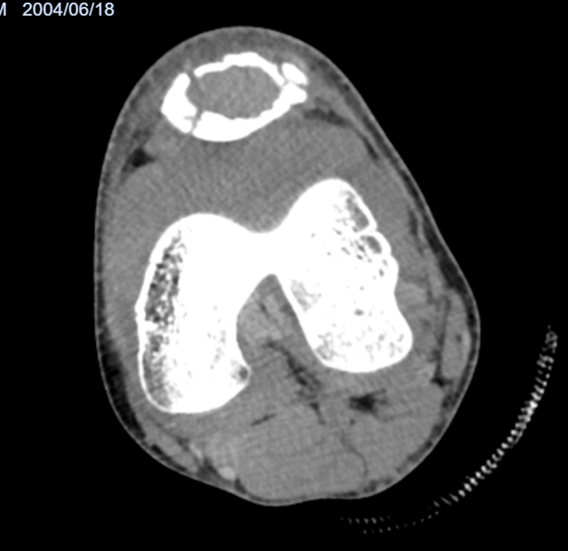
图1:术前的膝关节CT及磁共振检查,清晰显示髌骨肿瘤及病理性骨折
结合杨颖的情况和当地的检查结果,医生最终明确了问题:一是左侧髌骨因为肿瘤引发了病理性骨折,二是髌骨上确实长了骨肿瘤。
考虑到杨颖才21岁,膝盖的功能对他以后的生活、学习都太重要了,而且现在骨折已经让他没法活动,保守治疗根本没法让骨头复位,也恢复不了膝盖的功能。医生团队反复商量后,决定给他做“骨肿瘤刮除+髌骨骨折切开复位内固定”手术,通过手术把肿瘤彻底清除,尽可能降低复发的概率,将断了的骨头接好固定住,让膝盖慢慢恢复。
精准手术:既要“拆弹”,也要“重建”
在做好所有术前检查和准备工作后,2月27日,医生团队为杨颖顺利做了手术。手术中,医生小心地打开膝盖部位的皮肤,切除肿瘤侵蚀的骨头,通过磨钻打磨、电刀高温烧灼、无水酒精浸泡、灭菌注射用水浸泡等手段,基本上杜绝肿瘤复发的可能。
再植入陶瓷人工骨填充空腔,促进骨折愈合。因为髌骨已经骨折,使用可吸收外科缝线缝合固定骨折块,待骨折愈合后无需再次手术取出内固定。髌骨已经成为一个空心的鸡蛋壳,我们填入骨水泥增加髌骨的强度,以便术后早期活动膝关节。整个手术非常顺利。

手术结束后,杨颖被送回病房,医生根据他的情况制定了专属的护理方案,给他监测心跳血压、吸氧、补液,还开了止疼、防感染、防血栓的药,补充营养,时刻关注他的身体状况和伤口恢复,有任何变化都及时调整护理措施,就想让他能恢复得又快又好。

图3:术后的膝关节x片
温暖守护:从病房到回家,每一步都有人惦记
经过几天的精心治疗和护理,杨颖的恢复情况特别好。出院的时候,他精神状态不错,吃饭也正常,左膝盖的疼痛感比手术前轻了很多,没有不适症状。医生检查发现,他的生命体征平稳,膝盖上的敷料干干净净,拆开后能看到伤口对合得很好,没有渗血渗液,周围也不红不肿,就是因为术后还有点疼,膝盖暂时不能弯曲,不过脚尖脚底的感觉、血液循环和活动都没问题。
因为伤口的缝线还没拆,杨颖和家人想回家休养,医生把术后的注意事项、可能出现的风险都一一讲清楚,确认他们都了解后,请示上级医生后就为他办理了出院手续,还特意制定了详细的出院叮嘱,一步步教他怎么护理、怎么恢复,为他的康复之路保驾护航。
守护青春:专业骨科为肢体健康保驾护航
膝盖上的髌骨是支撑我们走路、屈膝的重要“支点”,这个部位骨折后,行走和活动会受到很大影响,对于21岁的杨颖来说,保住这个支点,就是保住他未来的每一步。
这次治疗,是一次精准的手术,更是一场有温度的守护。从术前的细致评估,术中的精心操作,到术后的耐心护理,每一个环节都藏着医护人员的用心。后续,科室还会安排定期复诊,时刻关注他的骨头愈合和膝盖恢复情况,给他专业的康复指导,助力他早日康复,重新找回那个活力满满的自己。
医生简介

尹一然
骨与关节外科副主任
教授,博士,硕士研究生导师
四川省医师协会骨科专委会委员
四川省医学科技创新研究会骨关节与加速康复专委会常务委员
四川省卫生健康英才计划中青年骨干人才
中国研究性医院协会骨科分会保髋学组委员
中国医师协会骨科再生修复协会会员
中国生物材料学会会员
泸州市医学会骨科分会委员
德国德尔康尼风湿病中心访问学者,香港圣玛丽医院骨科访问学者,美国哈佛医学院附属贝斯以色列女子医院访问学者
从事骨科十余年,擅长关节置换及骨肿瘤的治疗。

陈歌
骨与关节外科
教授,博士,硕士研究生导师
擅长关节疾病及骨肿瘤的诊断和治疗,有丰富的关节置换(包括复杂髋膝关节翻修术、DAA前路微创髋关节置换、膝关节单髁置换、高脱位髋关节发育不良),股骨头坏死保髋治疗,四肢畸形矫形和骨恶性肿瘤保肢手术经验。在川南地区率先开展3D打印多孔钽金属材料修复各种骨缺损。

彭琳
骨与关节外科
主治医师,博士
从事创伤、四肢骨折的诊治,股骨头坏死的保髋治疗,髋关节镜技术应用;主持地厅级科研课题三项,参与国家自然科学基金课题一项;发表SCI论文2篇。
(来源:西南医科大学附属医院 文/彭琳 图/骨与关节外科)
编辑:李永鑫
关注川南在线网微信公众号
长按或扫描二维码 ,获取更多最新资讯
其他