川南在线 发布时间:2021-07-07
近日,西南医科大学附属医院神经外科后颅底组及高血压性脑出血组成功进行了一例脑干出血微创手术,成功将四十来岁的患者王先生从死亡线上拉回来,患者家属特送上锦旗表示感谢。

脑干是生命中枢,主管呼吸、心跳和觉醒,也是大脑指令向下传达的重要通道。脑出血致死致残率高,脑干出血更加凶险,部分病例很快死亡,有的虽经抢救仍留下较严重的后遗症。
由于其区域狭小、位置深,重要结构多,长期以来此处的脑出血都是内科治疗。随着近年来微创技术和理念的发展,西南医科大学附属医院神经外科成功运用微创手术方式,抢救了一些脑干出血的病人,并取得了满意的疗效。

6月10日晚,王先生突然昏迷,家人立即将其送往医院,王先生此时已经没有自主呼吸、深度昏迷、双侧瞳孔散大等表现,还有心跳,情况万分危急,经值班医生初步判断,王先生出现了脑出血的症状,医院立即开启了常规脑卒中绿色通道。
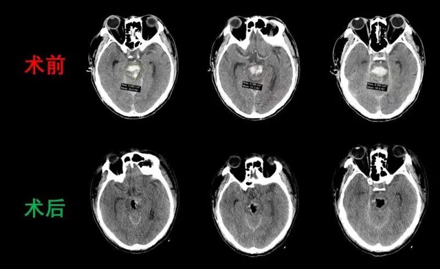
急诊行脑CT提示王先生为脑干出血,神经外科立即组织多位医生联合会诊,制定出手术方案。在王先生入院仅半小时后,便对其实施了高精度脑干出血微创手术,完成这个手术的团队包括,手术团队:明扬教授、周杰教授、李昊、李慎杰、何海平等医生,麻醉:唐健文,手术护士:吴倩,唐小燕,整个团队经过四小时鏖战,最终将王先生从鬼门关拉了回来。

高血压性脑出血是在长期高血压的基础上脑血管弹性变差,脆性增加,多发血管壁损害,在血压猛然升高的情况下受损的血管壁破裂,血液进入到脑组织,俗称脑溢血。高血压性脑出血目前的救治目标:第一保命,第二保功能,即第一要让病人活下来,第二要让本人活的体面,减轻对家庭,对社会的负担。

高血压性脑干出血就是脑干血管破了导致的脑干出血,俗话说脑出血“非死即残”,脑干出血就是“九死一生”,是脑出血中最为严重的一种。
当脑干出血超过5ml(约1个手指的大小)就需要手术治疗,对于脑干出血的有效救治目前仍是医学难题。“王先生脑干出血量高达到15ml(约3个手指的大小),因此手术精度和难度相当高”。
据明扬教授介绍,通常情况下,严重脑干出血患者从发病到死亡,几分钟到几个小时不等。因此,脑干出血手术必须做到“既快又准”,“偷”了脑干的出血,还不能惊动脑干,更不能损伤脑干,脑干没有1g是多余的(约0.2钱,手指甲覆盖的指头大小)。
术后即刻患者双侧瞳孔缩小,一侧缩小较为明显,说明出血对脑干的压迫得到了有效的缓解,术后颅脑CT提示脑干的血清除满意。

微创,不是老百姓认为的“开个小口”,神经外科的微创理念是:微主要是指的是在显微镜下手术,微创指的是在显微镜下对脑组织、脑神经及脑血管的保护,在尽量不牺牲正常的脑组织、脑神经及脑血的前提下进行手术,这才是神经外科的微创。

据了解,西南医科大学附属医院在四川较先成立高血压性脑出血组(专攻高血压性脑出血)及后颅底组(后脑勺,脑干在后脑勺),这两个组通力长期合作,专注于对脑干出血精准微创手术研究。如今,西南医科大学附属医院在脑干出血的救治方面已积累了丰富的经验,在最近的一个多月时间里,已成功完成10多例同类手术,多次收到患者及家属送来的锦旗。

李慎杰医生说,“脑干出血多数情况是由基础病并引发的,比如高血压(最主要)、高血脂、糖尿病等,平时注意保持健康的饮食和生活习惯,才是脑干出血疾病最大的克星。主要是预防脑干出血的发生,一旦发生后果不堪设想,医生不是神,有时医生也无力回天,所以脑干出血还是重在预防,一旦发生,当立即以最快速度送到能够救治脑干出血的医院,比如西南医科大学附属医院神经外科。”
专家介绍
陈礼刚

