川南在线 发布时间:2022-01-03

学校正在举行运动会,初一三班的涛涛(化名)在第五跑道上马上就要到达终点,同学在旁边加油鼓劲。
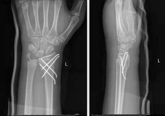
突然,涛涛脚下一滑,左臂重重着地,疼得大叫起来。老师赶紧联系了涛涛妈妈,同时将涛涛送往医院救治,诊断为左尺骨远端骨折伴桡骨远端骨折。

14:34,正在值班的西南医科大学附属中医医院骨伤科手外·儿骨·烧伤整形组贺智榆接诊后,与值班护士一起为涛涛进行了相应的治疗和护理。
15:00,一阵急促的电话铃响起,10岁的小林(化名)放学回家路上不慎摔倒,疼痛难忍,爸爸赶紧将他送到了西南医科大学附属中医医院急诊科。
急诊科医生接诊后,立即通知了贺智榆。贺智榆在有条不紊地处理完涛涛的骨折后,又赶紧为小林诊治,小林被诊断为左手尺桡骨骨折。

21:00,又来了一位可爱的小姑娘珊珊(化名)。11岁的珊珊在家玩耍时不慎摔倒,左手着地,当即感觉左腕关节疼痛,珊珊妈妈立马将她送往医院救治,被诊断为左桡骨远端骨折。

骨伤科手外·儿骨·烧伤整形组副主任(主持工作)陈孝均教授解释说:
根据患儿情况,陈孝均主任与贺智榆医生决定采取保守石膏夹板固定、微创克氏针手术治疗等方式,经过治疗,三个孩子都顺利出院。

孩子冬季运动注意事项
1、进入冬季,孩子肌肉和关节的活动性大大降低,所以家长们更要让孩子做好运动前的准备活动!充分、科学的准备活动可以提高神经肌肉兴奋性,防止运动过程中造成损伤。
2、冬季运动时,最好不要穿纯棉类衣物。孩子运动后会出汗,衣服就会贴在身上!这时候,湿气容易偷偷溜进体内导致感冒,可以给孩子穿着速干面料衣物,“速干”的特点让出汗后的身体变得干爽!
3、运动后只需要少量补水,润湿喉咙和口腔就可以啦!注意,喝水的时候不要太快,可以在运动后半小时左右,补充200ml左右纯净水。

适合孩子的冬季运动
散步

如果是带小孩子散步,尽量不要走得太远,以免孩子体力不支,而且要给他穿一双舒适的棉鞋,鞋子面料要软,鞋底要防滑,这样不仅能让孩子走得舒服,还不用担心他会摔倒。
四肢伸展操
幼儿园、小学还是高中都做过早操,内容大都是一些伸展运动,每一个动作都具有针对性,还可以松筋骨。

所以家长也可以带孩子做一些伸展操,这样在锻炼身体的同时,还能让他长高,做操不受地方限制,无论是在家里、小区、公园等都可以做。
跳绳
跳绳是一项拔高运动,如果每天坚持跳绳15分钟,就会有明显的增高效果,跳绳的姿势没有过多的要求,只要保证自己不被绊倒就可以了。
但是,这项运动只适合5岁以上的孩子做,如果孩子年龄过小,很容易因为弹跳过度而损伤骨骼。

(来源:西南医科大学附属中医医院)
编辑:邱果
关注川南在线网微信公众号
长按或扫描二维码 ,获取更多最新资讯
其他