川南地区综合性网络门户

万象

纳溪法院执行110:一场春天的邂逅
27
2024-03

时间: 2024-03-27

 接到警情丨2024年3月18日,一个普通的日子。下午6点18分,一阵急骤的电话铃声响起。  “喂,是纳溪法院执行110吗?我发现了被执行人周某的车辆在雅安市车管所。”  “喂,是纳溪法院执行110吗?我发现被执行人金某在绵阳市某公司。” ...

长宁县住建城管局原股长刘芳秀|赌输青春的90后干部
27
2024-03

时间: 2024-03-27

   年轻干部是党和人民事业继往开来、薪火相传的生力军。近年来,不少“90后”干部成长为单位的业务骨干,与此同时,贪腐“低龄化”和“低职化”现象亦有所增加。在各地纪委监委通报的案件中不难发现,不少年轻干部贪腐案件往往因涉网、涉赌起步。199...

妈妈,我尿尿的地方不舒服!
26
2024-03

时间: 2024-03-26

 一直以来,中国的很多父母对孩子总是谈性色变或者羞于开口,没有尽早、及时地对孩子进行性教育,尤其是在成长的过程中性教育的缺失,会给童年时期的孩子在不知情的情况下带来伤害,可能会导致他们对自己的身体非常好奇,尤其是生殖器官,孩子们对“小弟弟”...

“三进三出”35周早产儿创造生命奇迹!
26
2024-03

时间: 2024-03-26

 在生命的舞台上,有时候,一场生与死的较量就在瞬息之间,对于新生儿小十(化名)来说,他的出生并不是简单的开始,而是一场与死神赛跑的挑战。  作为一名早产儿,小十在胎龄仅35周零1天的时候,就因母亲完全性前置胎盘导致阴道大量流血而提前降临。虽...

纳溪区法院:司法救助,困境中照进了光
25
2024-03

时间: 2024-03-25

 法相伴,爱相随。实现公平正义,不仅仅是“官司打赢”,也不仅仅是“执行完毕”,司法救助也能起到“雪中炭”的作用,给救助申请人带来希望的曙光。  近日,周氏父子怀着沉重的心情向纳溪区法院递交了一份司法救助申请,起因要从一场交通事故说起。  2...

在这里,爱和希望比病情传播得更快
25
2024-03

时间: 2024-03-25

 “幺儿,我们只有这4000块钱了,治完了我们就只有回家了!”  这一幕发生在西南医科大学附属医院风湿免疫科的病房里。  半个月前,小芝(化名)的父亲带着患有系统性红斑狼疮的女儿从宜宾来到泸州求医,因家庭拮据,收入微薄,父亲拿着四处借的钱为...

突发!女子落水,内江3名勇士接力救起——
25
2024-03

时间: 2024-03-25

 3月20日上午,内江新坝大桥下方的清溪湿地公园一女子落水,闻讯赶来的三名男子挺身而出,先后下水,合力将女子成功救起。所幸,女子经过救治已无生命危险。  “我当时看到人漂浮在河面吓了一跳,救人的三个大哥太勇敢了,我很佩服他们。”3月22日,...

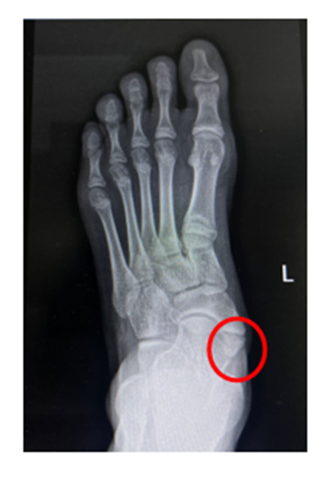
【围观】泸州一初中生体考前疼痛难忍......
24
2024-03

时间: 2024-03-24

1月中旬,初中生小丽(化名)与家人一起来西南医科大学附属中医医院骨伤科关节·足踝组就诊。张磊博士接诊后了解到,小丽因最近备战体考加强了体育锻炼,但发现足内侧凸起,走路、运动都会发痛。经过专业查体和检查后,张磊博士为其诊断为“左足副舟骨痛综合...