川南地区综合性网络门户

百业

买五险一金!宜威高速招人啦!提供免费工作餐、宿舍……
12
2023-08

时间: 2023-08-12

宜威高速K线招聘收费员、路巡员、信息员啦招聘人数:若干!快看你符合条件吗?岗位条件收费人员 (1)大专及以上学历(以学信网查询结果为准),条件优秀者可放宽至高中学历。(2)年龄及身高:20-35周岁优先考虑;男性165cm以上,女性155c...

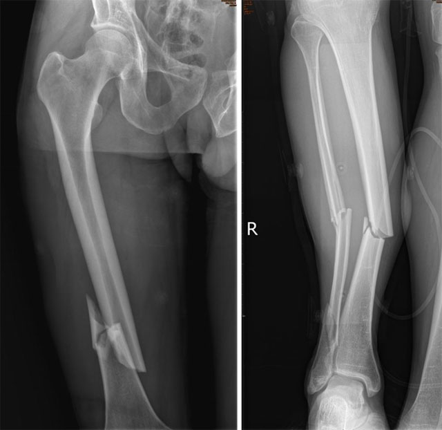
【围观】大腿、小腿3根骨头摔得“稀巴烂”
12
2023-08

时间: 2023-08-12

2023年3月31日,王先生被重物砸伤右下肢,当即出现右下肢疼痛、活动受限,随即联系西南医科大学附属中医医院骨伤科创伤·正骨组,科室手术团队严阵以待,做好紧急救治准备。全身多处骨折,出血过多出现失血性休克术前x线 完善X线等相关检查提示:右...

【“五心”医院创建】锦旗连连,赞誉满满,仁心仁术获肯定!
12
2023-08

时间: 2023-08-12

一面锦旗,一份肯定寥寥数语,情意深重承载着荣誉传达了谢意倾注了期盼……合江县中医医院在“五心”医院建设过程中,不断加强行风建设,提高技术水平,改善服务态度,得到广大患者及家属的点赞及认可。近期,医院接连收到患者赠送的旗、感谢信,表达对医院医...

即日起可报名丨龙马潭区人民医院招聘39人
11
2023-08

时间: 2023-08-11

 近日,泸州市龙马潭区人民医院 (泸州市第三人民医院)发布2023年第三季度招聘信息,拟面向社会诚聘39名专业人才。壹招聘信息  岗位需求:  引进待遇 :贰应聘方式  >  即日起-8月15日  >  请将个人简历及相关证件复...

【扩散】泸州发布高温预警!
10
2023-08

时间: 2023-08-10

 泸州市气象台2023年8月9日11:24发布高温橙色预警信号:预计江阳区、龙马潭区大部分地方最高气温将升至38℃以上。  明天,将正式进入三伏天中的末伏,西南医科大学附属中医医院,冬病夏治三伏贴“闰中伏”也来了,2023年8月10日,闰中...

西南医大附院徐勇教授:可控可治!确诊这类癌症,不必“谈癌色变”
10
2023-08

时间: 2023-08-10

 “甲状腺结节中只有10%左右的患者会发生癌变,大部分甲状腺癌是可治疗,愈后效果良好的一类疾病。”  西南医科大学附属医院党委书记、西南医科大学代谢研究所所长徐勇教授提醒患者,面对可控可治的甲状腺癌,不必“谈癌色变”。  以下视频来源于半月...

泸州市人医:实施“四六八”工程、建设“五心”医院,让您就医更舒心!
09
2023-08

时间: 2023-08-09

 为进一步提高医疗服务能力,泸州市人民医院以泸州市卫生健康委员会印发的《泸州市就医体验感“五心”医院建设实施方案》为基础,为实现“放心、爱心、舒心、暖心、省心”的“五心”医院建设目标,通过实施“四六八”工程,从“四个维度”全方位发力,以“六...

【医患情】用爱和技术守护,让生命在透析中延续……
09
2023-08

时间: 2023-08-09

 因肾病结缘,因透析相识,在合江县中医医院血液净化中心,一支由透析患者组成的“肾友之家”让他们倍感温暖。  为什么会建立“肾友之家”?医院血液净化中心怎么样?  肾友之家:一个温馨的港湾  为构建和谐友爱的医患关系,搭建良好的肾病科普知识交...