大外科主任
外科教研室主任
神经外科主任
高血压脑出血组组长
二级教授 博士
博士研究生导师
国务院特殊津贴专家
四川省学术技术带头人
国家自然基金评审专家
国家科技进步奖评审专家
中华医学会神经外科学分会全国委员、小儿神经外科学组委员
中华医学会创伤分会神经创伤专委会副主任委员
中国医师协会神经外科分会常委、功能学组副主任委员
中国研究型医院学会神经外科专业委会副主任委员
中国研究型医院学会神经外科专委会神经创伤专家委员会主任委员
四川省卫生健康首席专家
四川省医学会神经外科专委会副主任委员
四川省医师协会神经外科医师分会会长
2020“王忠诚中国神经外科医师年度奖-学术成就奖”获得者
2020年中国神经外科领域高学术影响学者(学术活跃度70%)
从事神经外科临床、教学及科研工作33年。尤其擅长脑功能性疾病、脑肿瘤、颅脑损伤的规范化救治及儿童脑肿瘤的个体化治疗。先后赴日本东京大学医学院、国立台湾大学医学院、美国斯坦福大学医学院、美国哥伦比亚大学访问学者。近5年发表文章200余篇,在《柳叶刀》和《神经肿瘤》等世界著名杂志发表SCI论文80余篇。主编全国高等学校教材4部,副主编全国高等学校教材1部,主编专著2部,参编各种教材及专著16余部。已完成国家自然科学基金课题等8项,在研课题包括国家自然科学基金面上项目,国际协作项目及省卫生厅项目等16项科研课题。2002年获四川科技进步二等奖,2008年获四川科技进步三等奖,2011年获四川科技进步一等奖,2013年获中华医学科技进步三等奖,2017年获华夏医学科技奖二等奖,2018年获四川省第八届高等教育优秀教学成果一等奖,2019年获四川省科技进步二等奖、中国高校科技进步二等奖及华夏医学科技三等奖,2020年获北京医学科技一等奖。
门诊时间:周二上午康健中心院区
明扬

胶质瘤、后颅底、功能神经外科专业组组长
硕士研究生导师
四川省医学会神经肿瘤专业委员会副主任委员
四川省医学会神经外科专委会功能学组副组长
四川省医师协会神经外科医师分会放射神经外科专业委员会委员
泸州市医学会神经外科专委会委员
从事神经外科临床、教学及科研工作20余年,在后颅底肿瘤、脑功能性疾病(如三叉神经痛,舌咽神经痛,面肌痉挛的显微血管减压治疗及帕金森病的深部电刺激治疗),胶质瘤等诊断与治疗方面有丰富的经验,技术达到国内先进水平。先后到土耳其、韩国、伊朗等国家学习和学术交流。公开发表论文40余篇,论著5部,已完成课题1项,在研课题1项。
门诊时间:周一上午康健中心院区
周杰

外科党总支书记
胶质瘤、后颅底、功能神经外科专业组副组长
副教授 博士 博士后
硕士研究生导师
四川省学术技术带头人后备人才
四川省卫健委学术技术带头人后备人才
四川省海外高层次留学人才
中国医疗保健国际交流促进会神经外科分会青年委员
中国抗癌协会胶质瘤专业委员会青年委员
四川省医师协会颅底神经外科专业委员会副主任委员
四川省医学会神经外科专业委员会委员
四川省医学会高压氧医学专业委员会委员
四川省医学会神经外科专业委员会功能专业学组委员
四川省医学会神经外科专业委员会神经肿瘤专业学组委员
泸州市神经外科质量控制中心专家
从事神经外科临床、教学及科研工作10余年,擅长胶质瘤个体化综合治疗、复杂颅底中线肿瘤及功能性疾病显微手术治疗。入选国家留学基金委“西部人才”计划,曾在美国哈佛医学院麻省总医院进行博士后研究,德国汉诺威国际神经科学研究所、美国圣路易斯大学医学院临床访问学者;曾获西南医科大学双语教学大赛第一名、泸州老窖‘金教鞭之星’奖;现主持省、厅市级等各层次课题9项,参研自科资助课题1项;申请国家实用新型专利7项,现发表文章30余篇,其中第一作者发表SCI文章6篇,中文核心期刊12篇,参编英文专著1部,中文专著4部。
门诊时间:周三上午康健中心院区
(来源:健康西南)
编辑:李永鑫
关注川南在线网微信公众号
长按或扫描二维码 ,获取更多最新资讯
其他