川南在线 发布时间:2022-05-18
105岁股骨颈骨折患者于西南医科大学附属医院成功完成人工半髋置换术
5月5日,五一节假期收假的第一天,105岁的张婆婆正在西南医科大学附属医院骨与关节外科尹一然副教授和鲜海医师的搀扶下,借助助行器进行术后的康复锻炼,在尹一然副教授亲切的问询中,张婆婆一直笑眯眯地回应道:“不累!不累!”谁曾想就在前一天,张婆婆还只能窝在病床上一动不动,吃饭睡觉都得依靠自己女儿照顾呢!
“张婆婆的手术非常成功,最为危险的第一关已经过了,现在更加重要的是让周婆婆重新站起来!“尹一然副教授说。

尹一然副教授和鲜海医师指导张婆婆术后第二天下地活动
百岁老人五一迎来生死挑战
5月3日,西南医科大学附属医院骨与关节外科迎来了一位特殊的病人——105岁的股骨颈骨折患者张婆婆。当天下午,张婆婆在小区散步的时候不慎摔倒,当即无法站立,张婆婆的女儿赶紧将张婆婆送到西南医科大学附属医院进行救治。
“我妈妈这次摔倒之后一下子就站不起来了,而且因为年龄比较大,很多医院都不敢做手术,因此我们第一时间就想着把老母亲送到西南医科大学附属医院来。本来以为恰逢五一假期,医院可能没多少医生在,没想到第二天专家教授们就为我母亲进行手术,让我妈妈重新站了起来。真的很感谢西南医科大学附属医院骨与关节外科的专家!”

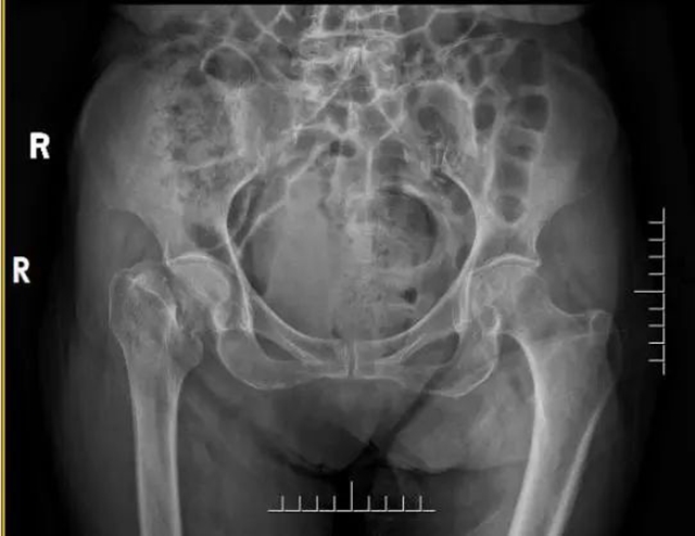
张婆婆术前X线
张婆婆在劳动节期间入院,骨与关节外科主任李忠教授接到消息后高度重视,第一时间来病房查看病人,召集专家团队为张婆婆拟定手术方案。
李忠教授说道:“张婆婆年龄很大,同时右侧股骨颈发生了骨折。老年人发生股骨颈骨折,通常被称为人生最后一次骨折。特别是80岁以上的高龄老人如果发生这种骨折,保守治疗死亡率高达30%以上,手术治疗可将死亡率降低一半以下。所以一般情况下,我们建议发生股骨颈骨折的老人,只要能耐受麻醉,应及时手术,提高其生存率。因此,我们要尽可能快的为张婆婆进行手术,缩短从受伤到手术时间,就是抢救生命!”

尹一然副教授与鲜海医师指导张婆婆功能锻炼

尹一然副教授亲切询问张婆婆病情
多学科通力合作助老人共渡难关
张婆婆年龄比较高,自身本来有高血压、脑梗死、脑萎缩、骨质疏松、肾囊肿、贫血等多种疾病,同时也在长期服用阿司匹林等抗凝药物,因此手术难度、手术风险以及术后出现并发症的概率其实是非常大的!
而且张婆婆曾患有老年痴呆,并且自从受伤之后,精神状况就不是很稳定,出现了呓语、谵妄等器质性精神障碍的症状,同时张婆婆自受伤后血压也不是很稳定,在入院后还发生了心房扑动和急性左心衰,张婆婆伤后并发的急性心功能不全更加大了手术的困难程度。
“对于股骨颈骨折患者来说,骨折以后的手术时间越早越好,早期手术能显著减少术后并发症和降低死亡率。然而,张婆婆等高龄患者常并存心功能不全、贫血等严重疾病,受伤后一般都要调整一段时间,以便术前把身体状态调整得更佳,这使得术前等待时间明显延长。”尹一然副教授表示:“而我们西南医科大学附属医院作为区域医疗中心,具备突出的综合实力和多学科配合能力,多学科协作,将术前等待时间大大缩短,这也是我们勇于挑战风险为张婆婆进行手术的底气和保障。”

