川南在线 发布时间:2025-02-10
近日,西南医科大学附属中医医院介入·血管科团队成功为一名73岁老年男性患者取出了滞留在下腔静脉6年多的滤器,并通过微创的方式彻底清除了下腔静脉和髂静脉内的血栓,术后患者恢复良好,目前已平安出院。

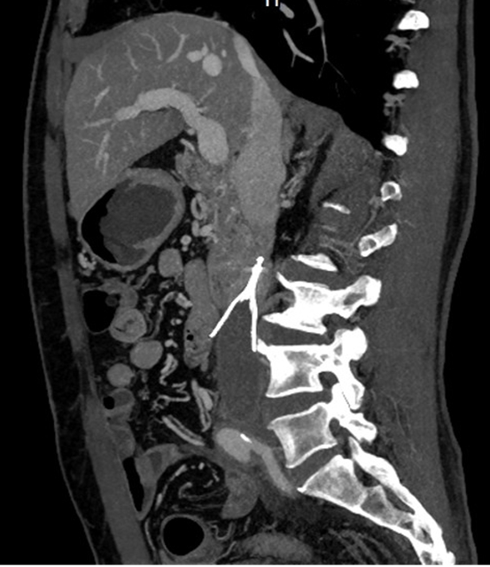
术前CT静脉血管成像,显示下腔静脉内滤器留置,滤器下方下腔静脉内血栓形成

术后取出的下腔静脉滤器及其附着的血管内膜组织
一位73岁的老人,因“下腔静脉滤器植入术后6年余,双下肢肿胀 1 天”到西南医科大学附属中医医院就诊。

接诊的介入·血管科袁罡博士详细询问病史后了解到,6年前,老人因“双下肢深静脉血栓形成(DVT)合并肺栓塞”到西南医科大学附属中医医院进行了“下腔静脉滤器植入+肺动脉溶栓术”全力抗击病魔。术后抗凝治疗让老人的身体状况逐步趋向稳定,出院后的他每月按时复诊,然而超声检查显示血栓部分再通及肺动脉残余血栓,使得滤器取出时机难以确定,只能继续抗凝治疗并定期复诊评估滤器取出时机。
滤器植入3个月后,老人于当地医院复查,被告知下肢血栓依旧存在,不建议取出滤器,从此便开始了漫长的抗凝治疗之旅。
直至1天前,老人的双下肢仿佛被一股无形的力量紧紧束缚,肿胀得厉害,每走一步都觉得很累,行走无力感让他苦不堪言,只好再次来到西南医科大学附属中医医院寻求救治。经详细询问病史得知,原来是因为一个月前的膀胱手术,被迫停用抗凝药物,从而诱发了此次血栓危机。
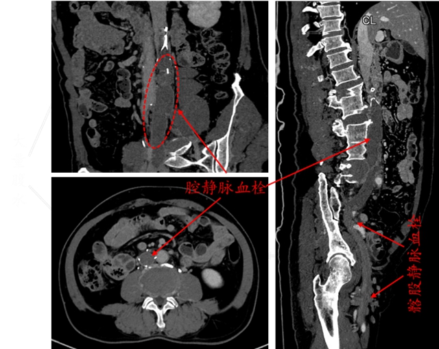
入院后一系列全面且细致的检查结果令人揪心:下腔静脉滤器植入术后并发血栓形成:滤器以远的下腔静脉及双侧髂静脉内全程血栓形成,双下肢深静脉血栓形成(混合型,急性期)。

深入的病情分析清晰地指出,滤器植入长达 6 年,加之抗凝药物停用,致使下腔静脉及髂静脉血栓大量堆积,此刻单纯依靠抗凝治疗已难以有效化解危机,唯有彻底清除血栓才有可能降低远期并发症的发生风险。
结合老人过往病史以及各项检查数据来看,血栓处于急性期,而老人整体身体状况尚可,这为开展机械血栓清除手术创造了有利条件;但滤器植入时间远超滤器回收窗(通常滤器植入术后需要3月内取出),由此引发的滤器贴壁、辅支穿孔等棘手问题,让手术的难度和风险急剧攀升,一份严谨周密的手术预案成为手术成功与否的关键所在。

