川南在线 发布时间:2025-04-12
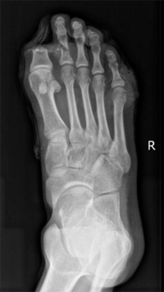
周末一大早,30岁的小李在家中用切割机锯木条。为了稳定木块,小李右脚用力踩着木块。突然,锯条断裂,锋利的锯条瞬间将小李右脚大拇趾切断,第二根脚趾被切了一半,剩下一半还悬在脚上,疼痛剧烈、出血不止,家人赶紧用毛巾止血,用口袋把断掉的大拇趾装好,将小李送到附近医院。
医院接诊后,立即为小李清创、止血、包扎,并建议小李立即到大医院进行断趾再植。于是家人带着小李立即驱车来到了西南医科大学附属中医医院骨伤科手外・儿骨・烧伤整形组。


黄宇主治医师接诊后,立即组织了科室专家会诊,并将小李断掉的大拇趾放进4℃的冰箱保存。“通常断趾在没有血供的情况下,常温只能保存8小时左右。”科室主任陈孝均副教授说。
从小李受伤送到医院,已经过去了5个小时。事不宜迟,必须立即进行断趾再植手术。于是,陈孝均副教授、医疗组长刘安铭副教授、黄宇主治医师等共同为小李制定了急诊手术方案,由黄宇主治医师主刀。
16:45,手术开始。麻醉、消毒、清创、止血……

相较于手指断裂,脚趾断裂的手术难度更大,因为手术时手指更容易摆成方便医生操作的体位,而脚趾没那么灵活。显微镜下,黄宇仔细缝合一根根断掉的神经和血管,每吻合一根,都要检查血供情况。
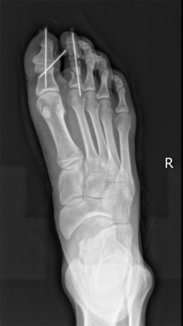
手术历时7个多小时,直到半夜12点才结束。术后予以抗感染、抗血管痉挛、补液扩容等治疗。最终保住了小李右足的两根脚趾。



黄宇
主治医师
骨伤科手外・儿骨・烧伤整形组
曾于重庆医科大学附属儿童医院、陆军军医大学新桥医院进修学习,从事手足显微外科工作10余年。专业擅长:小儿手足先天畸形、创伤后遗畸形的矫形,对断肢(指)再植、周围神经损伤修复、慢性创面修复(骨髓炎、压疮、糖尿病足)等方面有丰富的临床经验。
断指(趾)的急救:包括止血、包扎、保存断指(趾)和迅速转送。
断面如有活动性出血,应用清洁敷料加压包扎止血,包扎时要用力,防止大出血出现失血性休克,甚至死亡。最好不用止血带,必须应用止血带时,则应半小时放松一次,防止时间过长加重损伤。
对于不完全离断的指(趾)体,先用无菌敷料或干净布料覆盖,然后用小夹板或替代品进行临时固定。在固定过程中对连接断肢与躯体的组织不要过度牵拉和扭曲,如断指(趾)仍在机器中,应将机器拆开取出断指(趾),切不可强行拉出断指(趾)或将机器倒转,以免加重损伤。
对于完全断离的指(趾)体,将断指(趾)用无菌敷料或清洁布料包好后,外套塑料袋密封,把密封的塑料袋放在温度低(0-4℃)的冰或水的容器中,以防止冰水渗入。这样可以减缓伤口的细菌繁殖和断离肢体的细胞代谢,延长组织细胞坏死时间。有利于争取手术操作时间,所以指(趾)体必须冷藏。另外一方面必须干燥,禁止把指(趾)体放在盐水、生理盐水、酒精、消毒液等里面,因为浸泡会破坏细胞组织结构,影响再植手术的成功。
当然,并不是所有的断指(趾)都能再植,以下情况就不宜再植:
①患全身性慢性疾病,不允许长时间手术,或有出血倾向者。
②断指(趾)多发性骨折及严重软组织挫伤,血管床严重破坏,血管、神经、肌腱高位撕脱者。
③断指(趾)经刺激性液体及其他消毒液长时间浸泡者。
④在高温季节,离断时间过长,断指(趾)未经冷藏保存者。
⑤患者精神不正常,本人无再植要求且不能合作者。
(来源:西南医科大学附属中医医院)
编辑:肖昂
关注川南在线网微信公众号
长按或扫描二维码 ,获取更多最新资讯
其他