参与手术人员合影留念
2022年5月4日,五一节假期的最后一天,经由神经内科、心血管内科、心身医学科、康复医学科会诊评估后,在骨与关节外科 、麻醉科、手术室的通力合作下,由李忠教授、尹一然副教授、鲜海医师共同为张婆婆实施了全麻下右髋关节半髋置换术。术后张婆婆安全返回病房,第二天便开始下地活动。
从受伤倒地无法战立到重新站起来,只过了不到24小时,张婆婆的女儿感激地说道:“真的很感谢西南医科大学附属医院骨与关节外科的专家教授们,能在我母亲受伤之后第一时间为我妈妈进行手术,让她可以受伤后第二天就重新站起来,以后她又可以像从前那样每天在小区里散步了。”

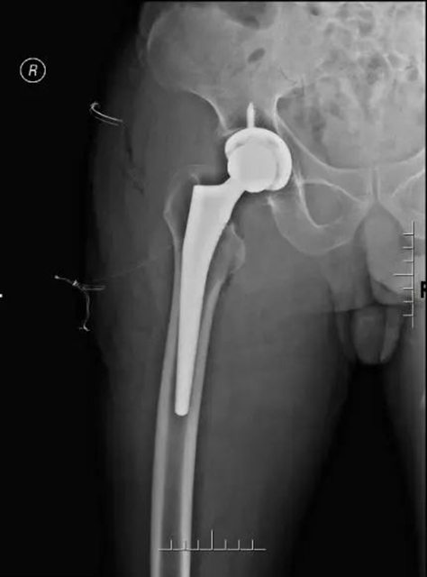
张婆婆术后X线
突破高龄禁区,让老人们重新站起来
无独有偶,在五一节假日期间,李忠教授团队还为72岁股骨颈骨折患者王爷爷完成了全髋关节置换术,为两位年过八旬的股骨颈骨折老人行急诊人工全髋关节置换手术。手术患者平均年龄高达86岁,从患者受伤到接受手术的平均时间不到1天,所有手术均取得了成功。李忠教授团队多次冲破高龄禁区,让老人们重新站了起来。

李忠教授和刘俊才主治医师为王爷爷进行手术

王爷爷术后X线
西南医科大学附属医院骨与关节外科始终以“提高人民群众的卫生与健康水平”为己任,坚持以人为本的理念,把病人的健康放在为第一位,敬佑生命,救死扶伤。
李忠主任表示:“任何时候我们收治的急诊病人都要求以最快的速度制定出适合的诊疗方案并且尽早进行手术治疗,这是作为一名医生所身负的责任和使命,也是我们西南医科大学附属医院骨与关节外科所践行的准则!“
便民小贴士

李忠
骨科副主任、骨与关节外科主任
教授、医学博士、硕士/博士研究生导师
从事临床、教学、科研工作近30年,主要从事运动损伤和骨关节损伤修复与重建的临床与基础研究工作,具有丰富的临床工作经验。曾多次到国际著名医院交流学习,熟练掌握了本专业的临床操作技能,并熟悉本专业领域内技术新进展,在髋、膝及肩关节置换;保髋及保膝治疗;关节韧带损伤;半月板损伤;髌骨、肩关节复发性脱位等运动损伤;关节肿痛、关节活动障碍和骨折、关节镜微创治疗运动损伤等骨关节疾病的临床诊治和快速功能康复方面有较高的造诣。

谭美云
骨与关节外科副主任
教授、医学博士、硕士研究生导师
擅长股骨头缺血坏死,股骨颈骨折不愈合,髋关节发育不良,强直性脊柱炎髋部病变,髋、膝骨关节炎,髋、膝类风湿关节炎,髋、膝创伤性关节炎等疾病的外科治疗。

尹一然
骨科副主任
副教授,硕士研究生导师
从事骨科十余年,擅长关节置换及骨肿瘤的治疗。

陈歌
主任医师、医学博士、硕士研究生导师
擅长关节疾病及骨肿瘤的诊断和治疗,有丰富的关节置换(包括复杂髋膝关节翻修术、DAA前路微创髋关节置换、膝关节单髁置换、高脱位髋关节发育不良),股骨头坏死保髋治疗,四肢畸形矫形和骨恶性肿瘤保肢的手术经验。在川南地区率先开展3D打印多孔钽金属材料修复各种骨缺损。

张忠杰
副主任医师
从事外科临床、教学、科研工作20余年,及时开展新技术,曾受卫生部指派参与援外医疗工作,熟练掌握运用骨科各种疾患的诊断和治疗,尤其擅长各种关节的置换和重建。

鲜海
医师
从事骨与关节外科临床、科研与教学等工作;主要从事骨病与创伤的诊断及治疗等临床工作,包括膝关节炎,股骨头坏死,半月板损伤,老年髋部骨折等疾病的诊断和治疗。

刘俊才
讲师
从事临床、教学、科研工作十余年,对骨关节运动损伤及退行性疾病的临床诊治具有较丰富的临床经验,掌握运动损伤及骨关节疾病的国内外前沿诊治技术。
(来源:西南医科大学附属医院 文/杨镜弘 图/骨与关节外科)
编辑:李永鑫
关注川南在线网微信公众号
长按或扫描二维码 ,获取更多最新资讯
其他