在与患者及家属进行了充分的沟通,并获得他们的理解与同意后,“下腔静脉、髂静脉溶栓+血栓抽吸+必要时腔静脉滤器取出术”这场艰难的手术战役正式打响。
手术室内,医生们全神贯注,小心翼翼地操作着各种精密的医疗器械,手术有条不紊的进行,不到一小时时间,老人的血栓就被全部清理干净。

为了避免继续留置滤器可能再次给老人带来血栓形成或其他严重并发症,手术团队决定为老人取出这枚沉睡了6年多的滤器。然而,这枚滤器已经在患者体内留置时间过久,远远超出了其3个月回收的时间窗,手术难度可想而知。
这种远超时间窗取出滤器的病例,文献也少有报道。能否顺利取出滤器着实让手术医生捏一把汗!手术室内,医生先尝试了用常规方法取出滤器失败。接着,胆大心细的介入·血管科医生们改变策略,经过精湛的技术从股静脉成功地揪出了这个“顽固”的家伙!

手术非常顺利,整个操作都是在局麻下完成的,术中老人也并没有出现腹痛不适,术后第二天患者就下床自由活动。术后3天复查显示:下腔静脉及髂静脉未见明显异常,这进一步证实了老人的血栓已被完全清理。老人得知不仅血栓被彻底清理、还取出了这个带了6年多的滤网后,露出了久违的笑容,老人及其家属对手术结果非常满意,也为介入·血管科的老师们竖起了大拇指!

袁罡
介入·血管科
主治医师
医学博士
中共党员,医学博士。对血管外科及介入科常见病和多发病的微创介入诊疗具有一定的临床经验。擅长周围血管疾病(如下肢静脉曲张、下肢肿痛、下肢溃疡、动静脉血栓、动脉瘤、动脉夹层、动脉闭塞、动脉出血、血管瘤以及血液透析通路狭窄或闭塞等)、肿瘤性疾病(如肝癌、肺癌等)及各种囊肿性疾病(如肝囊肿、肾囊肿、盆腔囊肿)等的综合介入治疗。
下腔静脉滤器(IVCF)是为了预防下腔静脉系统(包括下肢静脉、髂静脉和下腔静脉等)栓子脱落移位至肺动脉引起肺栓塞而设计的一种保护性过滤装置,也被俗称为“滤网”。主要用于急性下肢深静脉血栓形成后有抗凝、溶栓禁忌的患者,或血栓负荷过大需要行血栓清除手术的患者以及一些因外伤后并发下肢深静脉血栓形成需要做骨科大手术的患者。

滤器植入后虽然可以预防致命性肺栓塞,但长期留置滤器也可能出现下腔静脉滤器相关并发症,包括静脉血栓形成和闭塞,这些并发症随着滤器放置时间的增加而增加。有文献报道,滤器植入之后即便联合抗凝治疗,5年时仍有高达22%的病例可出现下腔静脉的闭塞。
滤器超时间窗并发症主要包括以下几种:
1.血栓形成相关并发症:长时间留置滤器在体内可能导致血栓形成,包括急性血栓形成、下腔静脉慢性闭塞、慢性深静脉血栓形成(DVT)和血栓形成后综合征 (PTS)。
2.滤器相关并发症:滤器移位;滤器断裂或部分异位栓塞;滤器穿透性疼痛;滤器穿透后器官损伤等。
3.终生抗凝风险:长期抗凝治疗可能导致出血风险增加,以及患者的心理负担。
4.滤器回收困难:超时间窗的滤器可能因内膜增生导致滤器嵌顿,影响回收效率。

因此,超时间窗未取出滤器对患者危害极大。为了减少这些并发症的风险,建议在滤器置入后严格遵守时间窗,并在医生的指导下进行适当的管理和监控。尽量在滤器时间窗内回医院取出滤器,特殊情况下一定要按专科医生的要求定期复诊和严格抗凝治疗,避免出现严重并发症。
(来源:西南医科大学附属中医医院)
编辑:李永鑫
关注川南在线网微信公众号
长按或扫描二维码 ,获取更多最新资讯
其他