川南在线 发布时间:2023-05-18
27岁的刘女士近段时间老是头晕、恶心,到医院检查确诊颈椎反弓,可年纪轻轻怎么会得这个病呢?医生问其生活方式才找到原因,竟是因为刘女士天天躺沙发玩手机所致。

还有这位45岁的朱女士,近5年来经常觉得颈椎酸软疼痛,躺着、站着、坐着没一种姿势是舒服的,早上醒来不经意还会手指发麻,到医院拍片,确诊颈椎反弓。罪魁祸首依然是朱女士喜欢半躺沙发刷抖音,经常一刷就是半天,一抖就是5年!

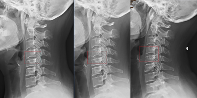
康复治疗前 康复治疗6周 康复治疗12周
随即,朱女士在西南医科大学附属中医医院针灸·推拿·康复科蒋奎娄治疗师的阶段性治疗下,进行了12周的康复训练,颈椎曲度才逐渐好转。
陈贵全
教授 主任中医师
针灸·推拿·康复科主任

四川省第五批名中医,四川省中医药管理局第五批学术及技术带头人,全国老中医药专家学术经验继承人,全国中医药急救先进个人,中西结合主任医师,外国留学生导师,硕士研究生生导师,针灸·推拿·康复科主任。擅长中西医结合治疗颈肩腰腿痛、骨与软组织肿瘤、老年性骨病、创伤骨折、儿童骨折、股骨头坏死、褥疮溃烂、类风湿性关节炎、骨关节炎,脊髓损伤、骨关节损伤、中风偏瘫、脑瘫、颅脑损伤康复等疾病,尤其擅长中西医结合“三步疗法——保守、微创、手术”治疗颈肩腰腿痛、类风湿及骨关节炎、肌痉挛。
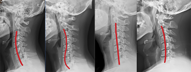
判断颈椎曲度通常借助X光片观察,主要有C型、Ƨ型I型和ɔ型。你属于哪一种?

正常C型 异常Ƨ型 异常I型 异常ɔ型
正常颈椎有一个“C”型曲度,颈椎反弓通常是颈椎病、颈椎劳损的早期表现,是日常生活、工作中长期保持一些不良姿势导致,如低头伏案看书、看手机、看电脑、半躺沙发看电视,并缺少应有的颈部锻炼。
颈椎反弓有什么症状?
颈椎反弓不一定有症状。有的人反弓了没有任何颈部疼痛不适症状,有的人没有反弓却头痛、头晕,脖子疼痛难忍。
如果不重视颈椎的问题,不提前进行干预,随着年龄增长,就容易患颈椎骨质增生、颈椎关节退变、颈椎间盘突出等疾病,失眠、头痛、头晕、手麻、颈痛、心慌、记忆力下降等身体不适就会逐渐出现。
如何纠正颈椎反弓?
1保持良好姿势

双足对齐平放,小腿与大腿呈90度,背挺直,可以在座椅与靠背之间放一个抱枕或者其他靠垫,支撑填充,使背部放松,同时又与大腿呈90度,最后抬头挺胸,耳垂与肩在一条垂直的直线上。
但是正确的姿势也不能保持太久,每间隔1小时一定要起来活动下身体,可伸伸懒腰、练习八段操。
2减少低头动作

低头越多,颈椎受到压力越大,正常颈椎C型曲度容易“压”成反弓的ɔ型!
■ 低头15度,颈椎受力12.2kg;
■ 低头30度,颈椎受力18.1kg;
■ 低头45度,颈椎受力22.2kg;
■ 低头60度,颈椎受力增加27.2kg。

所以,从今天起减少低头,或者尽可能少低一点,低头30度也总比低头60度强。玩手机抬高手,宁愿手累也别让脖子受苦。
3脊柱灵活性训练

脊柱包括颈椎、胸椎和腰椎,颈椎反弓通常整个脊柱曲度都存在问题,可能是胸椎曲度异常导致,改善整个脊柱伸展、屈曲的灵活性,如猫式伸展训练。
4常练八段操
西南医科大学附属中医医院针灸·推拿·康复科根据现代颈椎病与腰椎疾病发病特点,在科室主任陈贵全教授的带领下,创编了运动疗法——八段操,动作简单、练习方便,对于脊柱疼痛、退变预防和治疗效果非常显著,较多患者改善了颈腰椎问题。
如果您有颈椎反弓不适
一定要咨询专业人员
针灸·推拿·康复科














针灸·推拿·康复科充分发挥传统中医药特色治疗,积极开展针刺、艾灸、推拿、气功点穴、整脊、短杠杆微调、中药外敷等传统康复手段,同时开展现代康复治疗,如小针刀、物理仪器治疗、运动疗法、作业疗法、言语吞咽疗法、关节松动、偏瘫肢体训练、截瘫康复训练等。以中医正脊、小针刀、火疗、火针、穴位埋线、头皮针、定点注射等方法作为科室特色,治疗除中风、颈腰椎病、骨关节疾病、面瘫、带状疱疹等常见病以外,还擅长内科疑难杂病的治疗如失眠、胃痞、泄泻等以及妇科月经不调、不孕不育等,开展小儿推拿、闭合性软组织损伤的徒手整复、耳石症手法复位、针灸美容、针灸孕前调理、产后调理、亚健康调理、儿童康复、心肺康复、支具矫形制作等。
治疗区、住院部地址:第二住院大楼5、7楼
咨询电话:0830-2522923
(来源:西南医科大学附属中医医院)
编辑:肖昂
关注川南在线网微信公众号
长按或扫描二维码 ,获取更多最新资讯
其他