川南在线 发布时间:2025-02-09
近期,西南医科大学附属中医医院普外·疝与腹壁外科接诊了一位不寻常的病人,48岁的许女士在一个月前空腹时食用柿子后,开始出现腹部胀痛的症状,主要集中在上腹部。进食后,她的疼痛感加剧,并伴有明显的哽噎感,而空腹时疼痛有所减轻,同时伴有反复的烧心不适。

许女士前往当地医院就诊后(具体诊疗经过不详),病情未见好转,为寻求进一步治疗来到了西南医科大学附属中医医院普外·疝与腹壁外科就诊,彭婧医师接诊后进行腹部体格检查发现患者上腹部有明显压痛,详细询问病史及结合院外相关检查考虑诊断“胃结石”。
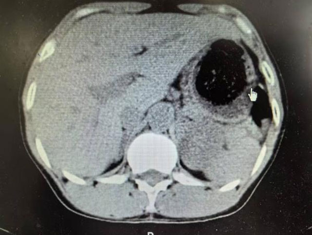
入院后,医生进一步为许女士完善了全腹部CT检查,检查结果提示:小弯侧胃壁广泛肿胀、胃周脂肪间隙稍模糊、胃内两枚胃石;胃镜检查,检查结果提示:慢性萎缩性胃炎、胃多发结石、胃角溃疡。


经科室副主任郭伍斌副教授组织讨论后,决定实施手术取石。完善术前检查后,郭伍斌副教授、罗伟主治医师等在全麻下顺利为许女士实施了剖腹探查+胃切开取石术。术中探查发现胃壁明显水肿,厚约1cm;胃腔内潴留胃结石两枚,最大约7*6*6cm³。

术后,许女士经补液、中医中药等对症治疗后,腹胀、腹痛症状完全缓解,恢复正常饮食后顺利康复出院。
罗伟主治医师介绍:胃结石,又称为胃石,是指在某些情况下,食物残渣与胃蛋白酶原等胃液成分凝结成块,并在胃内存留所形成的固体状物质。
胃结石的形成原因
1.胃结石的形成与饮食习惯密切相关,大多数情况下,胃结石的形成与某些特殊的食物有关,其中最常见的食物是柿子、山楂等,部分患者在食用完黑枣后,也可能出现胃结石。这些食物中含有大量鞣酸和果胶,鞣酸在胃酸的作用下容易形成不溶于水的鞣酸蛋白,鞣酸蛋白在胃中沉淀,与其他食物粘合,容易导致消化不良造成胃结石。

2.钙摄入过多也可能导致胃结石,因为钙属于大分子,在胃中胃酸需要对摄入的钙进行溶解,将钙离子从化合物中释放出来。当摄入钙过多时,不能及时溶解,容易在胃中堆积造成结石。
3.胃动力不足也可能导致胃结石,患者饮食不规律、胃分泌功能紊乱、精神压力过大、功能性消化不良时容易出现胃动力不足,导致胃部蠕动减轻缓,消化能力减弱,容易出现胃结石。
胃结石的症状
1.上腹部疼痛
2.恶心呕吐
3.腹胀与胃胀气
4.全身症状
5.消化道出血
6.排便困难
胃结石如何治疗
1.药物治疗:结石较小、停留时间较短,可通过内科药物治疗,如碳酸氢钠配合抑酸剂,如质子泵抑酸剂口服5-7天,可软化结石,使之消失。也可以采用中药和西药的方法来融化胃结石,中药可以使用排石颗粒。
2.内镜下治疗:多采取往胃石表面注射碳酸氢钠,将其软化,再通过圈套器多次勒割使之变成碎小结石排出,或通过内镜下网拦套取出体外。也可以通过胃镜取石或者激光冲击的方式处理,最后经过幽门排出体外。

3.手术治疗:经内科治疗及内镜治疗均无效果的顽固性结石,可通过外科手术将结石取出。
胃结石如何预防
1.控制食物摄入:不空腹食用柿子、山楂、黑枣等食物可以预防胃结石。
2.控制钙摄入量:避免摄入过多的钙,以防止在胃中堆积造成结石。
3.增强胃动力:保持饮食规律,避免胃分泌功能紊乱,减轻精神压力,预防功能性消化不良,从而增强胃动力,预防胃结石的发生。

总之,胃结石是一种常见的疾病,其形成与饮食习惯密切相关。了解胃结石的形成原因、症状表现、治疗方法和预防措施,有助于我们更好地预防和治疗胃结石。
罗伟
主治医师
普外·疝与腹壁外科

主治医师,从事普外疝与腹壁外科工作10余年,曾进修于四川大学华西医院胃肠外科中心,重庆医科大学附属第一医院肝胆外科,擅长胃肠、肝胆、疝疾病微创外科,熟练掌握胃癌根治术、乳腺癌根治术、结直肠癌根治术等大型手术;腹腔镜下胆囊切除术、阑尾切除术、疝无张力修补术、穿孔修补术等常见病的微创治疗及各种复合伤、多发伤、急腹症以及多种普外科急症的诊断及治疗。
(来源:西南医科大学附属中医医院)
编辑:肖昂
关注川南在线网微信公众号
长按或扫描二维码 ,获取更多最新资讯
其他